ARG55688
anti-MDH2 antibody
anti-MDH2 antibody for Flow cytometry,IHC-Formalin-fixed paraffin-embedded sections,Western blot and Human,Mouse
Overview
| Product Description | Rabbit Polyclonal antibody recognizes MDH2 |
|---|---|
| Tested Reactivity | Hu, Ms |
| Predict Reactivity | Bov, Rat, Mk, Pig, Yeast |
| Tested Application | FACS, IHC-P, WB |
| Host | Rabbit |
| Clonality | Polyclonal |
| Isotype | IgG |
| Target Name | MDH2 |
| Antigen Species | Human |
| Immunogen | KLH-conjugated synthetic peptide corresponding to aa. 86-115 (Center) of Human MDH2. |
| Conjugation | Un-conjugated |
| Alternate Names | MDH; MOR1; MGC:3559; Malate dehydrogenase, mitochondrial; EC 1.1.1.37; M-MDH |
Application Instructions
| Application Suggestion |
|
||||||||
|---|---|---|---|---|---|---|---|---|---|
| Application Note | * The dilutions indicate recommended starting dilutions and the optimal dilutions or concentrations should be determined by the scientist. | ||||||||
| Positive Control | HeLa |
Properties
| Form | Liquid |
|---|---|
| Purification | This antibody is prepared by Saturated Ammonium Sulfate (SAS) precipitation followed by dialysis against PBS. |
| Buffer | PBS and 0.09% (W/V) Sodium azide. |
| Preservative | 0.09% (W/V) Sodium azide. |
| Storage Instruction | For continuous use, store undiluted antibody at 2-8°C for up to a week. For long-term storage, aliquot and store at -20°C or below. Storage in frost free freezers is not recommended. Avoid repeated freeze/thaw cycles. Suggest spin the vial prior to opening. The antibody solution should be gently mixed before use. |
| Note | For laboratory research only, not for drug, diagnostic or other use. |
Bioinformation
| Database Links |
Swiss-port # P08249 Mouse Malate dehydrogenase, mitochondrial Swiss-port # P40926 Human Malate dehydrogenase, mitochondrial |
|---|---|
| Gene Symbol | MDH2 |
| Gene Full Name | malate dehydrogenase 2, NAD (mitochondrial) |
| Background | Malate dehydrogenase catalyzes the reversible oxidation of malate to oxaloacetate, utilizing the NAD/NADH cofactor system in the citric acid cycle. The protein encoded by this gene is localized to the mitochondria and may play pivotal roles in the malate-aspartate shuttle that operates in the metabolic coordination between cytosol and mitochondria. Several transcript variants encoding different isoforms have been found for this gene. [provided by RefSeq, Sep 2013] |
| Cellular Localization | Mitochondrion matrix. |
| Calculated MW | 36 kDa |
| PTM | Acetylation is enhanced by up to 67% after treatment either with trichostin A (TSA) or with nicotinamide (NAM) with the appearance of tri- and tetraacetylations. Glucose also increases acetylation by about 60%. |
Images (3) Click the Picture to Zoom In
-
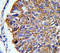
ARG55688 anti-MDH2 antibody IHC-P image
Immunohistochemistry: Formalin-fixed and paraffin-embedded Human lung carcinoma stained with ARG55688 anti-MDH2 antibody.
-
ARG55688 anti-MDH2 antibody WB image
Western blot: 35 µg of HeLa cell lysate stained with ARG55688 anti-MDH2 antibody.
-
ARG55688 anti-MDH2 antibody FACS image
Flow Cytometry: K562 cells stained with ARG55688 anti-MDH2 antibody (bottom histogram) or without primary antibody as control (top histogram), followed by incubation with FITC labelled secondary antibody.
