ARG64831
anti-Laforin antibody
anti-Laforin antibody for IHC-Formalin-fixed paraffin-embedded sections,Western blot and Human
Metabolism antibody; Signaling Transduction antibody
Overview
| Product Description | Goat Polyclonal antibody recognizes Laforin |
|---|---|
| Tested Reactivity | Hu |
| Predict Reactivity | Ms, Rat, Cow, Dog |
| Tested Application | IHC-P, WB |
| Specificity | This antibody is expected to recognize isoform a (NP_005661.1) only. |
| Host | Goat |
| Clonality | Polyclonal |
| Isotype | IgG |
| Target Name | Laforin |
| Antigen Species | Human |
| Immunogen | C-EATGHTNEMKHTTD |
| Conjugation | Un-conjugated |
| Alternate Names | Laforin; EPM2; Glucan phosphatase; EC 3.1.3.16; EC 3.1.3.-; Lafora PTPase; LAFPTPase; EC 3.1.3.48; MELF |
Application Instructions
| Application Suggestion |
|
||||||
|---|---|---|---|---|---|---|---|
| Application Note | WB: Recommend incubate at RT for 1h. IHC-P: Antigen Retrieval: Steam tissue section in Citrate buffer (pH 6.0). * The dilutions indicate recommended starting dilutions and the optimal dilutions or concentrations should be determined by the scientist. |
Properties
| Form | Liquid |
|---|---|
| Purification | Purified from goat serum by antigen affinity chromatography. |
| Buffer | Tris saline (pH 7.3), 0.02% Sodium azide and 0.5% BSA. |
| Preservative | 0.02% Sodium azide |
| Stabilizer | 0.5% BSA |
| Concentration | 0.5 mg/ml |
| Storage Instruction | For continuous use, store undiluted antibody at 2-8°C for up to a week. For long-term storage, aliquot and store at -20°C or below. Storage in frost free freezers is not recommended. Avoid repeated freeze/thaw cycles. Suggest spin the vial prior to opening. The antibody solution should be gently mixed before use. |
| Note | For laboratory research only, not for drug, diagnostic or other use. |
Bioinformation
| Database Links | |
|---|---|
| Background | This gene encodes a dual-specificity phosphatase that associates with polyribosomes. The encoded protein may be involved in the regulation of glycogen metabolism. Mutations in this gene have been associated with myoclonic epilepsy of Lafora. Alternative splicing results in multiple transcript variants. [provided by RefSeq, Jul 2008] |
| Research Area | Metabolism antibody; Signaling Transduction antibody |
| Calculated MW | 37 kDa |
| PTM | Polyubiquitinated by NHLRC1/malin. Phosphorylation on Ser-25 by AMPK affects the phosphatase activity of the enzyme and its ability to homodimerize and interact with NHLRC1, PPP1R3C or PRKAA2. |
Images (3) Click the Picture to Zoom In
-
ARG64831 anti-Laforin antibody WB image
Western Blot: Human Cerebellum lysate (35 µg protein in RIPA buffer) stained with ARG64831 anti-Laforin (isoform a) antibody at 0.1 µg/ml dilution.
-
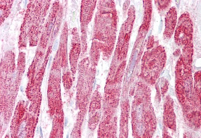
ARG64831 anti-Laforin antibody IHC-P image
Immunohistochemistry: Paraffin-embedded Human heart tissue. Antigen Retrieval: Steam tissue section in Citrate buffer (pH 6.0). The tissue section was stained with ARG64831 anti-Laforin antibody at 2.5 µg/ml dilution followed by AP-staining.
-
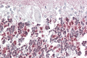
ARG64831 anti-Laforin antibody IHC-P image
Immunohistochemistry: paraffin embedded Human Cerebellum. (Steamed antigen retrieval with citrate buffer pH 6) stained with ARG64831 anti-Laforin (isoform a) antibody at 3.8 µg/ml dilution followed by AP-staining.
