ARG46260
anti-Lipin 1 antibody
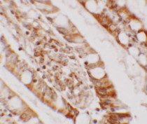
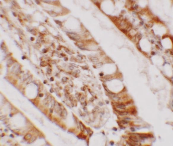
anti-Lipin 1 antibody for Western blot,IHC-Formalin-fixed paraffin-embedded sections and Human,Mouse,Rat
Overview
| Product Description | Rabbit Polyclonal antibody recognizes Lipin 1 |
|---|---|
| Tested Reactivity | Hu, Ms, Rat |
| Tested Application | IHC-P, WB |
| Host | Rabbit |
| Clonality | Polyclonal |
| Isotype | IgG |
| Target Name | Lipin 1 |
| Antigen Species | Human |
| Immunogen | A 18 amino acid synthetic peptide within the last 50 amino acids of human Lipin 1. |
| Conjugation | Un-conjugated |
| Alternate Names | LPIN1; LPIN1; lipin 1 ; DKFZp781P1796; KIAA0188 |
Application Instructions
| Application Suggestion |
|
||||||
|---|---|---|---|---|---|---|---|
| Application Note | * The dilutions indicate recommended starting dilutions and the optimal dilutions or concentrations should be determined by the scientist. | ||||||
| Observed Size | 125 kDa |
Properties
| Purification | Affinity chromatography purified |
|---|---|
| Buffer | PBS and 0.02% Sodium azide. |
| Preservative | 0.02% Sodium azide |
| Concentration | 1 mg/ml |
| Storage Instruction | For continuous use, store undiluted antibody at 2-8°C for up to a week. For long-term storage, aliquot and store at -20°C. Storage in frost free freezers is not recommended. Avoid repeated freeze/thaw cycles. Suggest spin the vial prior to opening. The antibody solution should be gently mixed before use. |
| Note | For laboratory research only, not for drug, diagnostic or other use. |
Bioinformation
| Database Links | |
|---|---|
| Gene Symbol | LPIN1 |
| Gene Full Name | lipin 1 |
| Background | This gene encodes a magnesium-ion-dependent phosphatidic acid phosphohydrolase enzyme that catalyzes the penultimate step in triglyceride synthesis including the dephosphorylation of phosphatidic acid to yield diacylglycerol. Expression of this gene is required for adipocyte differentiation and it also functions as a nuclear transcriptional coactivator with some peroxisome proliferator-activated receptors to modulate expression of other genes involved in lipid metabolism. Mutations in this gene are associated with metabolic syndrome, type 2 diabetes, and autosomal recessive acute recurrent myoglobinuria (ARARM). This gene is also a candidate for several human lipodystrophy syndromes. Alternative splicing results in multiple transcript variants encoding distinct isoforms. Additional splice variants have been described but their full-length structures have not been determined. [provided by RefSeq, May 2012] |
| Calculated MW | 107 kDa |
Images (2) Click the Picture to Zoom In
