ARG45144
anti-Kv1.4 / RK3 antibody
anti-Kv1.4 / RK3 antibody for IHC-Formalin-fixed paraffin-embedded sections,Western blot and Human
Overview
| Product Description | Rabbit Polyclonal antibody recognizes Kv1.4 / RK3 |
|---|---|
| Tested Reactivity | Hu |
| Tested Application | IHC-P, WB |
| Host | Rabbit |
| Clonality | Polyclonal |
| Isotype | IgG |
| Target Name | Kv1.4 / RK3 |
| Antigen Species | Human |
| Immunogen | Synthetic peptide corresponding to C-terminal region of human Kv1.4 / RK3. |
| Conjugation | Un-conjugated |
| Alternate Names | KCNA4; Potassium voltage-gated channel subfamily A member 4; Potassium voltage-gated channel subfamily A member 4; HPCN2; Voltage-gated K (+) channel HuKII ; Voltage-gated potassium channel HBK4; Voltage-gated potassium channel HK1 ; Voltage-gated potassium channel subunit Kv1.4; KCNA4; KCNA4L; PCN2; HK1Fetal Skeletal Muscle Potassium Channel; Rapidly Inactivating Potassium Channel; Shaker-Related Potassium Channel Kv1.4; Cardiac Potassium Channe ; Type A Potassium Channel; Potassium Channel 2; MCIDDS; HUKII; KCNA8; HBK4 |
Application Instructions
| Application Suggestion |
|
||||||
|---|---|---|---|---|---|---|---|
| Application Note | * The dilutions indicate recommended starting dilutions and the optimal dilutions or concentrations should be determined by the scientist. | ||||||
| Observed Size | 73 kDa |
Properties
| Form | Liquid |
|---|---|
| Purification | Affinity purification with immunogen. |
| Buffer | 0.9% NaCl, 0.2% Na2HPO4, 0.05% Sodium azide and 5% BSA. |
| Preservative | 0.05% Sodium azide |
| Stabilizer | 5% BSA |
| Concentration | 0.5 mg/ml |
| Storage Instruction | For continuous use, store undiluted antibody at 2-8°C for up to a week. For long-term storage, aliquot and store at -20°C or below. Storage in frost free freezers is not recommended. Avoid repeated freeze/thaw cycles. Suggest spin the vial prior to opening. The antibody solution should be gently mixed before use. |
| Note | For laboratory research only, not for drug, diagnostic or other use. |
Bioinformation
| Database Links |
Swiss-port # P22459 Human Potassium voltage-gated channel subfamily A member 4 |
|---|---|
| Gene Symbol | KCNA4 |
| Gene Full Name | Potassium voltage-gated channel subfamily A member 4 |
| Background | Potassium channels represent the most complex class of voltage-gated ion channels from both functional and structural standpoints. Their diverse functions include regulating neurotransmitter release, heart rate, insulin secretion, neuronal excitability, epithelial electrolyte transport, smooth muscle contraction, and cell volume. Four sequence-related potassium channel genes - shaker, shaw, shab, and shal - have been identified in Drosophila, and each has been shown to have human homolog(s). This gene encodes a member of the potassium channel, voltage-gated, shaker-related subfamily. This member contains six membrane-spanning domains with a shaker-type repeat in the fourth segment. It belongs to the A-type potassium current class, the members of which may be important in the regulation of the fast repolarizing phase of action potentials in heart and thus may influence the duration of cardiac action potential.[provided by RefSeq, Mar 2011] |
| Function | Voltage-gated potassium channel that mediates transmembrane potassium transport in excitable membranes. Forms tetrameric potassium-selective channels through which potassium ions pass in accordance with their electrochemical gradient. The channel alternates between opened and closed conformations in response to the voltage difference across the membrane. [UniProt] |
| Cellular Localization | Cell membrane; Cell projection, axon. [UniProt] |
| Calculated MW | 73 kDa |
| PTM | Glycoprotein; Phosphoprotein. [UniProt] |
Images (2) Click the Picture to Zoom In
-
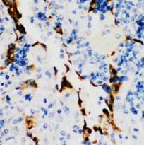
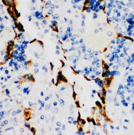
ARG45144 anti-Kv1.4 / RK3 antibody IHC-P image
Immunohistochemistry: Human lung cancer stained with ARG45144 anti-Kv1.4 / RK3 antibody at 1 μg/ml dilution.
-
ARG45144 anti-Kv1.4 / RK3 antibody WB image
Western blot: Hela, COLO320, HT1080, and PANC stained with ARG45144 anti-Kv1.4 / RK3 antibody at 0.5 μg/ml dilution.
