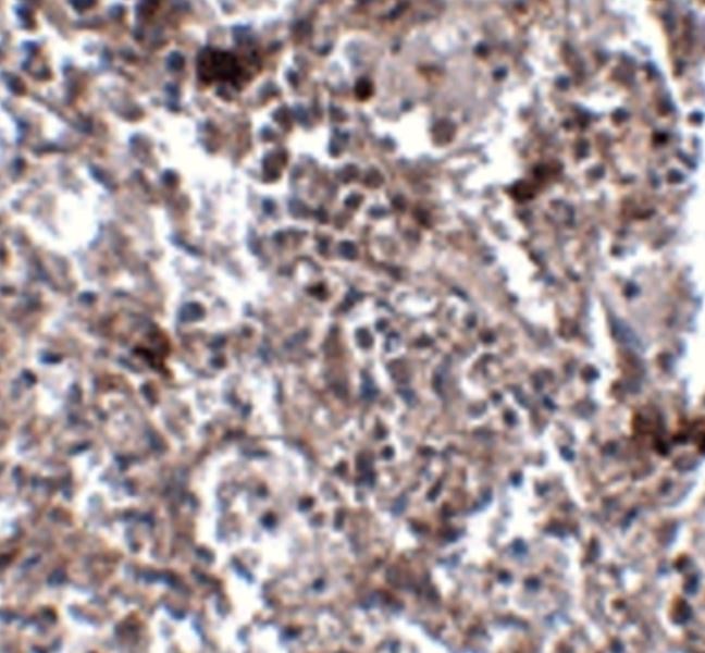
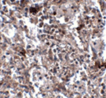
ARG46238
anti-KCTD15 antibody
anti-KCTD15 antibody for Western blot,IHC-Formalin-fixed paraffin-embedded sections and Human,Mouse,Rat
Overview
| Product Description | Rabbit Polyclonal antibody recognizes KCTD15 |
|---|---|
| Tested Reactivity | Hu, Ms, Rat |
| Tested Application | IHC-P, WB |
| Host | Rabbit |
| Clonality | Polyclonal |
| Isotype | IgG |
| Target Name | KCTD15 |
| Antigen Species | Human |
| Immunogen | A 16 amino acid synthetic peptide within the last 50 amino acids of human KCTD15. |
| Conjugation | Un-conjugated |
| Alternate Names | KCTD15; BTB/POZ domain-containing protein KCTD15; Potassium channel tetramerization domain-containing protein 15 |
Application Instructions
| Application Suggestion |
|
||||||
|---|---|---|---|---|---|---|---|
| Application Note | * The dilutions indicate recommended starting dilutions and the optimal dilutions or concentrations should be determined by the scientist. |
Properties
| Purification | Affinity chromatography purified |
|---|---|
| Buffer | PBS and 0.02% Sodium azide. |
| Preservative | 0.02% Sodium azide |
| Concentration | 1 mg/ml |
| Storage Instruction | For continuous use, store undiluted antibody at 2-8°C for up to a week. For long-term storage, aliquot and store at -20°C. Storage in frost free freezers is not recommended. Avoid repeated freeze/thaw cycles. Suggest spin the vial prior to opening. The antibody solution should be gently mixed before use. |
| Note | For laboratory research only, not for drug, diagnostic or other use. |
Bioinformation
| Database Links |
Swiss-port # Q8K0E1 Mouse BTB/POZ domain-containing protein KCTD15 Swiss-port # Q96SI1 Human BTB/POZ domain-containing protein KCTD15 |
|---|---|
| Gene Symbol | KCTD15 |
| Gene Full Name | potassium channel tetramerization domain containing 15 |
| Function | During embryonic development, interferes with neural crest formation (By similarity). Inhibits AP2 transcriptional activity by interaction with its activation domain. [UniProt] |
| Calculated MW | 32 kDa |
Images (2) Click the Picture to Zoom In
