ARG44133
anti-MAD2L2 / REV7 antibody
anti-MAD2L2 / REV7 antibody for Flow cytometry,ICC/IF,IHC-Formalin-fixed paraffin-embedded sections,Western blot and Human
Disease variant, Fanconi anemia
Overview
| Product Description | Rabbit Polyclonal recognizes MAD2L2 / REV7 |
|---|---|
| Tested Reactivity | Hu |
| Tested Application | FACS, ICC/IF, IHC-P, WB |
| Host | Rabbit |
| Clonality | Polyclonal |
| Isotype | IgG |
| Target Name | MAD2L2 / REV7 |
| Antigen Species | Human |
| Immunogen | Human MAD2L2 / REV7 recombinant protein (Position: M1-K209). |
| Conjugation | Un-conjugated |
| Alternate Names | MAD2L2; Mitotic Arrest Deficient 2 Like 2; MAD2B; REV7; POLZ2; FANCV; MAD2 (Mitotic Arrest Deficient, Yeast, Homolog)-Like 2; Polymerase (DNA-Directed), Zeta 2, Accessory Subunit; Mitotic Spindle Assembly Checkpoint Protein MAD2B; Mitotic Arrest Deficient 2-Like Protein 2; Mitotic Arrest Deficient Homolog-Like 2; MAD2-Like Protein 2; REV7 Homolog; HREV7; MAD2 Mitotic Arrest Deficient-Like 2 |
Application Instructions
| Application Suggestion |
|
||||||||||
|---|---|---|---|---|---|---|---|---|---|---|---|
| Application Note | The dilutions indicate recommended starting dilutions and the optimal dilutions or concentrations should be determined by the scientist. |
Properties
| Form | Liquid |
|---|---|
| Purification | Affinity purification with immunogen. |
| Buffer | 0.9% NaCl, 0.2% Na2HPO4, 0.05% Sodium azide and 4% Trehalose. |
| Preservative | 0.05% Sodium azide |
| Stabilizer | 4% Trehalose |
| Concentration | 0.5 mg/ml |
| Storage Instruction | For continuous use, store undiluted antibody at 2-8°C for up to a week. For long-term storage, aliquot and store at -20°C or below. Storage in frost free freezers is not recommended. Avoid repeated freeze/thaw cycles. Suggest spin the vial prior to opening. The antibody solution should be gently mixed before use. |
| Note | For laboratory research only, not for drug, diagnostic or other use. |
Bioinformation
| Database Links |
Swiss-port # Q9UI95 Human Mitotic spindle assembly checkpoint protein MAD2B |
|---|---|
| Gene Symbol | MAD2L2 |
| Gene Full Name | Mitotic Arrest Deficient 2 Like 2 |
| Background | The protein encoded by this gene is a component of the mitotic spindle assembly checkpoint that prevents the onset of anaphase until all chromosomes are properly aligned at the metaphase plate. The encoded protein, which is similar to MAD2L1, is capable of interacting with ADAM9, ADAM15, REV1, and REV3 proteins. |
| Function | Adapter protein able to interact with different proteins and involved in different biological processes. |
| Research Area | Disease variant, Fanconi anemia |
| Calculated MW | 24 kDa |
| PTM | Chromosome, Cytoplasm, Cytoskeleton, Nucleus |
Images (4) Click the Picture to Zoom In
-
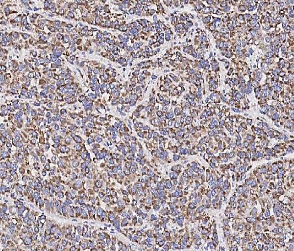
ARG44133 anti-MAD2L2 / REV7 antibody IHC-P image
Immunohistochemistry: Human liver cancer stained with ARG44133 anti-MAD2L2 / REV7 antibody at 2 μg/ml dilution.
-
ARG44133 anti-MAD2L2 / REV7 antibody ICC/IF image
Immunofluorescence: U2OS stained with ARG44133 anti-MAD2L2 / REV7 antibody at 5 μg/ml dilution.
-
ARG44133 anti-MAD2L2 / REV7 antibody WB image
Western blot: A375, 293T, HeLa and K562 stained with ARG44133 anti-MAD2L2 / REV7 antibody at 0.5 μg/ml dilution.
-
ARG44133 anti-MAD2L2 / REV7 antibody FACS image
Flow Cytometry: HeLa stained with ARG44133 anti-MAD2L2 / REV7 antibody at 1 µg/10^6 cells dilution.
