ARG65741
anti-Lipocalin 1 antibody
anti-Lipocalin 1 antibody for IHC-Formalin-fixed paraffin-embedded sections,Western blot and Human
Overview
| Product Description | Rabbit Polyclonal antibody recognizes Lipocalin 1 |
|---|---|
| Tested Reactivity | Hu |
| Tested Application | IHC-P, WB |
| Host | Rabbit |
| Clonality | Polyclonal |
| Isotype | IgG |
| Target Name | Lipocalin 1 |
| Antigen Species | Human |
| Immunogen | Synthetic peptide around the internal region of Human Lipocalin-1 |
| Conjugation | Un-conjugated |
| Alternate Names | Tlc; VEGP; Tear lipocalin; TP; TLC; Lipocalin-1; PMFA; VEG protein; Von Ebner gland protein; Tear prealbumin |
Application Instructions
| Application Suggestion |
|
||||||
|---|---|---|---|---|---|---|---|
| Application Note | * The dilutions indicate recommended starting dilutions and the optimal dilutions or concentrations should be determined by the scientist. |
Properties
| Form | Liquid |
|---|---|
| Purification | Affinity purification with immunogen. |
| Buffer | PBS, 0.02% Sodium azide, 50% Glycerol and 0.5% BSA. |
| Preservative | 0.02% Sodium azide |
| Stabilizer | 50% Glycerol and 0.5% BSA |
| Concentration | 1 mg/ml |
| Storage Instruction | For continuous use, store undiluted antibody at 2-8°C for up to a week. For long-term storage, aliquot and store at -20°C. Storage in frost free freezers is not recommended. Avoid repeated freeze/thaw cycles. Suggest spin the vial prior to opening. The antibody solution should be gently mixed before use. |
| Note | For laboratory research only, not for drug, diagnostic or other use. |
Bioinformation
| Database Links | |
|---|---|
| Gene Symbol | LCN1 |
| Gene Full Name | lipocalin 1 |
| Background | This gene encodes a member of the lipocalin family of small secretory proteins. Lipocalins are extracellular transport proteins that bind to a variety of hydrophobic ligands. The encoded protein is the primary lipid binding protein in tears and is overproduced in response to multiple stimuli including infection and stress. The encoded protein may be a marker for chromosome aneuploidy as well as an autoantigen in Sjogren's syndrome. Alternatively spliced transcript variants encoding multiple isoforms have been observed for this gene, and two pseudogenes of this gene are also located on the long arm of chromosome 9. [provided by RefSeq, Nov 2011] |
| Function | Could play a role in taste reception. Could be necessary for the concentration and delivery of sapid molecules in the gustatory system. Can bind various ligands, with chemical structures ranging from lipids and retinoids to the macrocyclic antibiotic rifampicin and even to microbial siderophores. Exhibits an extremely wide ligand pocket. [UniProt] |
| Calculated MW | 19 kDa |
Images (6) Click the Picture to Zoom In
-
ARG65741 anti-Lipocalin 1 antibody WB image
Western blot: K562 cell lysate stained with ARG65741 anti-Lipocalin 1 antibody.
-
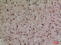
ARG65741 anti-Lipocalin 1 antibody IHC-P image
Immunohistochemistry: Paraffin-embedded Human brain stained with ARG65741 anti-Lipocalin 1 antibody.
-
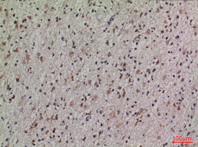
ARG65741 anti-Lipocalin 1 antibody IHC-P image
Immunohistochemistry: Paraffin-embedded Human brain stained with ARG65741 anti-Lipocalin 1 antibody.
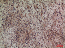
-
ARG65741 anti-Lipocalin 1 antibody IHC-P image
Immunohistochemistry: Paraffin-embedded Human brain stained with ARG65741 anti-Lipocalin 1 antibody.
-
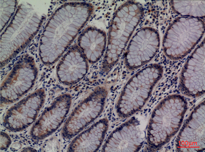
ARG65741 anti-Lipocalin 1 antibody IHC-P image
Immunohistochemistry: Paraffin-embedded Human colon cancer stained with ARG65741 anti-Lipocalin 1 antibody.
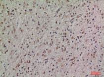
-
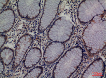
ARG65741 anti-Lipocalin 1 antibody IHC-P image
Immunohistochemistry: Paraffin-embedded Human colon cancer stained with ARG65741 anti-Lipocalin 1 antibody.
