ARG55687
anti-MDH1 antibody
anti-MDH1 antibody for Flow cytometry,IHC-Formalin-fixed paraffin-embedded sections,Western blot and Human
Overview
| Product Description | Rabbit Polyclonal antibody recognizes MDH1 |
|---|---|
| Tested Reactivity | Hu |
| Predict Reactivity | Ms, Rat, Bov, Chk, Pig |
| Tested Application | FACS, IHC-P, WB |
| Host | Rabbit |
| Clonality | Polyclonal |
| Isotype | IgG |
| Target Name | MDH1 |
| Antigen Species | Human |
| Immunogen | KLH-conjugated synthetic peptide corresponding to aa. 286-314 (C-terminus) of Human MDH1. |
| Conjugation | Un-conjugated |
| Alternate Names | Diiodophenylpyruvate reductase; MDHA; MOR2; HEL-S-32; Cytosolic malate dehydrogenase; EC 1.1.1.37; Malate dehydrogenase, cytoplasmic; EC 1.1.1.96; MDH-s; MGC:1375 |
Application Instructions
| Application Suggestion |
|
||||||||
|---|---|---|---|---|---|---|---|---|---|
| Application Note | * The dilutions indicate recommended starting dilutions and the optimal dilutions or concentrations should be determined by the scientist. | ||||||||
| Positive Control | HL-60 |
Properties
| Form | Liquid |
|---|---|
| Purification | This antibody is prepared by Saturated Ammonium Sulfate (SAS) precipitation followed by dialysis against PBS. |
| Buffer | PBS and 0.09% (W/V) Sodium azide. |
| Preservative | 0.09% (W/V) Sodium azide. |
| Storage Instruction | For continuous use, store undiluted antibody at 2-8°C for up to a week. For long-term storage, aliquot and store at -20°C or below. Storage in frost free freezers is not recommended. Avoid repeated freeze/thaw cycles. Suggest spin the vial prior to opening. The antibody solution should be gently mixed before use. |
| Note | For laboratory research only, not for drug, diagnostic or other use. |
Bioinformation
| Database Links | |
|---|---|
| Gene Symbol | MDH1 |
| Gene Full Name | malate dehydrogenase 1, NAD (soluble) |
| Background | Malate dehydrogenase catalyzes the reversible oxidation of malate to oxaloacetate, utilizing the NAD/NADH cofactor system in the citric acid cycle. The protein encoded by this gene is localized to the cytoplasm and may play pivotal roles in the malate-aspartate shuttle that operates in the metabolic coordination between cytosol and mitochondria. Alternatively spliced transcript variants encoding distinct isoforms have been found for this gene.[provided by RefSeq, Nov 2010] |
| Cellular Localization | Cytoplasm. |
| Highlight | Related products: Malate Dehydrogenase antibodies; Malate Dehydrogenase ELISA Kits; Anti-Rabbit IgG secondary antibodies; Related news: TCA intermediate fumarate promotes mitobiogenesis |
| Calculated MW | 36 kDa |
| PTM | ISGylated. Acetylation at Lys-118 dramatically enhances enzymatic activity and promotes adipogenic differentiation. |
Images (3) Click the Picture to Zoom In
-
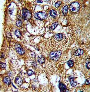
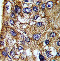
ARG55687 anti-MDH1 antibody IHC-P image
Immunohistochemistry: Formalin-fixed and paraffin-embedded Human hepatocarcinoma stained with ARG55687 anti-MDH1 antibody.
-
ARG55687 anti-MDH1 antibody WB image
Western blot: 35 µg of HL-60 cell lysate stained with ARG55687 anti-MDH1 antibody.
-
ARG55687 anti-MDH1 antibody FACS image
Flow Cytometry: HL-60 cells stained with ARG55687 anti-MDH1 antibody (bottom histogram) or without primary antibody as control (top histogram), followed by incubation with FITC labelled secondary antibody.
