ARG45905
anti-MAP4K4 / NIK antibody
anti-MAP4K4 / NIK antibody for Western blot,IHC-Formalin-fixed paraffin-embedded sections,Flow cytometry and Human,Mouse,Rat
Overview
| Product Description | Rabbit Polyclonal antibody recognizes MAP4K4 / NIK |
|---|---|
| Tested Reactivity | Hu, Ms, Rat |
| Tested Application | FACS, IHC-P, WB |
| Host | Rabbit |
| Clonality | Polyclonal |
| Isotype | IgG |
| Target Name | MAP4K4 / NIK |
| Antigen Species | Human |
| Immunogen | Synthetic peptide corresponding to middle region of human MAP4K4 / NIK. |
| Conjugation | Un-conjugated |
| Alternate Names | MAP4K4; HGK; KIAA0687; NIK; Mitogen-activated protein kinase kinase kinase kinase 4; EC 2.7.11.1; HPK/GCK-like kinase HGK; MAPK/ERK kinase kinase kinase 4; MEK kinase kinase 4; MEKKK 4; Nck-interacting kinase |
Application Instructions
| Application Suggestion |
|
||||||||
|---|---|---|---|---|---|---|---|---|---|
| Application Note | * The dilutions indicate recommended starting dilutions and the optimal dilutions or concentrations should be determined by the scientist. | ||||||||
| Observed Size | 160 kDa |
Properties
| Form | Liquid |
|---|---|
| Purification | Affinity chromatography purified |
| Buffer | 0.2% Na2HPO4, 0.9% NaCl and 4% Trehalose. |
| Stabilizer | 4% Trehalose |
| Concentration | 0.5 mg/ml |
| Storage Instruction | For continuous use, store undiluted antibody at 2-8°C for up to a week. For long-term storage, aliquot and store at -22°C or below. Storage in frost free freezers is not recommended. Avoid repeated freeze/thaw cycles. Suggest spin the vial prior to opening. The antibody solution should be gently mixed before use. |
| Note | For laboratory research only, not for drug, diagnostic or other use. |
Bioinformation
| Database Links |
Swiss-port # O95819 Human Mitogen-activated protein kinase kinase kinase kinase 4 Swiss-port # P97820 Mouse Mitogen-activated protein kinase kinase kinase kinase 4 |
|---|---|
| Gene Symbol | MAP4K4 |
| Gene Full Name | Mitogen-Activated Protein Kinase Kinase Kinase Kinase 4 |
| Background | The protein encoded by this gene is a member of the serine/threonine protein kinase family. This kinase has been shown to specifically activate MAPK8/JNK. The activation of MAPK8 by this kinase is found to be inhibited by the dominant-negative mutants of MAP3K7/TAK1, MAP2K4/MKK4, and MAP2K7/MKK7, which suggests that this kinase may function through the MAP3K7-MAP2K4-MAP2K7 kinase cascade, and mediate the TNF-alpha signaling pathway. Alternatively spliced transcript variants encoding different isoforms have been identified. [provided by RefSeq, Jul 2008] |
| Function | Serine/threonine kinase that plays a role in the response to environmental stress and cytokines such as TNF-alpha. Appears to act upstream of the JUN N-terminal pathway. [UniProt] |
| Cellular Localization | Cytoplasm. [UniProt] |
| Calculated MW | 142 kDa |
| PTM | Acetylation; Phosphoprotein. [UniProt] |
Images (5) Click the Picture to Zoom In
-
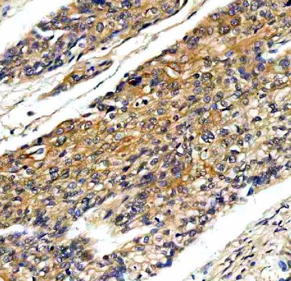
ARG45905 anti-MAP4K4 / NIK antibody IHC-P image
Immunohistochemistry: Human cervical cancer stained with ARG45905 anti-MAP4K4 / NIK antibody at 2 μg/ml dilution.
-
ARG45905 anti-MAP4K4 / NIK antibody WB image
Western blot: Jurkat stained with ARG45905 anti-MAP4K4 / NIK antibody at 0.5 μg/ml dilution.
-
ARG45905 anti-MAP4K4 / NIK antibody FACS image
Flow Cytometry: Jurkat stained with ARG45905 anti-MAP4K4 / NIK antibody at 1 µg/10^6 cells dilution.
-
ARG45905 anti-MAP4K4 / NIK antibody WB image
Western blot: C6 stained with ARG45905 anti-MAP4K4 / NIK antibody at 0.5 μg/ml dilution.
-
ARG45905 anti-MAP4K4 / NIK antibody WB image
Western blot: NIH/3T3 stained with ARG45905 anti-MAP4K4 / NIK antibody at 0.5 μg/ml dilution.
