ARG66460
anti-LUC7L2 antibody
anti-LUC7L2 antibody for IHC-Formalin-fixed paraffin-embedded sections,Western blot and Human
Overview
| Product Description | Rabbit Polyclonal antibody recognizes LUC7L2 |
|---|---|
| Tested Reactivity | Hu |
| Predict Reactivity | Ms |
| Tested Application | IHC-P, WB |
| Host | Rabbit |
| Clonality | Polyclonal |
| Isotype | IgG |
| Target Name | LUC7L2 |
| Antigen Species | Human |
| Immunogen | KLH-conjugated synthetic peptide within the center region of Human LUC7L2. |
| Conjugation | Un-conjugated |
| Alternate Names | LUC7B2; CGI-74; CGI-59; Putative RNA-binding protein Luc7-like 2 |
Application Instructions
| Application Suggestion |
|
||||||
|---|---|---|---|---|---|---|---|
| Application Note | IHC-P: Antigen Retrieval: Heat mediation was performed in Sodium citrate buffer (pH 6.0). * The dilutions indicate recommended starting dilutions and the optimal dilutions or concentrations should be determined by the scientist. |
Properties
| Form | Liquid |
|---|---|
| Purification | Affinity purified. |
| Buffer | PBS (pH 7.3), 0.02% Sodium azide and 0.2% BSA. |
| Preservative | 0.02% Sodium azide |
| Stabilizer | 0.2% BSA |
| Storage Instruction | For continuous use, store undiluted antibody at 2-8°C for up to a week. For long-term storage, aliquot and store at -20°C or below. Storage in frost free freezers is not recommended. Avoid repeated freeze/thaw cycles. Suggest spin the vial prior to opening. The antibody solution should be gently mixed before use. |
| Note | For laboratory research only, not for drug, diagnostic or other use. |
Bioinformation
| Database Links |
Swiss-port # Q9Y383 Human Putative RNA-binding protein Luc7-like 2 |
|---|---|
| Gene Symbol | LUC7L2 |
| Gene Full Name | LUC7-like 2 pre-mRNA splicing factor |
| Background | This gene encodes a protein that contains a C2H2-type zinc finger, coiled-coil region and arginine, serine-rich (RS) domain. A similar protein in mouse interacts with sodium channel modifier 1, and the encoded protein may be involved in the recognition of non-consensus splice donor sites in association with the U1 snRNP spliceosomal subunit. Alternatively spliced transcript variants encoding multiple isoforms have been observed for this gene. [provided by RefSeq, Sep 2011] |
| Function | May bind to RNA via its Arg/Ser-rich domain. [UniProt] |
| Cellular Localization | Nucleus speckle. Nucleus, nucleoplasm. Note=Colocalizes with SCNM1 and SNRNP70 in nuclear speckles. [UniProt] |
| Calculated MW | 47 kDa |
Images (2) Click the Picture to Zoom In
-
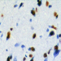
ARG66460 anti-LUC7L2 antibody IHC-P image
Immunohistochemistry: Formalin-fixed and paraffin-embedded Human brain. Antigen Retrieval: Heat mediation was performed in Sodium citrate buffer (pH 6.0). The section was then incubated with ARG66460 anti-LUC7L2 antibody at room temperature and detected using an HRP conjugated compact polymer system. DAB was used as the chromogen. The section was then counterstained with haematoxylin and mounted with DPX.
-
ARG66460 anti-LUC7L2 antibody WB image
Western blot: Jurkat and HEK293T whole cell lysates stained with ARG66460 anti-LUC7L2 antibody.
