ARG63674
anti-LXR beta / NR1H2 antibody
anti-LXR beta / NR1H2 antibody for Flow cytometry,ICC/IF,IHC-Formalin-fixed paraffin-embedded sections and Human
Cancer antibody; Cell Biology and Cellular Response antibody; Gene Regulation antibody; Metabolism antibody
Overview
| Product Description | Goat Polyclonal antibody recognizes LXR beta / NR1H2 |
|---|---|
| Tested Reactivity | Hu |
| Predict Reactivity | Ms, Rat, Dog |
| Tested Application | FACS, ICC/IF, IHC-P |
| Specificity | Based on the peptide used, this antibody is expected to be specific for LXR beta and not to cross-react with LXR alpha. |
| Host | Goat |
| Clonality | Polyclonal |
| Isotype | IgG |
| Target Name | LXR beta / NR1H2 |
| Antigen Species | Human |
| Immunogen | SSPTTSSLDTPLPGC |
| Conjugation | Un-conjugated |
| Alternate Names | Ubiquitously-expressed nuclear receptor; UNR; Liver X receptor beta; NER; RIP15; Oxysterols receptor LXR-beta; LXRB; Nuclear receptor subfamily 1 group H member 2; Nuclear receptor NER; LXR-b; NER-I |
Application Instructions
| Application Suggestion |
|
||||||||
|---|---|---|---|---|---|---|---|---|---|
| Application Note | IHC-P: Antigen Retrieval: Steam tissue section in Citrate buffer (pH 6.0). * The dilutions indicate recommended starting dilutions and the optimal dilutions or concentrations should be determined by the scientist. |
Properties
| Form | Liquid |
|---|---|
| Purification | Purified from goat serum by antigen affinity chromatography. |
| Buffer | Tris saline (pH 7.3), 0.02% Sodium azide and 0.5% BSA. |
| Preservative | 0.02% Sodium azide |
| Stabilizer | 0.5% BSA |
| Concentration | 0.5 mg/ml |
| Storage Instruction | For continuous use, store undiluted antibody at 2-8°C for up to a week. For long-term storage, aliquot and store at -20°C or below. Storage in frost free freezers is not recommended. Avoid repeated freeze/thaw cycles. Suggest spin the vial prior to opening. The antibody solution should be gently mixed before use. |
| Note | For laboratory research only, not for drug, diagnostic or other use. |
Bioinformation
| Database Links | |
|---|---|
| Background | The liver X receptors, LXRA (NR1H3; MIM 602423) and LXRB, form a subfamily of the nuclear receptor superfamily and are key regulators of macrophage function, controlling transcriptional programs involved in lipid homeostasis and inflammation. The inducible LXRA is highly expressed in liver, adrenal gland, intestine, adipose tissue, macrophages, lung, and kidney, whereas LXRB is ubiquitously expressed. Ligand-activated LXRs form obligate heterodimers with retinoid X receptors (RXRs; see MIM 180245) and regulate expression of target genes containing LXR response elements (summary by Korf et al., 2009 [PubMed 19436111]).[supplied by OMIM, Jan 2010] |
| Research Area | Cancer antibody; Cell Biology and Cellular Response antibody; Gene Regulation antibody; Metabolism antibody |
| Calculated MW | 51 kDa |
Images (4) Click the Picture to Zoom In
-
ARG63674 anti-LXR beta / NR1H2 antibody ICC/IF image
Immunofluorescence: Paraformaldehyde fixed U2OS cells permeabilized with 0.15% Triton. Cells were stained with ARG63674 anti-LXR beta / NR1H2 antibody (green) at 10 µg/ml dilution for 1 hour. DAPI (blue) for nuclear staining. Phalloidin (red) for Actin filaments staining. Negative control: Unimmunized goat IgG (green) at 10 µg/ml dilution.
-
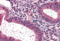
ARG63674 anti-LXR beta / NR1H2 antibody IHC-P image
Immunohistochemistry: Paraffin-embedded Human uterus tissue. Antigen Retrieval: Steam tissue section in Citrate buffer (pH 6.0). The tissue section was stained with ARG63674 anti-LXR beta / NR1H2 antibody at 3 µg/ml dilution followed by AP-staining.
-
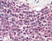
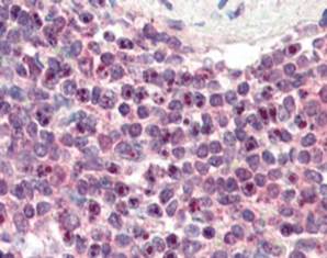
ARG63674 anti-LXR beta / NR1H2 antibody IHC-P image
Immunohistochemistry: paraffin embedded Human Spleen. (Steamed antigen retrieval with citrate buffer pH 6) stained with ARG63674 anti-LXR beta antibody at 3 µg/ml dilution followed by AP-staining.
-
ARG63674 anti-LXR beta / NR1H2 antibody FACS image
Flow Cytometry: Paraformaldehyde-fixed HeLa cells permeabilized with 0.5% Triton. Cells were stained with ARG63674 anti-LXR beta / NR1H2 antibody (blue line) at 10 µg/ml dilution for 1 hour, followed by incubation with Alexa FluorR 488 labelled secondary antibody. IgG control: Unimmunized goat IgG (black line).
