ARG45252
anti-Kindlin 2 antibody
anti-Kindlin 2 antibody for Flow cytometry,ICC/IF,IHC-Formalin-fixed paraffin-embedded sections,Western blot and Human
Overview
| Product Description | Polyclonal antibody recognizes Kindlin 2 |
|---|---|
| Tested Reactivity | Hu |
| Tested Application | FACS, ICC/IF, IHC-P, WB |
| Host | Rabbit |
| Clonality | Polyclonal |
| Isotype | IgG |
| Target Name | Kindlin 2 |
| Antigen Species | Human |
| Immunogen | Recombinant protein containing to human Kindlin 2. |
| Conjugation | Un-conjugated |
| Alternate Names | FERMT2; FERM Domain Containing Kindlin 2; KIND2; UNC112B; PLEKHC1; Mig-2; Pleckstrin Homology Domain Containing, Family C (With FERM Domain) Member 1; PH Domain-Containing Family C Member 1; Fermitin Family Homolog 2; Mitogen Inducible Gene-2; Fermitin Family Member 2; Kindlin-2; MIG2; Pleckstrin Homology Domain Containing, Family C Member 1; Pleckstrin Homology Domain-Containing Family C Member 1; Fermitin Family Homolog 2 (Drosophila); Mitogen Inducible Gene 2 Protein; Mitogen-Inducible Gene 2 Protein; Kindlin 2; UNC112; MIG-2 |
Application Instructions
| Application Suggestion |
|
||||||||||
|---|---|---|---|---|---|---|---|---|---|---|---|
| Application Note | * The dilutions indicate recommended starting dilutions and the optimal dilutions or concentrations should be determined by the scientist. | ||||||||||
| Observed Size | 70 kDa |
Properties
| Form | Liquid |
|---|---|
| Purification | Affinity purification with immunogen. |
| Buffer | 0.2% Na2HPO4, 0.9% NaCl and 4% Trehalose. |
| Stabilizer | 4% Trehalose |
| Concentration | 0.5 mg/ml |
| Storage Instruction | For continuous use, store undiluted antibody at 2-8°C for up to a week. For long-term storage, aliquot and store at -20°C or below. Storage in frost free freezers is not recommended. Avoid repeated freeze/thaw cycles. Suggest spin the vial prior to opening. The antibody solution should be gently mixed before use. |
| Note | For laboratory research only, not for drug, diagnostic or other use. |
Bioinformation
| Database Links | |
|---|---|
| Gene Symbol | FERMT2 |
| Gene Full Name | FERM Domain Containing Kindlin 2 |
| Background | Enables several functions, including actin binding activity; phosphatidylinositol-3,4,5-trisphosphate binding activity; and type I transforming growth factor beta receptor binding activity. Involved in several processes, including cell surface receptor signaling pathway; positive regulation of cellular component biogenesis; and positive regulation of intracellular signal transduction. Acts upstream of or within cell adhesion and protein localization to cell junction. Located in several cellular components, including adherens junction; cytoplasmic side of plasma membrane; and focal adhesion. Biomarker of acute myeloid leukemia. [provided by Alliance of Genome Resources, Nov 2024] |
| Function | Scaffolding protein that enhances integrin activation mediated by TLN1 and/or TLN2, but activates integrins only weakly by itself. Binds to membranes enriched in phosphoinositides. Enhances integrin-mediated cell adhesion onto the extracellular matrix and cell spreading; this requires both its ability to interact with integrins and with phospholipid membranes. Required for the assembly of focal adhesions. Participates in the connection between extracellular matrix adhesion sites and the actin cytoskeleton and also in the orchestration of actin assembly and cell shape modulation. Recruits FBLIM1 to focal adhesions. Plays a role in the TGFB1 and integrin signaling pathways. Stabilizes active CTNNB1 and plays a role in the regulation of transcription mediated by CTNNB1 and TCF7L2/TCF4 and in Wnt signaling.. [UniProt] |
| Cellular Localization | Cell junction ; Cell membrane ; Cell projection ; Cytoplasm ; Cytoskeleton. [UniProt] |
| Calculated MW | 78 kDa |
| PTM | Phosphoprotein. [UniProt] |
Images (4) Click the Picture to Zoom In
-
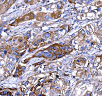
ARG45252 anti-Kindlin 2 antibody IHC-P image
Immunohistochemistry: Human breast cancer stained with ARG45252 anti-Kindlin 2 antibody at 2 μg/ml dilution.
-
ARG45252 anti-Kindlin 2 antibody ICC/IF image
Immunofluorescence: U20S stained with ARG45252 anti-Kindlin 2 antibody at 5 ug/ml dilution.
-
ARG45252 anti-Kindlin 2 antibody WB image
Western blot: A549 and HT1080 stained with ARG45252 anti-Kindlin 2 antibody at 0.5 μg/ml dilution.
-
ARG45252 anti-Kindlin 2 antibody FACS image
Flow Cytometry: SiHa stained with ARG45252 anti-Kindlin 2 antibody at 1 µg/10^6 cells dilution.
