ARG43046
anti-LATS1 / WARTS antibody
anti-LATS1 / WARTS antibody for Flow cytometry,IHC-Formalin-fixed paraffin-embedded sections,Western blot and Human
Overview
| Product Description | Rabbit Polyclonal antibody recognizes LATS1 / WARTS |
|---|---|
| Tested Reactivity | Hu |
| Tested Application | FACS, IHC-P, WB |
| Host | Rabbit |
| Clonality | Polyclonal |
| Isotype | IgG |
| Target Name | LATS1 / WARTS |
| Antigen Species | Human |
| Immunogen | Recombinant protein corresponding to Q637-A698 of Human LATS1 / WARTS. |
| Conjugation | Un-conjugated |
| Alternate Names | wts; Serine/threonine-protein kinase LATS1; WARTS; WARTS protein kinase; h-warts; EC 2.7.11.1; Large tumor suppressor homolog 1 |
Application Instructions
| Application Suggestion |
|
||||||||
|---|---|---|---|---|---|---|---|---|---|
| Application Note | IHC-P: Antigen Retrieval: Heat mediation was performed in Citrate buffer (pH 6.0) for 20 min. * The dilutions indicate recommended starting dilutions and the optimal dilutions or concentrations should be determined by the scientist. |
Properties
| Form | Liquid |
|---|---|
| Purification | Affinity purification with immunogen. |
| Buffer | 0.2% Na2HPO4, 0.9% NaCl, 0.05% Sodium azide and 4% Trehalose. |
| Preservative | 0.05% Sodium azide |
| Stabilizer | 4% Trehalose |
| Concentration | 0.5 mg/ml |
| Storage Instruction | For continuous use, store undiluted antibody at 2-8°C for up to a week. For long-term storage, aliquot and store at -20°C or below. Storage in frost free freezers is not recommended. Avoid repeated freeze/thaw cycles. Suggest spin the vial prior to opening. The antibody solution should be gently mixed before use. |
| Note | For laboratory research only, not for drug, diagnostic or other use. |
Bioinformation
| Database Links |
Swiss-port # O95835 Human Serine/threonine-protein kinase LATS1 |
|---|---|
| Gene Symbol | LATS1 |
| Gene Full Name | large tumor suppressor kinase 1 |
| Background | The protein encoded by this gene is a putative serine/threonine kinase that localizes to the mitotic apparatus and complexes with cell cycle controller CDC2 kinase in early mitosis. The protein is phosphorylated in a cell-cycle dependent manner, with late prophase phosphorylation remaining through metaphase. The N-terminal region of the protein binds CDC2 to form a complex showing reduced H1 histone kinase activity, indicating a role as a negative regulator of CDC2/cyclin A. In addition, the C-terminal kinase domain binds to its own N-terminal region, suggesting potential negative regulation through interference with complex formation via intramolecular binding. Biochemical and genetic data suggest a role as a tumor suppressor. This is supported by studies in knockout mice showing development of soft-tissue sarcomas, ovarian stromal cell tumors and a high sensitivity to carcinogenic treatments. [provided by RefSeq, Apr 2017] |
| Function | Negative regulator of YAP1 in the Hippo signaling pathway that plays a pivotal role in organ size control and tumor suppression by restricting proliferation and promoting apoptosis. The core of this pathway is composed of a kinase cascade wherein STK3/MST2 and STK4/MST1, in complex with its regulatory protein SAV1, phosphorylates and activates LATS1/2 in complex with its regulatory protein MOB1, which in turn phosphorylates and inactivates YAP1 oncoprotein and WWTR1/TAZ. Phosphorylation of YAP1 by LATS1 inhibits its translocation into the nucleus to regulate cellular genes important for cell proliferation, cell death, and cell migration. Acts as a tumor suppressor which plays a critical role in maintenance of ploidy through its actions in both mitotic progression and the G1 tetraploidy checkpoint. Negatively regulates G2/M transition by down-regulating CDK1 kinase activity. Involved in the control of p53 expression. Affects cytokinesis by regulating actin polymerization through negative modulation of LIMK1. May also play a role in endocrine function. Plays a role in mammary gland epithelial cells differentiation, both through the Hippo signaling pathway and the intracellular estrogen receptor signaling pathway by promoting the degradation of ESR1 (PubMed:28068668). [UniProt] |
| Cellular Localization | Cytoplasm, cytoskeleton, microtubule organizing center, centrosome. Note=Localizes to the centrosomes throughout interphase but migrates to the mitotic apparatus, including spindle pole bodies, mitotic spindle, and midbody, during mitosis. [UniProt] |
| Calculated MW | 127 kDa |
| PTM | Autophosphorylated and phosphorylated during M-phase of the cell cycle. Phosphorylated by STK3/MST2 at Ser-909 and Thr-1079, which results in its activation. Phosphorylation at Ser-464 by NUAK1 and NUAK2 leads to decreased protein level and is required to regulate cellular senescence and cellular ploidy. [UniProt] |
Images (5) Click the Picture to Zoom In
-
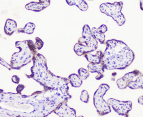
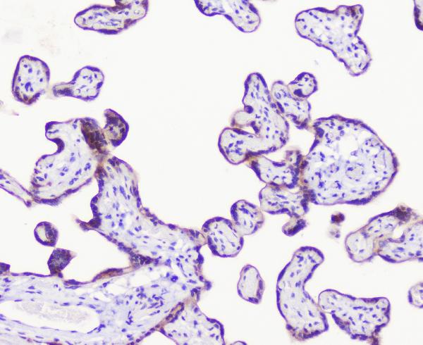
ARG43046 anti-LATS1 / WARTS antibody IHC-P image
Immunohistochemistry: Paraffin-embedded Human placenta tissue. Antigen Retrieval: Heat mediation was performed in Citrate buffer (pH 6.0) for 20 min. The tissue section was blocked with 10% goat serum. The tissue section was then stained with ARG43046 anti-LATS1 / WARTS antibody at 1 µg/ml dilution, overnight at 4°C.
-
ARG43046 anti-LATS1 / WARTS antibody WB image
Western blot: 50 µg of sample under reducing conditions. K562 whole cell lysate stained with ARG43046 anti-LATS1 / WARTS antibody at 0.5 µg/ml dilution, overnight at 4°C.
-
ARG43046 anti-LATS1 / WARTS antibody FACS image
Flow Cytometry: SiHa cells were blocked with 10% normal goat serum and then stained with ARG43046 anti-LATS1 / WARTS antibody (blue) at 1 µg/10^6 cells for 30 min at 20°C, followed by incubation with DyLight®488 labelled secondary antibody. Isotype control antibody (green) was rabbit IgG (1 µg/10^6 cells) used under the same conditions. Unlabelled sample (red) was also used as a control.
-
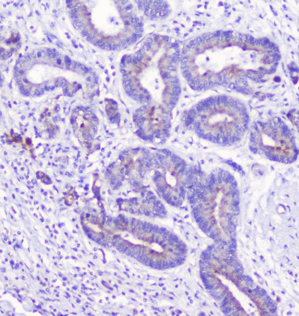
ARG43046 anti-LATS1 / WARTS antibody IHC-P image
Immunohistochemistry: Paraffin-embedded Human cholangiocarcinoma tissue. Antigen Retrieval: Heat mediation was performed in Citrate buffer (pH 6.0) for 20 min. The tissue section was blocked with 10% goat serum. The tissue section was then stained with ARG43046 anti-LATS1 / WARTS antibody at 1 µg/ml dilution, overnight at 4°C.
-
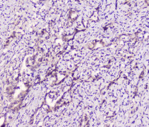
ARG43046 anti-LATS1 / WARTS antibody IHC-P image
Immunohistochemistry: Paraffin-embedded Human rectal cancer tissue. Antigen Retrieval: Heat mediation was performed in Citrate buffer (pH 6.0) for 20 min. The tissue section was blocked with 10% goat serum. The tissue section was then stained with ARG43046 anti-LATS1 / WARTS antibody at 1 µg/ml dilution, overnight at 4°C.
