ARG43047
anti-LRIG1 antibody
anti-LRIG1 antibody for IHC-Formalin-fixed paraffin-embedded sections,Western blot and Human
Overview
| Product Description | Rabbit Polyclonal antibody recognizes LRIG1 |
|---|---|
| Tested Reactivity | Hu |
| Tested Application | IHC-P, WB |
| Host | Rabbit |
| Clonality | Polyclonal |
| Isotype | IgG |
| Target Name | LRIG1 |
| Antigen Species | Mouse |
| Immunogen | Synthetic peptide corresponding to a sequence of mouse LRIG1. (AKRAFSGLESLEHLNLGENAIRSVQFDAFAKMKNLKELYI) |
| Conjugation | Un-conjugated |
| Alternate Names | LIG-1; LIG1; Leucine-rich repeats and immunoglobulin-like domains protein 1 |
Application Instructions
| Application Suggestion |
|
||||||
|---|---|---|---|---|---|---|---|
| Application Note | IHC-P: Antigen Retrieval: Heat mediation was performed in Citrate buffer (pH 6.0) for 20 min. * The dilutions indicate recommended starting dilutions and the optimal dilutions or concentrations should be determined by the scientist. |
Properties
| Form | Liquid |
|---|---|
| Purification | Affinity purification with immunogen. |
| Buffer | 0.2% Na2HPO4, 0.9% NaCl, 0.05% Sodium azide and 4% Trehalose. |
| Preservative | 0.05% Sodium azide |
| Stabilizer | 4% Trehalose |
| Concentration | 0.5 mg/ml |
| Storage Instruction | For continuous use, store undiluted antibody at 2-8°C for up to a week. For long-term storage, aliquot and store at -20°C or below. Storage in frost free freezers is not recommended. Avoid repeated freeze/thaw cycles. Suggest spin the vial prior to opening. The antibody solution should be gently mixed before use. |
| Note | For laboratory research only, not for drug, diagnostic or other use. |
Bioinformation
| Database Links |
Swiss-port # Q96JA1 Human Leucine-rich repeats and immunoglobulin-like domains protein 1 |
|---|---|
| Gene Symbol | LRIG1 |
| Gene Full Name | leucine-rich repeats and immunoglobulin-like domains 1 |
| Function | Acts as a feedback negative regulator of signaling by receptor tyrosine kinases, through a mechanism that involves enhancement of receptor ubiquitination and accelerated intracellular degradation. [UniProt] |
| Cellular Localization | Cell membrane; Single-pass type I membrane protein. [UniProt] |
| Calculated MW | 119 kDa |
Images (2) Click the Picture to Zoom In
-
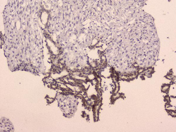
ARG43047 anti-LRIG1 antibody IHC-P image
Immunohistochemistry: Paraffin-embedded Human mammary cancer tissue. Antigen Retrieval: Heat mediation was performed in Citrate buffer (pH 6.0) for 20 min. The tissue section was blocked with 10% goat serum. The tissue section was then stained with ARG43047 anti-LRIG1 antibody at 2 µg/ml dilution, overnight at 4°C.
-
ARG43047 anti-LRIG1 antibody WB image
Western blot: 50 µg of sample under reducing conditions. Caco-2 whole cell lysate stained with ARG43047 anti-LRIG1 antibody at 0.5 µg/ml dilution, overnight at 4°C.
