ARG46245
anti-KLRA1 antibody
anti-KLRA1 antibody for Western blot,IHC-Formalin-fixed paraffin-embedded sections and Human,Mouse,Rat
Overview
| Product Description | Rabbit Polyclonal antibody recognizes KLRA1 |
|---|---|
| Tested Reactivity | Hu, Ms, Rat |
| Tested Application | IHC-P, WB |
| Host | Rabbit |
| Clonality | Polyclonal |
| Isotype | IgG |
| Target Name | KLRA1 |
| Antigen Species | Human |
| Immunogen | A 13 amino acid synthetic peptide within aa. 190 - 240 of human KLRA1. |
| Conjugation | Un-conjugated |
| Alternate Names | KLRA1P; killer cell lectin like receptor A1, pseudogene; KLRA1; Ly49; KLRA#; KLRA1; LY49L; Ly-49L |
Application Instructions
| Application Suggestion |
|
||||||
|---|---|---|---|---|---|---|---|
| Application Note | * The dilutions indicate recommended starting dilutions and the optimal dilutions or concentrations should be determined by the scientist. |
Properties
| Form | Liquid |
|---|---|
| Purification | Affinity chromatography purified |
| Buffer | PBS and 0.02% Sodium azide. |
| Preservative | 0.02% Sodium azide |
| Concentration | 1 mg/ml |
| Storage Instruction | For continuous use, store undiluted antibody at 2-8°C for up to a week. For long-term storage, aliquot and store at -295°C or below. Storage in frost free freezers is not recommended. Avoid repeated freeze/thaw cycles. Suggest spin the vial prior to opening. The antibody solution should be gently mixed before use. |
| Note | For laboratory research only, not for drug, diagnostic or other use. |
Bioinformation
| Gene Symbol | KLRA1P |
|---|---|
| Gene Full Name | killer cell lectin like receptor A1, pseudogene |
Images (3) Click the Picture to Zoom In
-
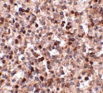
ARG46245 anti-KLRA1 antibody IHC-P image
Immunohistochemistry: Human spleen stained with ARG46245 anti-KLRA1 antibody.
-
ARG46245 anti-KLRA1 antibody ICC/IF image
Immunofluorescence: Human Spleen stained with ARG46245 anti-KLRA1 antibody.
-
ARG46245 anti-KLRA1 antibody WB image
Western blot: 293 stained with ARG46245 anti-KLRA1 antibody.
