ARG43239
anti-KIF21B antibody
anti-KIF21B antibody for IHC-Formalin-fixed paraffin-embedded sections,Western blot and Human,Mouse
Overview
| Product Description | Rabbit Polyclonal antibody recognizes KIF21B |
|---|---|
| Tested Reactivity | Hu, Ms |
| Predict Reactivity | Rat |
| Tested Application | IHC-P, WB |
| Host | Rabbit |
| Clonality | Polyclonal |
| Isotype | IgG |
| Target Name | KIF21B |
| Antigen Species | Human |
| Immunogen | Synthetic peptide of Human KIF21B. |
| Conjugation | Un-conjugated |
| Alternate Names | Kinesin-like protein KIF21B |
Application Instructions
| Application Suggestion |
|
||||||
|---|---|---|---|---|---|---|---|
| Application Note | * The dilutions indicate recommended starting dilutions and the optimal dilutions or concentrations should be determined by the scientist. | ||||||
| Positive Control | WB: Mouse brain IHC-P: Human colorectal cancer tissue |
Properties
| Form | Liquid |
|---|---|
| Purification | Affinity purification with immunogen. |
| Buffer | PBS (pH 7.4), 0.05% Sodium azide and 40% Glycerol. |
| Preservative | 0.05% Sodium azide |
| Stabilizer | 40% Glycerol |
| Storage Instruction | For continuous use, store undiluted antibody at 2-8°C for up to a week. For long-term storage, aliquot and store at -20°C. Storage in frost free freezers is not recommended. Avoid repeated freeze/thaw cycles. Suggest spin the vial prior to opening. The antibody solution should be gently mixed before use. |
| Note | For laboratory research only, not for drug, diagnostic or other use. |
Bioinformation
| Database Links | |
|---|---|
| Gene Symbol | KIF21B |
| Gene Full Name | kinesin family member 21B |
| Background | This gene encodes a member of the kinesin superfamily. Kinesins are ATP-dependent microtubule-based motor proteins that are involved in the intracellular transport of membranous organelles. Single nucleotide polymorphisms in this gene are associated with inflammatory bowel disease and multiple sclerosis. Alternatively spliced transcript variants encoding multiple isoforms have been observed for this gene. [provided by RefSeq, Nov 2011] |
| Function | Plus-end directed microtubule-dependent motor protein which displays processive activity. Is involved in regulation of microtubule dynamics, synapse function and neuronal morphology, including dendritic tree branching and spine formation. Plays a role in lerning and memory. Involved in delivery of gamma-aminobutyric acid (GABA(A)) receptor to cell surface. [UniProt] |
| Cellular Localization | Cytoplasm, cytoskeleton. Cell projection, dendrite. Cell projection, growth cone. Cell projection, axon. Cytoplasmic vesicle. [UniProt] |
| Calculated MW | 183 kDa |
Images (2) Click the Picture to Zoom In
-
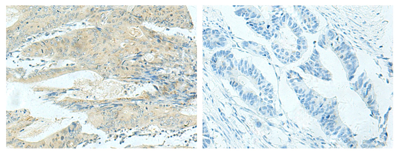
ARG43239 anti-KIF21B antibody IHC-P image
Immunohistochemistry: Paraffin-embedded Human colorectal cancer tissue stained with ARG43239 anti-KIF21B antibody (left) at 1:40 dilution, or the same antibody pre-incubated with synthetic peptide (right). (Original magnification: X200).
-
ARG43239 anti-KIF21B antibody WB image
Western blot: 40 µg of Mouse brain lysate stained with ARG43239 anti-KIF21B antibody at 1:1000 dilution.
