ARG46244
anti-KLK4 antibody
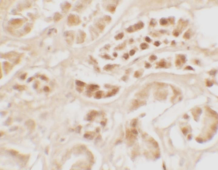
anti-KLK4 antibody for Western blot,IHC-Formalin-fixed paraffin-embedded sections and Human
Overview
| Product Description | Rabbit Polyclonal antibody recognizes KLK4 |
|---|---|
| Tested Reactivity | Hu |
| Tested Application | IHC-P, WB |
| Host | Rabbit |
| Clonality | Polyclonal |
| Isotype | IgG |
| Target Name | KLK4 |
| Antigen Species | Human |
| Immunogen | A 15 amino acid synthetic peptide within aa. 80 - 130 of human KLK4. |
| Conjugation | Un-conjugated |
| Alternate Names | KLK4; PSTS; Enamel matrix serine proteinase 1; Kallikrein-like protein 1; EMSP; PRSS17; ARM1; Serine protease 17; KLK-L1; Kallikrein-4; EC 3.4.21.-; Prostase; EMSP1; AI2A1; kallikrein |
Application Instructions
| Application Suggestion |
|
||||||
|---|---|---|---|---|---|---|---|
| Application Note | * The dilutions indicate recommended starting dilutions and the optimal dilutions or concentrations should be determined by the scientist. | ||||||
| Observed Size | 31 kDa |
Properties
| Purification | Affinity chromatography purified |
|---|---|
| Buffer | PBS and 0.02% Sodium azide. |
| Preservative | 0.02% Sodium azide |
| Concentration | 1 mg/ml |
| Storage Instruction | For continuous use, store undiluted antibody at 2-8°C for up to a week. For long-term storage, aliquot and store at -20°C. Storage in frost free freezers is not recommended. Avoid repeated freeze/thaw cycles. Suggest spin the vial prior to opening. The antibody solution should be gently mixed before use. |
| Note | For laboratory research only, not for drug, diagnostic or other use. |
Bioinformation
| Database Links | |
|---|---|
| Gene Symbol | KLK4 |
| Gene Full Name | kallikrein-related peptidase 4 |
| Background | Kallikreins are a subgroup of serine proteases having diverse physiological functions. Growing evidence suggests that many kallikreins are implicated in carcinogenesis and some have potential as novel cancer and other disease biomarkers. This gene is one of the fifteen kallikrein subfamily members located in a cluster on chromosome 19. In some tissues its expression is hormonally regulated. The expression pattern of a similar mouse protein in murine developing teeth supports a role for the protein in the degradation of enamel proteins. Several transcript variants encoding different proteins have been found for this gene. [provided by RefSeq, Dec 2014] |
| Function | Involved in enamel formation. [UniProt] |
| Calculated MW | 28 kDa |
| PTM | N-glycosylated. The N-glycan structures are of complex diantennary or triantennary type, which may be further modified with up to 2 sialic acid residues. |
Images (2) Click the Picture to Zoom In
