ARG45711
anti-KCNQ5 antibody
anti-KCNQ5 antibody for IHC-Formalin-fixed paraffin-embedded sections,Western blot and Human,Mouse,Rat
Overview
| Product Description | Rabbit Polyclonal antibody recognizes KCNQ5 |
|---|---|
| Tested Reactivity | Hu, Ms, Rat |
| Tested Application | IHC-P, WB |
| Host | Rabbit |
| Clonality | Polyclonal |
| Isotype | IgG |
| Target Name | KCNQ5 |
| Antigen Species | Human |
| Immunogen | Recombinant protein containing to human KCNQ5. |
| Conjugation | Un-conjugated |
| Alternate Names | KCNQ5; Potassium Voltage-Gated Channel Subfamily Q Member 5; Kv7.5; Potassium Channel, Voltage Gated KQT-Like Subfamily Q, Member 5; Potassium Voltage-Gated Channel Subfamily KQT Member 5; Voltage-Gated Potassium Channel Subunit Kv7.5; Potassium Channel Subunit Alpha KvLQT5; KQT-Like 5; Potassium Voltage-Gated Channel, KQT-Like Subfamily, Member 5; Potassium Channel Protein; MRD46 |
Application Instructions
| Application Suggestion |
|
||||||
|---|---|---|---|---|---|---|---|
| Application Note | * The dilutions indicate recommended starting dilutions and the optimal dilutions or concentrations should be determined by the scientist. | ||||||
| Observed Size | 102 kDa |
Properties
| Form | Liquid |
|---|---|
| Purification | Affinity purified |
| Buffer | 0.2% Na2HPO4, 0.9% NaCl and 4% Trehalose. |
| Stabilizer | 4% Trehalose |
| Concentration | 0.5 mg/ml |
| Storage Instruction | For continuous use, store undiluted antibody at 2-8°C for up to a week. For long-term storage, aliquot and store at -20°C or below. Storage in frost free freezers is not recommended. Avoid repeated freeze/thaw cycles. Suggest spin the vial prior to opening. The antibody solution should be gently mixed before use. |
| Note | For laboratory research only, not for drug, diagnostic or other use. |
Bioinformation
| Database Links |
Swiss-port # Q9JK45 Mouse Potassium voltage-gated channel subfamily KQT member 5 Swiss-port # Q9NR82 Human Potassium voltage-gated channel subfamily KQT member 5 |
|---|---|
| Gene Symbol | KCNQ5 |
| Gene Full Name | Potassium Voltage-Gated Channel Subfamily Q Member 5 |
| Background | This gene is a member of the KCNQ potassium channel gene family that is differentially expressed in subregions of the brain and in skeletal muscle. The protein encoded by this gene yields currents that activate slowly with depolarization and can form heteromeric channels with the protein encoded by the KCNQ3 gene. Currents expressed from this protein have voltage dependences and inhibitor sensitivities in common with M-currents. They are also inhibited by M1 muscarinic receptor activation. Multiple transcript variants encoding different isoforms have been found for this gene. [provided by RefSeq, May 2009] |
| Function | Pore-forming subunit of the voltage-gated potassium (Kv) channel broadly expressed in brain and involved in the regulation of neuronal excitability. [UniProt] |
| Cellular Localization | Cell membrane; Membrane. [UniProt] |
| Calculated MW | 102 kDa |
| PTM | Phosphoprotein. [UniProt] |
Images (4) Click the Picture to Zoom In
-
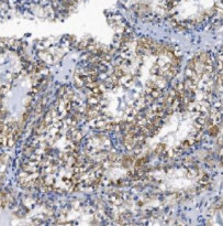
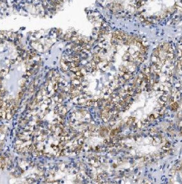
ARG45711 anti-KCNQ5 antibody IHC-P image
Immunohistochemistry: Human renal clear cell carcinoma stained with ARG45711 anti-KCNQ5 antibody at 2 μg/ml dilution.
-
ARG45711 anti-KCNQ5 antibody WB image
Western blot: PC-3 stained with ARG45711 anti-KCNQ5 antibody at 0.5 μg/ml dilution.
-
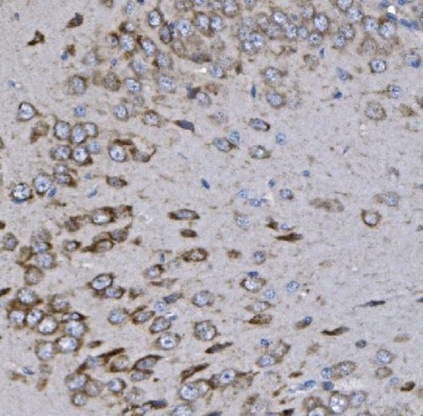
ARG45711 anti-KCNQ5 antibody IHC-P image
Immunohistochemistry: Rat brain stained with ARG45711 anti-KCNQ5 antibody at 2 μg/ml dilution.
-
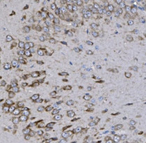
ARG45711 anti-KCNQ5 antibody IHC-P image
Immunohistochemistry: Mouse brain stained with ARG45711 anti-KCNQ5 antibody at 2 μg/ml dilution.
