ARG41269
anti-KIAA0513 antibody
anti-KIAA0513 antibody for ICC/IF,Western blot and Human,Mouse
Overview
| Product Description | Rabbit Polyclonal antibody recognizes KIAA0513 |
|---|---|
| Tested Reactivity | Hu, Ms |
| Tested Application | ICC/IF, WB |
| Host | Rabbit |
| Clonality | Polyclonal |
| Isotype | IgG |
| Target Name | KIAA0513 |
| Antigen Species | Human |
| Immunogen | Recombinant protein corresponding to aa. 1-301 of Human KIAA0513. |
| Conjugation | Un-conjugated |
| Alternate Names | Uncharacterized protein KIAA0513 |
Application Instructions
| Application Suggestion |
|
||||||
|---|---|---|---|---|---|---|---|
| Application Note | * The dilutions indicate recommended starting dilutions and the optimal dilutions or concentrations should be determined by the scientist. | ||||||
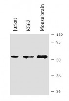
| Positive Control | Jurkat, K562 and Mouse brain | ||||||
| Observed Size | ~ 57 kDa |
Properties
| Form | Liquid |
|---|---|
| Purification | Purification with Protein G. |
| Buffer | 0.01M PBS (pH 7.4), 0.03% Proclin 300 and 50% Glycerol. |
| Preservative | 0.03% Proclin 300 |
| Stabilizer | 50% Glycerol |
| Storage Instruction | For continuous use, store undiluted antibody at 2-8°C for up to a week. For long-term storage, aliquot and store at -20°C. Storage in frost free freezers is not recommended. Avoid repeated freeze/thaw cycles. Suggest spin the vial prior to opening. The antibody solution should be gently mixed before use. |
| Note | For laboratory research only, not for drug, diagnostic or other use. |
Bioinformation
| Database Links | |
|---|---|
| Gene Symbol | KIAA0513 |
| Gene Full Name | KIAA0513 |
| Cellular Localization | Cytoplasm. [UniProt] |
| Calculated MW | 47 kDa |
Images (2) Click the Picture to Zoom In
