ARG44705
anti-MART1 / Melan A antibody
anti-MART1 / Melan A antibody for IHC-Formalin-fixed paraffin-embedded sections,Immunoprecipitation,Western blot and Human
Overview
| Product Description | Mouse Monoclonal antibody recognizes MART1 / Melan A |
|---|---|
| Tested Reactivity | Hu |
| Tested Application | IHC-P, IP, WB |
| Host | Mouse |
| Clonality | Monoclonal |
| Isotype | IgG1 |
| Target Name | MART1 / Melan A |
| Antigen Species | Human |
| Conjugation | Un-conjugated |
| Alternate Names | MART-1; MART1; Protein Melan-A; Antigen SK29-AA; Antigen LB39-AA; Melanoma antigen recognized by T-cells 1 |
Application Instructions
| Application Suggestion |
|
||||||||
|---|---|---|---|---|---|---|---|---|---|
| Application Note | * The dilutions indicate recommended starting dilutions and the optimal dilutions or concentrations should be determined by the scientist. |
Properties
| Form | Liquid |
|---|---|
| Purification | Protein A purification |
| Buffer | PBS with 0.09% sodium azide |
| Storage Instruction | For continuous use, store undiluted antibody at 2-8°C for up to a week. For long-term storage, aliquot and store at -20°C or below. Storage in frost free freezers is not recommended. Avoid repeated freeze/thaw cycles. Suggest spin the vial prior to opening. The antibody solution should be gently mixed before use. |
| Note | For laboratory research only, not for drug, diagnostic or other use. |
Bioinformation
| Database Links |
Swiss-port # Q16655 Human Melanoma antigen recognized by T-cells 1 |
|---|---|
| Gene Symbol | MLANA |
| Gene Full Name | melan-A |
| Function | Involved in melanosome biogenesis by ensuring the stability of GPR143. Plays a vital role in the expression, stability, trafficking, and processing of melanocyte protein PMEL, which is critical to the formation of stage II melanosomes. [UniProt] |
| PTM | N-glycosylation enhances cell surface expression and lengthens receptor half-life by preventing degradation in the ER. |
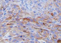
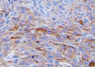
Images (3) Click the Picture to Zoom In
-
ARG44705 anti-MART1 / Melan A antibody IHC-P image
Immunohistochemistry: Human malignant melanoma stained with ARG44705 anti-MART1 / Melan A antibody at 5 µg/mL dilution.
-
ARG44705 anti-MART1 / Melan A antibody WB image
Western blot: SK-MEL-28 stained with ARG44705 anti-MART1 / Melan A antibody at 1 µg/mL dilution.
-
ARG44705 anti-MART1 / Melan A antibody IP image
Immunoprecipitation: SK-MEL-28 lysate immunoprecipitated with 2.5 µg of ARG44705 anti-MART1 / Melan A antibody.
