ARG64391
anti-KCNJ11 / Kir6.2 antibody
anti-KCNJ11 / Kir6.2 antibody for IHC-Formalin-fixed paraffin-embedded sections,Western blot and Human
Cancer antibody; Cell Biology and Cellular Response antibody; Metabolism antibody; Neuroscience antibody; Signaling Transduction antibody
Overview
| Product Description | Goat Polyclonal antibody recognizes KCNJ11 / Kir6.2 |
|---|---|
| Tested Reactivity | Hu |
| Tested Application | IHC-P, WB |
| Specificity | This antibody is expected to recognise isoform 1 (NP_000516.3) only. |
| Host | Goat |
| Clonality | Polyclonal |
| Isotype | IgG |
| Target Name | KCNJ11 / Kir6.2 |
| Antigen Species | Human |
| Immunogen | C-AEDPAKPRYRARQ |
| Conjugation | Un-conjugated |
| Alternate Names | IKATP; TNDM3; ATP-sensitive inward rectifier potassium channel 11; PHHI; HHF2; KIR6.2; MODY13; Potassium channel, inwardly rectifying subfamily J member 11; Inward rectifier K; BIR |
Application Instructions
| Application Suggestion |
|
||||||
|---|---|---|---|---|---|---|---|
| Application Note | IHC-P: Antigen Retrieval: Steam tissue section in Citrate buffer (pH 6.0). WB: Recommend incubate at RT for 1h. * The dilutions indicate recommended starting dilutions and the optimal dilutions or concentrations should be determined by the scientist. |
Properties
| Form | Liquid |
|---|---|
| Purification | Purified from goat serum by antigen affinity chromatography. |
| Buffer | Tris saline (pH 7.3), 0.02% Sodium azide and 0.5% BSA. |
| Preservative | 0.02% Sodium azide |
| Stabilizer | 0.5% BSA |
| Concentration | 0.5 mg/ml |
| Storage Instruction | For continuous use, store undiluted antibody at 2-8°C for up to a week. For long-term storage, aliquot and store at -20°C or below. Storage in frost free freezers is not recommended. Avoid repeated freeze/thaw cycles. Suggest spin the vial prior to opening. The antibody solution should be gently mixed before use. |
| Note | For laboratory research only, not for drug, diagnostic or other use. |
Bioinformation
| Database Links |
Swiss-port # Q14654 Human ATP-sensitive inward rectifier potassium channel 11 |
|---|---|
| Background | Potassium channels are present in most mammalian cells, where they participate in a wide range of physiologic responses. The protein encoded by this gene is an integral membrane protein and inward-rectifier type potassium channel. The encoded protein, which has a greater tendency to allow potassium to flow into a cell rather than out of a cell, is controlled by G-proteins and is found associated with the sulfonylurea receptor SUR. Mutations in this gene are a cause of familial persistent hyperinsulinemic hypoglycemia of infancy (PHHI), an autosomal recessive disorder characterized by unregulated insulin secretion. Defects in this gene may also contribute to autosomal dominant non-insulin-dependent diabetes mellitus type II (NIDDM), transient neonatal diabetes mellitus type 3 (TNDM3), and permanent neonatal diabetes mellitus (PNDM). Multiple alternatively spliced transcript variants that encode different protein isoforms have been described for this gene. [provided by RefSeq, Oct 2009] |
| Research Area | Cancer antibody; Cell Biology and Cellular Response antibody; Metabolism antibody; Neuroscience antibody; Signaling Transduction antibody |
| Calculated MW | 44 kDa |
| PTM | Phosphorylation by MAPK1 results in changes in channel gating that destabilize the closed states and reduce the ATP sensitivity. |
Images (2) Click the Picture to Zoom In
-
ARG64391 anti-KCNJ11 / Kir6.2 antibody WB image
Western blot: 35 µg of Human Muscle lysate stained with ARG64391 anti-KCNJ11 / Kir6.2 antibody at 0.1 µg/ml dilution.
-
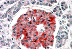
ARG64391 anti-KCNJ11 / Kir6.2 antibody IHC image
Immunohistochemistry: paraffin-embedded Human Pancreas (Steamed antigen retrieval with citrate buffer pH 6) stained with ARG64391 anti-KCNJ11 / Kir6.2 antibody at 3.8 µg/ml dilution, followed by AP-staining.
