ARG46276
anti-LZTR1 antibody
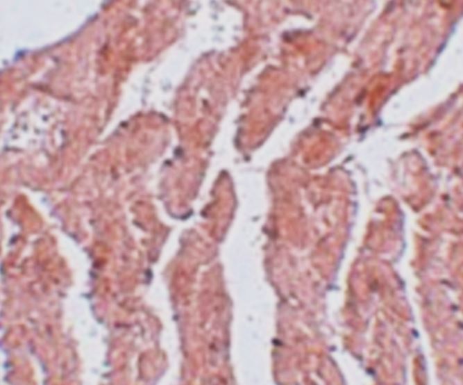
anti-LZTR1 antibody for Western blot,IHC-Formalin-fixed paraffin-embedded sections and Human,Mouse,Rat
Overview
| Product Description | Rabbit Polyclonal antibody recognizes LZTR1 |
|---|---|
| Tested Reactivity | Hu, Ms, Rat |
| Tested Application | IHC-P, WB |
| Host | Rabbit |
| Clonality | Polyclonal |
| Isotype | IgG |
| Target Name | LZTR1 |
| Antigen Species | Human |
| Immunogen | A 14 amino acid synthetic peptide within aa. 130 - 180 of human LZTR1. |
| Conjugation | Un-conjugated |
| Alternate Names | leucine-zipper-like transcription regulator 1; LZTR1; BTBD29; LZTR-1; SWNTS2; TCFL2; Leucine-zipper-like transcriptional regulator 1 |
Application Instructions
| Application Suggestion |
|
||||||
|---|---|---|---|---|---|---|---|
| Application Note | * The dilutions indicate recommended starting dilutions and the optimal dilutions or concentrations should be determined by the scientist. |
Properties
| Form | Liquid |
|---|---|
| Purification | Affinity chromatography purified |
| Buffer | PBS and 0.02% Sodium azide. |
| Preservative | 0.02% Sodium azide |
| Concentration | 1 mg/ml |
| Storage Instruction | For continuous use, store undiluted antibody at 2-8°C for up to a week. For long-term storage, aliquot and store at -326°C or below. Storage in frost free freezers is not recommended. Avoid repeated freeze/thaw cycles. Suggest spin the vial prior to opening. The antibody solution should be gently mixed before use. |
| Note | For laboratory research only, not for drug, diagnostic or other use. |
Bioinformation
| Database Links |
Swiss-port # Q8N653 Human Leucine-zipper-like transcriptional regulator 1 Swiss-port # Q9CQ33 Mouse Leucine-zipper-like transcriptional regulator 1 |
|---|---|
| Gene Symbol | LZTR1 |
| Gene Full Name | leucine-zipper-like transcription regulator 1 |
| Background | This gene encodes a member of the BTB-kelch superfamily. Initially described as a putative transcriptional regulator based on weak homology to members of the basic leucine zipper-like family, the encoded protein subsequently has been shown to localize exclusively to the Golgi network where it may help stabilize the Gogli complex. Deletion of this gene may be associated with DiGeorge syndrome. [provided by RefSeq, Jul 2008] |
| Function | Substrate-specific adapter of a BCR (BTB-CUL3-RBX1) E3 ubiquitin-protein ligase complex that mediates ubiquitination of Ras (K-Ras/KRAS, N-Ras/NRAS and H-Ras/HRAS). [UniProt] |
| Cellular Localization | Endosome; Golgi apparatus. [UniProt] |
| Calculated MW | 95 kDa |
| PTM | Phosphoprotein; Ubl conjugation; Acetylation. [UniProt] |
Images (2) Click the Picture to Zoom In
