ARG55590
anti-LDHA / Lactate Dehydrogenase antibody
anti-LDHA / Lactate Dehydrogenase antibody for Flow cytometry,IHC-Formalin-fixed paraffin-embedded sections,Western blot and Human,Monkey
Cancer antibody; Metabolism antibody; Signaling Transduction antibody; Lactate dehydrogenase antibody; Warburg Effect signaling pathway antibody
Overview
| Product Description | Rabbit Polyclonal antibody recognizes LDHA / Lactate Dehydrogenase |
|---|---|
| Tested Reactivity | Hu, Mk |
| Predict Reactivity | Bov, Rat, Pig |
| Tested Application | FACS, IHC-P, WB |
| Host | Rabbit |
| Clonality | Polyclonal |
| Isotype | IgG |
| Target Name | LDHA / Lactate Dehydrogenase |
| Antigen Species | Human |
| Immunogen | KLH-conjugated synthetic peptide corresponding to aa. 154-182 (Center) of Human LDHA. |
| Conjugation | Un-conjugated |
| Alternate Names | PIG19; Cell proliferation-inducing gene 19 protein; LDH muscle subunit; Renal carcinoma antigen NY-REN-59; HEL-S-133P; L-lactate dehydrogenase A chain; GSD11; LDHM; EC 1.1.1.27; LDH-M; LDH-A |
Application Instructions
| Application Suggestion |
|
||||||||
|---|---|---|---|---|---|---|---|---|---|
| Application Note | * The dilutions indicate recommended starting dilutions and the optimal dilutions or concentrations should be determined by the scientist. | ||||||||
| Positive Control | Ramos |
Properties
| Form | Liquid |
|---|---|
| Purification | Purification with Protein A and immunogen peptide. |
| Buffer | PBS and 0.09% (W/V) Sodium azide |
| Preservative | 0.09% (W/V) Sodium azide |
| Storage Instruction | For continuous use, store undiluted antibody at 2-8°C for up to a week. For long-term storage, aliquot and store at -20°C or below. Storage in frost free freezers is not recommended. Avoid repeated freeze/thaw cycles. Suggest spin the vial prior to opening. The antibody solution should be gently mixed before use. |
| Note | For laboratory research only, not for drug, diagnostic or other use. |
Bioinformation
| Database Links | |
|---|---|
| Gene Symbol | LDHA |
| Gene Full Name | lactate dehydrogenase A |
| Background | The protein encoded by this gene catalyzes the conversion of L-lactate and NAD to pyruvate and NADH in the final step of anaerobic glycolysis. The protein is found predominantly in muscle tissue and belongs to the lactate dehydrogenase family. Mutations in this gene have been linked to exertional myoglobinuria. Multiple transcript variants encoding different isoforms have been found for this gene. The human genome contains several non-transcribed pseudogenes of this gene. [provided by RefSeq, Sep 2008] |
| Cellular Localization | Cytoplasm. |
| Research Area | Cancer antibody; Metabolism antibody; Signaling Transduction antibody; Lactate dehydrogenase antibody; Warburg Effect signaling pathway antibody |
| Calculated MW | 37 kDa |
| PTM | ISGylated. |
Images (3) Click the Picture to Zoom In
-
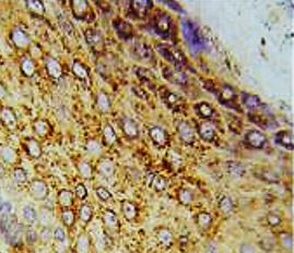
ARG55590 anti-LDHA / Lactate Dehydrogenase antibody IHC-P image
Immunohistochemistry: Formalin-fixed and paraffin-embedded Human skin tissue stained with ARG55590 anti-LDHA / Lactate Dehydrogenase antibody.
-
ARG55590 anti-LDHA / Lactate Dehydrogenase antibody WB image
Western blot: 35 µg of Ramos cell lysate stained with ARG55590 anti-LDHA / Lactate Dehydrogenase antibody.
-
ARG55590 anti-LDHA / Lactate Dehydrogenase antibody FACS image
Flow Cytometry: HeLa cells stained with ARG55590 anti-LDHA / Lactate Dehydrogenase antibody (bottom histogram) or without primary antibody as control (top histogram), followed by incubation with FITC labelled secondary antibody.
