ARG44533
anti-LACTB antibody
anti-LACTB antibody for Flow cytometry,ICC/IF,IHC-Formalin-fixed paraffin-embedded sections,Western blot and Human
Overview
| Product Description | Rabbit Polyclonal antibody recognizes LACTB |
|---|---|
| Tested Reactivity | Hu |
| Tested Application | FACS, ICC/IF, IHC-P, WB |
| Host | Rabbit |
| Clonality | Polyclonal |
| Isotype | IgG |
| Target Name | LACTB |
| Antigen Species | Human |
| Immunogen | Human LACTB recombinant protein. |
| Conjugation | Un-conjugated |
| Alternate Names | LACTB; Lactamase Beta; MRPL56; Serine Beta-Lactamase-Like Protein LACTB, Mitochondrial; Serine Beta-Lactamase-Like Protein, Mitochondrial; FLJ14902; Mitochondrial 39S Ribosomal Protein L56; Mitochondrial Ribosomal Protein L56; EC 3.4.-.- ; G24 |
Application Instructions
| Application Suggestion |
|
||||||||||
|---|---|---|---|---|---|---|---|---|---|---|---|
| Application Note | * The dilutions indicate recommended starting dilutions and the optimal dilutions or concentrations should be determined by the scientist. |
Properties
| Form | Liquid |
|---|---|
| Purification | Affinity purification with immunogen. |
| Buffer | 0.9% NaCl, 0.2% Na2HPO4, 0.05% Sodium azide and 4% Trehalose. |
| Preservative | 0.05% Sodium azide |
| Stabilizer | 4% Trehalose |
| Concentration | 0.5 mg/ml |
| Storage Instruction | For continuous use, store undiluted antibody at 2-8°C for up to a week. For long-term storage, aliquot and store at -20°C or below. Storage in frost free freezers is not recommended. Avoid repeated freeze/thaw cycles. Suggest spin the vial prior to opening. The antibody solution should be gently mixed before use. |
| Note | For laboratory research only, not for drug, diagnostic or other use. |
Bioinformation
| Database Links |
Swiss-port # P83111 Human Serine beta-lactamase-like protein LACTB, mitochondrial |
|---|---|
| Gene Symbol | LACTB |
| Gene Full Name | Lactamase Beta |
| Background | This gene encodes a mitochondrially-localized protein that has sequence similarity to prokaryotic beta-lactamases. Many of the residues responsible for beta-lactamase activity are not conserved in this protein, suggesting it may have a different enzymatic function. Increased expression of the related mouse gene was found to be associated with obesity. Alternative splicing results in multiple transcript variants encoding different protein isoform |
| Function | Mitochondrial serine protease that acts as a regulator of mitochondrial lipid metabolism. |
| Cellular Localization | Mitochondrion |
| Calculated MW | 61 kDa |
| PTM | Acetylation |
Images (4) Click the Picture to Zoom In
-
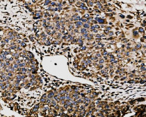
ARG44533 anti-LACTB antibody IHC-P image
Immunohistochemistry: Human liver cancer stained with ARG44533 anti-LACTB antibody at 2 μg/ml dilution.
-
ARG44533 anti-LACTB antibody ICC/IF image
Immunofluorescence: A431 stained with ARG44533 anti-LACTB antibody at 5 μg/ml dilution.
-
ARG44533 anti-LACTB antibody WB image
Western blot: HepG2, HeLa and RT4 stained with ARG44533 anti-LACTB antibody at 0.5 μg/mL dilution.
-
ARG44533 anti-LACTB antibody FACS image
Flow Cytometry: Caco-2 stained with ARG44533 anti-LACTB antibody at 1 μg/10^6 cells dilution.
