ARG45948
anti-LSDP5 antibody
anti-LSDP5 antibody for Flow cytometry,IHC-Formalin-fixed paraffin-embedded sections,Western blot and Human,Mouse,Rat
Overview
| Product Description | Rabbit Polyclonal antibody recognizes LSDP5 |
|---|---|
| Tested Reactivity | Hu, Ms, Rat |
| Tested Application | FACS, IHC-P, WB |
| Host | Rabbit |
| Clonality | Polyclonal |
| Isotype | IgG |
| Target Name | LSDP5 |
| Antigen Species | Human |
| Immunogen | Recombinant protein containing to human LSDP5. |
| Conjugation | Un-conjugated |
| Alternate Names | Perilipin 5; PLIN5; LSDP5; OXPAT; PAT-1; Perilipin-5; Lipid storage droplet protein 5 |
Application Instructions
| Application Suggestion |
|
||||||||
|---|---|---|---|---|---|---|---|---|---|
| Application Note | * The dilutions indicate recommended starting dilutions and the optimal dilutions or concentrations should be determined by the scientist. | ||||||||
| Observed Size | 55 kDa |
Properties
| Form | Liquid |
|---|---|
| Purification | Affinity chromatography purified |
| Buffer | 0.2% Na2HPO4, 0.9% NaCl and 4% Trehalose. |
| Stabilizer | 4% Trehalose |
| Concentration | 0.5 mg/ml |
| Storage Instruction | For continuous use, store undiluted antibody at 2-8°C for up to a week. For long-term storage, aliquot and store at -22°C or below. Storage in frost free freezers is not recommended. Avoid repeated freeze/thaw cycles. Suggest spin the vial prior to opening. The antibody solution should be gently mixed before use. |
| Note | For laboratory research only, not for drug, diagnostic or other use. |
Bioinformation
| Database Links | |
|---|---|
| Gene Symbol | PLIN5 |
| Gene Full Name | Perilipin 5 |
| Background | Predicted to enable identical protein binding activity and lipase binding activity. Predicted to be involved in several processes, including negative regulation of peroxisome proliferator activated receptor signaling pathway; positive regulation of triglyceride storage; and regulation of lipid metabolic process. Located in intracellular membrane-bounded organelle and lipid droplet. [provided by Alliance of Genome Resources, May 2025] |
| Function | Lipid droplet-associated protein that maintains the balance between lipogenesis and lipolysis and also regulates fatty acid oxidation in oxidative tissues. Recruits mitochondria to the surface of lipid droplets and is involved in lipid droplet homeostasis by regulating both the storage of fatty acids in the form of triglycerides and the release of fatty acids for mitochondrial fatty acid oxidation. In lipid droplet triacylglycerol hydrolysis, plays a role as a scaffolding protein for three major key lipolytic players: ABHD5, PNPLA2 and LIPE. Reduces the triacylglycerol hydrolase activity of PNPLA2 by recruiting and sequestering PNPLA2 to lipid droplets. Phosphorylation by PKA enables lipolysis probably by promoting release of ABHD5 from the perilipin scaffold and by facilitating interaction of ABHD5 with PNPLA2. Also increases lipolysis through interaction with LIPE and upon PKA-mediated phosphorylation of LIPE (By similarity). [UniProt] |
| Cellular Localization | Cytoplasm; Lipid droplet; Mitochondrion. [UniProt] |
| Calculated MW | 51 kDa |
| PTM | Phosphoprotein. [UniProt]. [UniProt] |
Images (7) Click the Picture to Zoom In
-
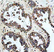
ARG45948 anti-LSDP5 antibody IHC-P image
Immunohistochemistry: Human ovarian cancer stained with ARG45948 anti-LSDP5 antibody at 2 μg/ml dilution.
-
ARG45948 anti-LSDP5 antibody WB image
Western blot: MCF-7 stained with ARG45948 anti-LSDP5 antibody at 0.5 μg/ml dilution.
-
ARG45948 anti-LSDP5 antibody FACS image
Flow Cytometry: HepG2 stained with ARG45948 anti-LSDP5 antibody at 1 µg/10^6 cells dilution.
-
ARG45948 anti-LSDP5 antibody IHC-P image
Immunohistochemistry: Rat heart stained with ARG45948 anti-LSDP5 antibody at 2 μg/ml dilution.
-
ARG45948 anti-LSDP5 antibody WB image
Western blot: Rat liver stained with ARG45948 anti-LSDP5 antibody at 0.5 μg/ml dilution.
-
ARG45948 anti-LSDP5 antibody IHC-P image
Immunohistochemistry: Mouse heart stained with ARG45948 anti-LSDP5 antibody at 2 μg/ml dilution.
-
ARG45948 anti-LSDP5 antibody WB image
Western blot: Mouse liver stained with ARG45948 anti-LSDP5 antibody at 0.5 μg/ml dilution.
