ARG64700
anti-LRP4 / LRP10 antibody
anti-LRP4 / LRP10 antibody for IHC-Formalin-fixed paraffin-embedded sections,Western blot and Human
Developmental Biology antibody; Signaling Transduction antibody
Overview
| Product Description | Goat Polyclonal antibody recognizes LRP4 / LRP10 |
|---|---|
| Tested Reactivity | Hu |
| Predict Reactivity | Ms, Rat, Cow |
| Tested Application | IHC-P, WB |
| Host | Goat |
| Clonality | Polyclonal |
| Isotype | IgG |
| Target Name | LRP4 / LRP10 |
| Antigen Species | Human |
| Immunogen | C-SNPSYRTSTQEVK |
| Conjugation | Un-conjugated |
| Alternate Names | LRP-4; LRP10; SOST2; CLSS; Multiple epidermal growth factor-like domains 7; CMS17; Low-density lipoprotein receptor-related protein 4; MEGF7 |
Application Instructions
| Application Suggestion |
|
||||||
|---|---|---|---|---|---|---|---|
| Application Note | WB: Recommend incubate at RT for 1h. IHC-P: Antigen Retrieval: Steam tissue section in Citrate buffer (pH 6.0). * The dilutions indicate recommended starting dilutions and the optimal dilutions or concentrations should be determined by the scientist. |
Properties
| Form | Liquid |
|---|---|
| Purification | Purified from goat serum by antigen affinity chromatography. |
| Buffer | Tris saline (pH 7.3), 0.02% Sodium azide and 0.5% BSA. |
| Preservative | 0.02% Sodium azide |
| Stabilizer | 0.5% BSA |
| Concentration | 0.5 mg/ml |
| Storage Instruction | For continuous use, store undiluted antibody at 2-8°C for up to a week. For long-term storage, aliquot and store at -20°C or below. Storage in frost free freezers is not recommended. Avoid repeated freeze/thaw cycles. Suggest spin the vial prior to opening. The antibody solution should be gently mixed before use. |
| Note | For laboratory research only, not for drug, diagnostic or other use. |
Bioinformation
| Database Links |
Swiss-port # O75096 Human Low-density lipoprotein receptor-related protein 4 |
|---|---|
| Background | This gene encodes a member of the low-density lipoprotein receptor-related protein family. The encoded protein may be a regulator of Wnt signaling. Mutations in this gene are associated with Cenani-Lenz syndrome. [provided by RefSeq, May 2010] |
| Research Area | Developmental Biology antibody; Signaling Transduction antibody |
| Calculated MW | 212 kDa |
Images (2) Click the Picture to Zoom In
-
ARG64700 anti-LRP4 / LRP10 antibody WB image
Western Blot: Human Cerebral Cortex lysate (35 µg protein in RIPA buffer) stained with ARG64700 anti-LRP4 / LRP10 antibody at 0.1 µg/ml dilution.
-
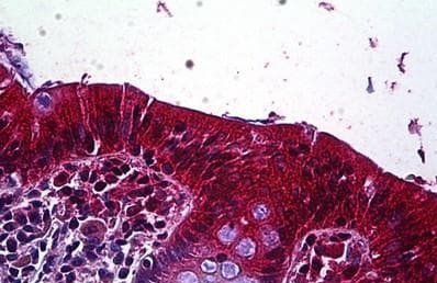
ARG64700 anti-LRP4 / LRP10 antibody IHC-P image
Immunohistochemistry: Paraffin-embedded Human colon tissue. Antigen Retrieval: Steam tissue section in Citrate buffer (pH 6.0). The tissue section was stained with ARG64700 anti-LRP4 / LRP10 antibody at 3.75 µg/ml dilution followed by AP-staining.
