ARG58832
anti-LOXL1 antibody
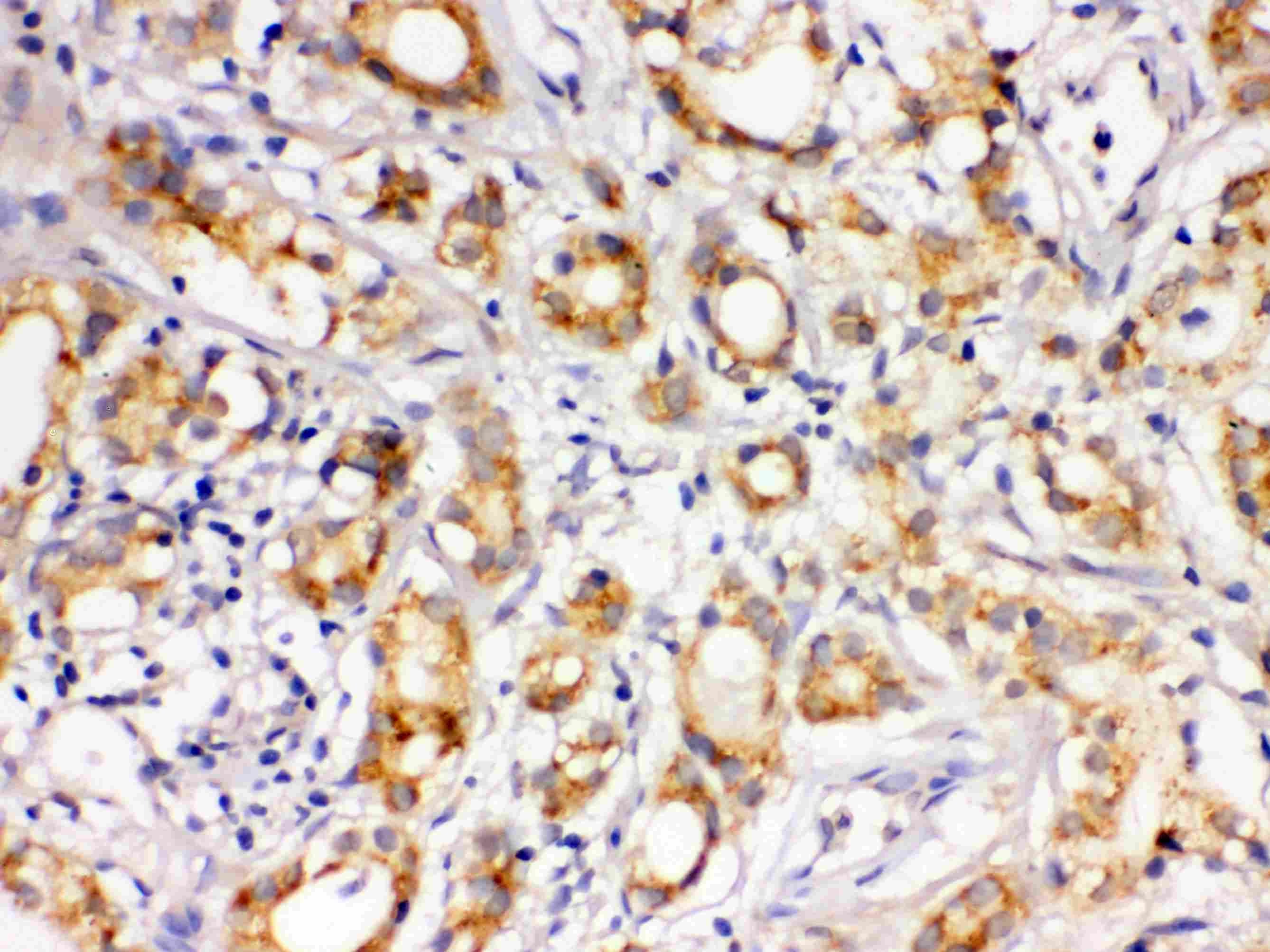
anti-LOXL1 antibody for IHC-Formalin-fixed paraffin-embedded sections,Western blot and Human
Overview
| Product Description | Rabbit Polyclonal antibody recognizes LOXL1 |
|---|---|
| Tested Reactivity | Hu |
| Predict Reactivity | Hm |
| Tested Application | IHC-P, WB |
| Host | Rabbit |
| Clonality | Polyclonal |
| Isotype | IgG |
| Target Name | LOXL1 |
| Antigen Species | Human |
| Immunogen | Synthetic peptide corresponding to aa. 397-425 of Human LOXL1 (AEEKCLASTAYAPEATDYDVRVLLRFPQR). |
| Conjugation | Un-conjugated |
| Alternate Names | Lysyl oxidase-like protein 1; Lysyl oxidase homolog 1; LOXL; LOL; EC 1.4.3.- |
Application Instructions
| Application Suggestion |
|
||||||
|---|---|---|---|---|---|---|---|
| Application Note | IHC-P: Antigen Retrieval: By heat mediation. * The dilutions indicate recommended starting dilutions and the optimal dilutions or concentrations should be determined by the scientist. |
Properties
| Form | Liquid |
|---|---|
| Purification | Affinity purification with immunogen. |
| Buffer | 0.9% NaCl, 0.2% Na2HPO4, 0.05% Sodium azide and 5% BSA. |
| Preservative | 0.05% Sodium azide |
| Stabilizer | 5% BSA |
| Concentration | 0.5 mg/ml |
| Storage Instruction | For continuous use, store undiluted antibody at 2-8°C for up to a week. For long-term storage, aliquot and store at -20°C or below. Storage in frost free freezers is not recommended. Avoid repeated freeze/thaw cycles. Suggest spin the vial prior to opening. The antibody solution should be gently mixed before use. |
| Note | For laboratory research only, not for drug, diagnostic or other use. |
Bioinformation
| Database Links | |
|---|---|
| Gene Symbol | LOXL1 |
| Gene Full Name | lysyl oxidase-like 1 |
| Background | This gene encodes a member of the lysyl oxidase gene family. The prototypic member of the family is essential to the biogenesis of connective tissue, encoding an extracellular copper-dependent amine oxidase that catalyses the first step in the formation of crosslinks in collagens and elastin. A highly conserved amino acid sequence at the C-terminus end appears to be sufficient for amine oxidase activity, suggesting that each family member may retain this function. The N-terminus is poorly conserved and may impart additional roles in developmental regulation, senescence, tumor suppression, cell growth control, and chemotaxis to each member of the family. [provided by RefSeq, Jul 2008] |
| Function | Active on elastin and collagen substrates. [UniProt] |
| Cellular Localization | Secreted, extracellular space. [UniProt] |
| Calculated MW | 63 kDa |
| PTM | The lysine tyrosylquinone cross-link (LTQ) is generated by condensation of the epsilon-amino group of a lysine with a topaquinone produced by oxidation of tyrosine. [UniProt] |
Images (2) Click the Picture to Zoom In
