ARG44178
anti-MAGED4 antibody
anti-MAGED4 antibody for Flow cytometry,ICC/IF,IHC-Formalin-fixed paraffin-embedded sections,Western blot and Human
Overview
| Product Description | Rabbit Polyclonal antibody recognizes MAGED4 |
|---|---|
| Tested Reactivity | Hu |
| Tested Application | FACS, ICC/IF, IHC-P, WB |
| Host | Rabbit |
| Clonality | Polyclonal |
| Isotype | IgG |
| Target Name | MAGED4 |
| Antigen Species | Human |
| Immunogen | Recombinant protein of Human MAGED4 |
| Conjugation | Un-conjugated |
| Protein Full Name | Melanoma-associated antigen D4 |
| Alternate Names | MAGED4; MAGE Family Member D4; KIAA1859; MAGE-E1; MAGE1; Melanoma-Associated Antigen D4; Melanoma Antigen Family D4; MAGE-D4 Antigen; MAGE-E1 Antigen; MGC3210 MAGEE1; Melanoma Antigen Family D, 4; MAGE-D4; MAGED4A |
Application Instructions
| Application Suggestion |
|
||||||||||
|---|---|---|---|---|---|---|---|---|---|---|---|
| Application Note | * The dilutions indicate recommended starting dilutions and the optimal dilutions or concentrations should be determined by the scientist. |
Properties
| Form | Liquid |
|---|---|
| Purification | Affinity purification with immunogen. |
| Buffer | 0.9% NaCl, 0.2% Na2HPO4, 0.05% Sodium azide and 5% BSA. |
| Preservative | 0.05% Sodium azide |
| Stabilizer | 5% BSA |
| Concentration | 0.5 mg/ml |
| Storage Instruction | For continuous use, store undiluted antibody at 2-8°C for up to a week. For long-term storage, aliquot and store at -20°C or below. Storage in frost free freezers is not recommended. Avoid repeated freeze/thaw cycles. Suggest spin the vial prior to opening. The antibody solution should be gently mixed before use. |
| Note | For laboratory research only, not for drug, diagnostic or other use. |
Bioinformation
| Gene Symbol | MAGED4 |
|---|---|
| Gene Full Name | Mage Family Member D4 |
| Background | Predicted to be involved in negative regulation of transcription by RNA polymerase II. Predicted to be active in nucleus. |
| Function | May enhance ubiquitin ligase activity of RING-type zinc finger-containing E3 ubiquitin-protein ligases. Proposed to act through recruitment and/or stabilization of the Ubl-conjugating enzyme (E2) at the E3:substrate complex. |
| Cellular Localization | Nucleus |
| Calculated MW | 81 kDa |
Images (4) Click the Picture to Zoom In
-
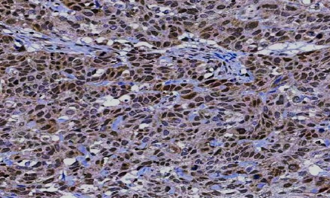
ARG44178 anti-MAGED4 antibody IHC-P image
Immunohistochemistry: Human adrenocortical adenoma stained with ARG44178 anti-MAGED4 antibody at 2 μg/mL dilution.
-
ARG44178 anti-MAGED4 antibody ICC/IF image
Immunofluorescence: A549 stained with ARG44178 anti-MAGED4 antibody at 5 μg/mL dilution.
-
ARG44178 anti-MAGED4 antibody WB image
Western blot: HepG2 and U2OS stained with ARG44178 anti-MAGED4 antibody at 0.5 μg/mL dilution.
-
ARG44178 anti-MAGED4 antibody FACS image
Flow Cytometry: HepG2 stained with ARG44178 anti-MAGED4 antibody at 1 μg/1x10^6 cells dilution.
