ARG41857
anti-LIN28B antibody
anti-LIN28B antibody for Flow cytometry,IHC-Formalin-fixed paraffin-embedded sections,Western blot and Human,Mouse,Rat
Overview
| Product Description | Rabbit Polyclonal antibody recognizes LIN28B |
|---|---|
| Tested Reactivity | Hu, Ms, Rat |
| Tested Application | FACS, IHC-P, WB |
| Host | Rabbit |
| Clonality | Polyclonal |
| Isotype | IgG |
| Target Name | LIN28B |
| Antigen Species | Human |
| Immunogen | KLH-conjugated synthetic peptide between aa. 95-128 of Human LIN28B. |
| Conjugation | Un-conjugated |
| Alternate Names | CSDD2; Protein lin-28 homolog B; Lin-28B |
Application Instructions
| Application Suggestion |
|
||||||||
|---|---|---|---|---|---|---|---|---|---|
| Application Note | IHC-P: Antigen Retrieval: Heat mediation was performed in EDTA buffer (pH 9.0). * The dilutions indicate recommended starting dilutions and the optimal dilutions or concentrations should be determined by the scientist. |
||||||||
| Positive Control | Mouse testis | ||||||||
| Observed Size | ~ 30 kDa |
Properties
| Form | Liquid |
|---|---|
| Purification | Purification with Protein A and immunogen peptide. |
| Buffer | PBS and 0.09% (W/V) Sodium azide. |
| Preservative | 0.09% (W/V) Sodium azide |
| Storage Instruction | For continuous use, store undiluted antibody at 2-8°C for up to a week. For long-term storage, aliquot and store at -20°C or below. Storage in frost free freezers is not recommended. Avoid repeated freeze/thaw cycles. Suggest spin the vial prior to opening. The antibody solution should be gently mixed before use. |
| Note | For laboratory research only, not for drug, diagnostic or other use. |
Bioinformation
| Database Links | |
|---|---|
| Gene Symbol | LIN28B |
| Gene Full Name | lin-28 homolog B (C. elegans) |
| Background | The protein encoded by this gene belongs to the lin-28 family, which is characterized by the presence of a cold-shock domain and a pair of CCHC zinc finger domains. This gene is highly expressed in testis, fetal liver, placenta, and in primary human tumors and cancer cell lines. It is negatively regulated by microRNAs that target sites in the 3' UTR, and overexpression of this gene in primary tumors is linked to the repression of let-7 family of microRNAs and derepression of let-7 targets, which facilitates cellular transformation. [provided by RefSeq, Jun 2012] |
| Function | Suppressor of microRNA (miRNA) biogenesis, including that of let-7 and possibly of miR107, miR-143 and miR-200c. Binds primary let-7 transcripts (pri-let-7), including pri-let-7g and pri-let-7a-1, and sequester them in the nucleolus, away from the microprocessor complex, hence preventing their processing into mature miRNA. Does not act on pri-miR21. The repression of let-7 expression is required for normal development and contributes to maintain the pluripotent state of embryonic stem cells by preventing let-7-mediated differentiation. When overexpressed, recruits ZCCHC11/TUT4 uridylyltransferase to pre-let-7 transcripts, leading to their terminal uridylation and degradation. This activity might not be relevant in vivo, as LIN28B-mediated inhibition of let-7 miRNA maturation appears to be ZCCHC11-independent. Interaction with target pre-miRNAs occurs via an 5'-GGAG-3' motif in the pre-miRNA terminal loop. Mediates MYC-induced let-7 repression (By similarity). When overexpressed, isoform 1 stimulates growth of the breast adenocarcinoma cell line MCF-7. Isoform 2 has no effect on cell growth. [UniProt] |
| Cellular Localization | Nucleus. Nucleus, nucleolus. Cytoplasm. Note=Predominantly nucleolar (PubMed:22118463). In Huh7 cells, predominantly cytoplasmic, with only a subset of cells exhibiting strong nuclear staining; however, the specificity of the polyclonal antibody used in these experiments has not been not documented (PubMed:16971064). [UniProt] |
| Calculated MW | 27 kDa |
Images (3) Click the Picture to Zoom In
-
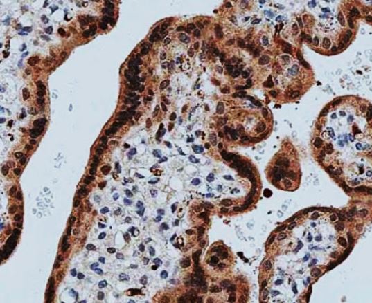
ARG41857 anti-LIN28B antibody IHC-P image
Immunohistochemistry: Formaldehyde-fixed and paraffin-embedded Human placenta tissue. Antigen Retrieval: Heat mediation was performed in EDTA buffer (pH 9.0). Samples were stained with ARG41857 anti-LIN28B antibody at 1:500 dilution for 1 hour at RT.
-
ARG41857 anti-LIN28B antibody WB image
Western blot: 20 µg of Mouse testis lysate stained with ARG41857 anti-LIN28B antibody at 1:2000 dilution.
-
ARG41857 anti-LIN28B antibody FACS image
Flow Cytometry: HL-60 cells stained with ARG41857 anti-LIN28B antibody (bottom histogram) or without primary antibody as control (top histogram), followed by incubation with FITC labelled secondary antibody.
