ARG66465
anti-KLK10 / Kallikrein 10 antibody
anti-KLK10 / Kallikrein 10 antibody for ICC/IF,IHC-Formalin-fixed paraffin-embedded sections,Western blot and Human,Mouse,Rat
Overview
| Product Description | Rabbit Polyclonal antibody recognizes KLK10 / Kallikrein 10 |
|---|---|
| Tested Reactivity | Hu, Ms, Rat |
| Tested Application | ICC/IF, IHC-P, WB |
| Host | Rabbit |
| Clonality | Polyclonal |
| Isotype | IgG |
| Target Name | KLK10 / Kallikrein 10 |
| Antigen Species | Human |
| Immunogen | Recombinant full length protein of Human KLK10. |
| Conjugation | Un-conjugated |
| Alternate Names | Normal epithelial cell-specific 1; Protease serine-like 1; Kallikrein-10; PRSSL1; EC 3.4.21.-; NES1 |
Application Instructions
| Application Suggestion |
|
||||||||
|---|---|---|---|---|---|---|---|---|---|
| Application Note | IHC-P: Antigen Retrieval: Heat mediation was performed in Sodium citrate buffer (pH 6.0). * The dilutions indicate recommended starting dilutions and the optimal dilutions or concentrations should be determined by the scientist. |
Properties
| Form | Liquid |
|---|---|
| Purification | Affinity purification with immunogen. |
| Buffer | 0.42% Potassium phosphate (pH 7.3), 0.87% NaCl, 0.01% Sodium azide and 30% Glycerol. |
| Preservative | 0.01% Sodium azide |
| Stabilizer | 30% Glycerol |
| Storage Instruction | For continuous use, store undiluted antibody at 2-8°C for up to a week. For long-term storage, aliquot and store at -20°C. Storage in frost free freezers is not recommended. Avoid repeated freeze/thaw cycles. Suggest spin the vial prior to opening. The antibody solution should be gently mixed before use. |
| Note | For laboratory research only, not for drug, diagnostic or other use. |
Bioinformation
| Database Links | |
|---|---|
| Gene Symbol | KLK10 |
| Gene Full Name | kallikrein-related peptidase 10 |
| Background | Kallikreins are a subgroup of serine proteases having diverse physiological functions. Growing evidence suggests that many kallikreins are implicated in carcinogenesis and some have potential as novel cancer and other disease biomarkers. This gene is one of the fifteen kallikrein subfamily members located in a cluster on chromosome 19. Its encoded protein is secreted and may play a role in suppression of tumorigenesis in breast and prostate cancers. Alternate splicing of this gene results in multiple transcript variants encoding the same protein. [provided by RefSeq, Jul 2008] |
| Function | Has a tumor-suppressor role for NES1 in breast and prostate cancer. [UniProt] |
| Cellular Localization | Secreted. [UniProt] |
| Calculated MW | 30 kDa |
Images (3) Click the Picture to Zoom In
-
ARG66465 anti-KLK10 / Kallikrein 10 antibody ICC/IF image
Immunofluorescence: Formalin-fixed A549 cells were permeabilized with 0.1% Triton X-100 in TBS for 5-10 minutes and blocked with 3% BSA-PBS for 30 minutes at room temperature. Cells were stained with ARG66465 anti-KLK10 / Kallikrein 10 antibody (red) in 3% BSA-PBS and incubated overnight at 4°C in a hidified chamber.
-
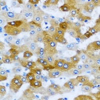
ARG66465 anti-KLK10 / Kallikrein 10 antibody IHC-P image
Immunohistochemistry: Formalin-fixed and paraffin-embedded Human liver cancer. Antigen Retrieval: Heat mediation was performed in Sodium citrate buffer (pH 6.0). The section was then incubated with ARG66465 anti-KLK10 / Kallikrein 10 antibody at room temperature and detected using an HRP conjugated compact polymer system. DAB was used as the chromogen. The section was then counterstained with haematoxylin and mounted with DPX.
-
ARG66465 anti-KLK10 / Kallikrein 10 antibody WB image
Western blot: Mouse brain, Mouse heart and Rat liver lysates stained with ARG66465 anti-KLK10 / Kallikrein 10 antibody.
