ARG41236
anti-LY86 / MD1 antibody
anti-LY86 / MD1 antibody for IHC-Formalin-fixed paraffin-embedded sections,Western blot and Human
Overview
| Product Description | Rabbit Polyclonal antibody recognizes LY86 / MD1 |
|---|---|
| Tested Reactivity | Hu |
| Tested Application | IHC-P, WB |
| Host | Rabbit |
| Clonality | Polyclonal |
| Isotype | IgG |
| Target Name | LY86 / MD1 |
| Antigen Species | Human |
| Immunogen | A 14 amino acid synthetic peptide within the last 50 amino acids of Human LY86 / MD1. |
| Conjugation | Un-conjugated |
| Alternate Names | dJ80N2.1; Ly-86; Lymphocyte antigen 86; Protein MD-1; MD-1; MD1; MMD-1 |
Application Instructions
| Application Suggestion |
|
||||||
|---|---|---|---|---|---|---|---|
| Application Note | * The dilutions indicate recommended starting dilutions and the optimal dilutions or concentrations should be determined by the scientist. | ||||||
| Positive Control | Daudi |
Properties
| Form | Liquid |
|---|---|
| Purification | Affinity purification with immunogen. |
| Buffer | PBS and 0.02% Sodium azide. |
| Preservative | 0.02% Sodium azide |
| Concentration | 1 mg/ml |
| Storage Instruction | For continuous use, store undiluted antibody at 2-8°C for up to a week. For long-term storage, aliquot and store at -20°C or below. Storage in frost free freezers is not recommended. Avoid repeated freeze/thaw cycles. Suggest spin the vial prior to opening. The antibody solution should be gently mixed before use. |
| Note | For laboratory research only, not for drug, diagnostic or other use. |
Bioinformation
| Database Links | |
|---|---|
| Gene Symbol | LY86 |
| Gene Full Name | lymphocyte antigen 86 |
| Function | May cooperate with CD180 and TLR4 to mediate the innate immune response to bacterial lipopolysaccharide (LPS) and cytokine production. Important for efficient CD180 cell surface expression (By similarity). [UniProt] |
| Cellular Localization | Secreted, extracellular space. Note=Associated with CD180 at the cell surface. [UniProt] |
| Calculated MW | 18 kDa |
Images (2) Click the Picture to Zoom In
-
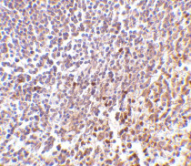
ARG41236 anti-LY86 / MD1 antibody IHC-P image
Immunohistochemistry: Paraffin-embedded Human spleen tissue stained with ARG41236 anti-LY86 / MD1 antibody at 2 µg/ml dilution.
-
ARG41236 anti-LY86 / MD1 antibody WB image
Western blot: Daudi cell lysate stained with ARG41236 anti-LY86 / MD1 antibody at 0.5, 1 and 2 µg/ml dilution.
