ARG56966
anti-Laforin antibody [k2A3]
anti-Laforin antibody [k2A3] for ICC/IF,Western blot and Human
Overview
| Product Description | Mouse Monoclonal antibody [k2A3] recognizes Laforin |
|---|---|
| Tested Reactivity | Hu |
| Tested Application | ICC/IF, WB |
| Host | Mouse |
| Clonality | Monoclonal |
| Clone | k2A3 |
| Isotype | IgG1, kappa |
| Target Name | Laforin |
| Antigen Species | Human |
| Immunogen | Recombinant fragment around aa. 243-331 of Human Laforin. |
| Conjugation | Un-conjugated |
| Alternate Names | Laforin; EPM2; Glucan phosphatase; EC 3.1.3.16; EC 3.1.3.-; Lafora PTPase; LAFPTPase; EC 3.1.3.48; MELF |
Application Instructions
| Application Suggestion |
|
||||||
|---|---|---|---|---|---|---|---|
| Application Note | * The dilutions indicate recommended starting dilutions and the optimal dilutions or concentrations should be determined by the scientist. |
Properties
| Form | Liquid |
|---|---|
| Purification | Purification with Protein G. |
| Buffer | PBS (pH 7.4), 0.02% Sodium azide and 10% Glycerol. |
| Preservative | 0.02% Sodium azide |
| Stabilizer | 10% Glycerol |
| Concentration | 1 mg/ml |
| Storage Instruction | For continuous use, store undiluted antibody at 2-8°C for up to a week. For long-term storage, aliquot and store at -20°C. Storage in frost free freezers is not recommended. Avoid repeated freeze/thaw cycles. Suggest spin the vial prior to opening. The antibody solution should be gently mixed before use. |
| Note | For laboratory research only, not for drug, diagnostic or other use. |
Bioinformation
| Database Links | |
|---|---|
| Gene Symbol | EPM2A |
| Gene Full Name | epilepsy, progressive myoclonus type 2A, Lafora disease (laforin) |
| Background | This gene encodes a dual-specificity phosphatase that associates with polyribosomes. The encoded protein may be involved in the regulation of glycogen metabolism. Mutations in this gene have been associated with myoclonic epilepsy of Lafora. Alternative splicing results in multiple transcript variants. [provided by RefSeq, Jul 2008] |
| Function | Has both dual-specificity protein phosphatase and glucan phosphatase activities. Together with the E3 ubiquitin ligase NHLRC1/malin, appears to be involved in the clearance of toxic polyglucosan and protein aggregates via multiple pathways. Dephosphorylates phosphotyrosine, phosphoserine and phosphothreonine substrates in vitro. Has also been shown to dephosphorylate MAPT. Shows strong phosphatase activity towards complex carbohydrates in vitro, avoiding glycogen hyperphosphorylation which is associated with reduced branching and formation of insoluble aggregates. Forms a complex with NHLRC1/malin and HSP70, which suppresses the cellular toxicity of misfolded proteins by promoting their degradation through the ubiquitin-proteasome system (UPS). Acts as a scaffold protein to facilitate PPP1R3C/PTG ubiquitination by NHLRC1/malin. Also promotes proteasome-independent protein degradation through the macroautophagy pathway. Isoform 2, an inactive phosphatase, could function as a dominant-negative regulator for the phosphatase activity of isoform 1. [UniProt] |
| Calculated MW | 37 kDa |
| PTM | Polyubiquitinated by NHLRC1/malin. Phosphorylation on Ser-25 by AMPK affects the phosphatase activity of the enzyme and its ability to homodimerize and interact with NHLRC1, PPP1R3C or PRKAA2. |
Images (2) Click the Picture to Zoom In
-
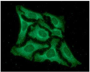
ARG56966 anti-Laforin antibody [k2A3] ICC/IF image
Immunoflorescense: HeLa cell line stained with ARG56966 anti-Laforin antibody [k2A3] at 1:100 (Green).
DAPI (Blue) for nucleus staining.
-
ARG56966 anti-Laforin antibody [k2A3] WB image
Western blot: 20 µg of HeLa and 293T stained with ARG56966 anti-Laforin antibody [k2A3] at 1:1000.
