ARG44402
anti-LIN7C antibody
anti-LIN7C antibody for Flow cytometry,IHC-Formalin-fixed paraffin-embedded sections,Western blot and Human,Rat
Overview
| Product Description | Rabbit Polyclonal antibody recognizes LIN7C |
|---|---|
| Tested Reactivity | Hu, Rat |
| Tested Application | FACS, IHC-P, WB |
| Host | Rabbit |
| Clonality | Polyclonal |
| Isotype | IgG |
| Target Name | LIN7C |
| Antigen Species | Human |
| Immunogen | Human LIN7C recombinant protein (aa. sequence: M1-A73). |
| Conjugation | Un-conjugated |
| Alternate Names | LIN7C; Lin-7 Homolog C, Crumbs Cell Polarity Complex Component; MALS-3; VELI3; LIN-7-C; LIN-7C; Mammalian Lin-Seven Protein 3; Vertebrate Lin-7 Homolog 3; Protein Lin-7 Homolog C; LIN-7 Protein 3 |
Application Instructions
| Application Suggestion |
|
||||||||
|---|---|---|---|---|---|---|---|---|---|
| Application Note | The dilutions indicate recommended starting dilutions and the optimal dilutions or concentrations should be determined by the scientist. |
Properties
| Form | Liquid |
|---|---|
| Purification | Affinity purified with Immunogen. |
| Buffer | 0.9% NaCl, 0.2% Na2HPO4, 0.05% Sodium azide and 4% Trehalose. |
| Preservative | 0.05% Sodium azide |
| Stabilizer | 4% Trehalose |
| Concentration | 0.5 mg/ml |
| Storage Instruction | For continuous use, store undiluted antibody at 2-8°C for up to a week. For long-term storage, aliquot and store at -20°C or below. Storage in frost free freezers is not recommended. Avoid repeated freeze/thaw cycles. Suggest spin the vial prior to opening. The antibody solution should be gently mixed before use. |
| Note | For laboratory research only, not for drug, diagnostic or other use. |
Bioinformation
| Database Links | |
|---|---|
| Gene Symbol | LIN7C |
| Gene Full Name | Lin-7 Homolog C, Crumbs Cell Polarity Complex Component |
| Background | Enables L27 domain binding activity and cytoskeletal protein binding activity. Involved in morphogenesis of an epithelial sheet. Located in cell-cell junction; cytoplasm; and plasma membrane. Part of MPP7-DLG1-LIN7 complex. |
| Function | Plays a role in establishing and maintaining the asymmetric distribution of channels and receptors at the plasma membrane of polarized cells. Forms membrane-associated multiprotein complexes that may regulate delivery and recycling of proteins to the correct membrane domains. The tripartite complex composed of LIN7 (LIN7A, LIN7B or LIN7C), CASK and APBA1 associates with the motor protein KIF17 to transport vesicles containing N-methyl-D-aspartate (NMDA) receptor subunit NR2B along microtubules. |
| Cellular Localization | Cell junction, Cell membrane, Membrane, Postsynaptic cell membrane, Synapse, Tight junction |
| Calculated MW | 22 kDa |
| PTM | Acetylation |
Images (5) Click the Picture to Zoom In
-
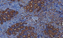
ARG44402 anti-LIN7C antibody IHC-P image
Immunohistochemistry: Human bladder urothelial carcinoma stained with ARG44402 anti-LIN7C antibody at 2 μg/mL dilution.
-
ARG44402 anti-LIN7C antibody FACS image
Flow Cytometry: HP-1 stained with ARG44402 anti-LIN7C antibody at 1 μg/10^6 cells dilution.
-
ARG44402 anti-LIN7C antibody WB image
Western blot: RT4 stained with ARG44402 anti-LIN7C antibody at 0.5 μg/mL dilution.
-
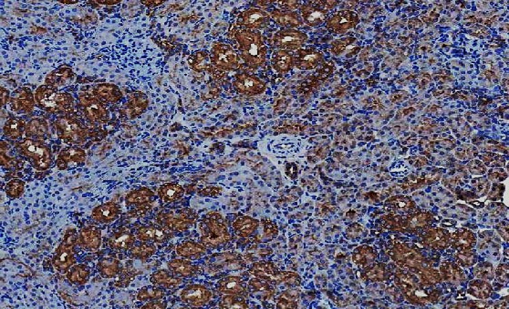
ARG44402 anti-LIN7C antibody IHC-P image
Immunohistochemistry: Rat kidney stained with ARG44402 anti-LIN7C antibody at 2 μg/mL dilution.
-
ARG44402 anti-LIN7C antibody WB image
Western blot: Rat brain stained with ARG44402 anti-LIN7C antibody at 0.5 μg/mL dilution.
