ARG40389
anti-KIF2B antibody
anti-KIF2B antibody for ICC/IF,IHC-Formalin-fixed paraffin-embedded sections,Western blot and Human,Mouse,Rat
Overview
| Product Description | Rabbit Polyclonal antibody recognizes KIF2B |
|---|---|
| Tested Reactivity | Hu, Ms, Rat |
| Tested Application | ICC/IF, IHC-P, WB |
| Host | Rabbit |
| Clonality | Polyclonal |
| Isotype | IgG |
| Target Name | KIF2B |
| Antigen Species | Human |
| Immunogen | Recombinant full length protein of Human KIF2B. |
| Conjugation | Un-conjugated |
| Alternate Names | Kinesin-like protein KIF2B |
Application Instructions
| Application Suggestion |
|
||||||||
|---|---|---|---|---|---|---|---|---|---|
| Application Note | IHC-P: Antigen Retrieval: Heat mediation was performed in Sodium citrate buffer (pH 6.0). * The dilutions indicate recommended starting dilutions and the optimal dilutions or concentrations should be determined by the scientist. |
||||||||
| Observed Size | ~ 75 kDa |
Properties
| Form | Liquid |
|---|---|
| Purification | Affinity purification with immunogen. |
| Buffer | 0.42% Potassium phosphate (pH 7.3), 0.87% NaCl, 0.01% Sodium azide and 30% Glycerol. |
| Preservative | 0.01% Sodium azide |
| Stabilizer | 30% Glycerol |
| Storage Instruction | For continuous use, store undiluted antibody at 2-8°C for up to a week. For long-term storage, aliquot and store at -20°C. Storage in frost free freezers is not recommended. Avoid repeated freeze/thaw cycles. Suggest spin the vial prior to opening. The antibody solution should be gently mixed before use. |
| Note | For laboratory research only, not for drug, diagnostic or other use. |
Bioinformation
| Database Links | |
|---|---|
| Gene Symbol | KIF2B |
| Gene Full Name | kinesin family member 2B |
| Function | Plus end-directed microtubule-dependent motor required for spindle assembly and chromosome movement. Has microtubule depolymerization activity. [UniProt] |
| Cellular Localization | Cytoplasm, cytoskeleton, microtubule organizing center, centrosome. Cytoplasm, cytoskeleton, spindle. Chromosome, centromere, kinetochore. Note=Association with kinetochore is transient. [UniProt] |
| Calculated MW | 76 kDa |
| PTM | Phosphorylation at Thr-125 by PLK1 is required for activity in the correction of kinetochore-microtubules attachment errors, while phosphorylation at Ser-204 also by PLK1 is required for the kinetochore localization and activity in prometaphase. [UniProt] |
Images (3) Click the Picture to Zoom In
-
ARG40389 anti-KIF2B antibody ICC/IF image
Immunofluorescence: Formalin-fixed A549 cells were permeabilized with 0.1% Triton X-100 in TBS for 5-10 minutes and blocked with 3% BSA-PBS for 30 minutes at room temperature. Cells were stained with ARG40389 anti-KIF2B antibody (red) in 3% BSA-PBS and incubated overnight at 4°C.
-
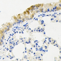
ARG40389 anti-KIF2B antibody IHC-P image
Immunohistochemistry: Formalin-fixed and paraffin-embedded Mouse lung tissue. Antigen Retrieval: Heat mediation was performed in Sodium citrate buffer (pH 6.0). The section was then stained with ARG40389 anti-KIF2B antibody at room temperature and detected using an HRP conjugated compact polymer system. DAB was used as the chromogen. The section was then counterstained with haematoxylin and mounted with DPX.
-
ARG40389 anti-KIF2B antibody WB image
Western blot: U937, Mouse lung and Rat lung lysates stained with ARG40389 anti-KIF2B antibody.
