ARG64351
anti-KCC3 / SLC12A6 antibody
anti-KCC3 / SLC12A6 antibody for IHC-Formalin-fixed paraffin-embedded sections,Western blot and Human
Neuroscience antibody
Overview
| Product Description | Goat Polyclonal antibody recognizes KCC3 / SLC12A6 |
|---|---|
| Tested Reactivity | Hu |
| Tested Application | IHC-P, WB |
| Specificity | This antibody is expected to recognise all 6 reported isofoms (NP_598408.1; NP_005126.1; NP_001035959.1; NP_001035960.1; NP_001035961.1; NP_001035962.1; ); |
| Host | Goat |
| Clonality | Polyclonal |
| Isotype | IgG |
| Target Name | KCC3 / SLC12A6 |
| Antigen Species | Human |
| Immunogen | SRHIDVCSKTKE |
| Conjugation | Un-conjugated |
| Alternate Names | ACCPN; K-Cl cotransporter 3; Electroneutral potassium-chloride cotransporter 3; Solute carrier family 12 member 6; KCC3A; KCC3B; KCC3 |
Application Instructions
| Application Suggestion |
|
||||||
|---|---|---|---|---|---|---|---|
| Application Note | IHC-P: Antigen Retrieval: Steam tissue section in Citrate buffer (pH 6.0). WB: Recommend incubate at RT for 1h. * The dilutions indicate recommended starting dilutions and the optimal dilutions or concentrations should be determined by the scientist. |
Properties
| Form | Liquid |
|---|---|
| Purification | Purified from goat serum by antigen affinity chromatography. |
| Buffer | Tris saline (pH 7.3), 0.02% Sodium azide and 0.5% BSA. |
| Preservative | 0.02% Sodium azide |
| Stabilizer | 0.5% BSA |
| Concentration | 0.5 mg/ml |
| Storage Instruction | For continuous use, store undiluted antibody at 2-8°C for up to a week. For long-term storage, aliquot and store at -20°C or below. Storage in frost free freezers is not recommended. Avoid repeated freeze/thaw cycles. Suggest spin the vial prior to opening. The antibody solution should be gently mixed before use. |
| Note | For laboratory research only, not for drug, diagnostic or other use. |
Bioinformation
| Database Links | |
|---|---|
| Background | This gene is a member of the K-Cl cotransporter (KCC) family. K-Cl cotransporters are integral membrane proteins that lower intracellular chloride concentrations below the electrochemical equilibrium potential. The proteins encoded by this gene are activated by cell swelling induced by hypotonic conditions. Alternate splicing results in multiple transcript variants encoding different isoforms. Mutations in this gene are associated with agenesis of the corpus callosum with peripheral neuropathy. [provided by RefSeq, Jul 2008] |
| Research Area | Neuroscience antibody |
| Calculated MW | 128 kDa |
| PTM | N-glycosylated. |
Images (2) Click the Picture to Zoom In
-
ARG64351 anti-KCC3 / SLC12A6 antibody WB image
Western Blot: Human Heart lysate (35 µg protein in RIPA buffer) stained with ARG64351 anti-KCC3 / SLC12A6 antibody at 0.1 µg/ml dilution.
-
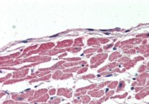
ARG64351 anti-KCC3 / SLC12A6 antibody IHC-P image
Immunohistochemistry: paraffin embedded Human Heart. (Steamed antigen retrieval with citrate buffer pH 6) stained with ARG64351 anti-KCC3 / SLC12A6 antibody at 2.5 µg/ml dilution followed by AP-staining.
