ARG51392
anti-MDM2 antibody
anti-MDM2 antibody for ICC/IF,IHC-Formalin-fixed paraffin-embedded sections,Western blot and Human,Mouse,Rat
Cancer antibody; Cell Biology and Cellular Response antibody; Gene Regulation antibody
Overview
| Product Description | Rabbit Polyclonal antibody recognizes MDM2 |
|---|---|
| Tested Reactivity | Hu, Ms, Rat |
| Tested Application | ICC/IF, IHC-P, WB |
| Host | Rabbit |
| Clonality | Polyclonal |
| Isotype | IgG |
| Target Name | MDM2 |
| Antigen Species | Human |
| Immunogen | Peptide sequence around aa.164~168 (A-I-S-E-T) derived from Human MDM2. |
| Conjugation | Un-conjugated |
| Alternate Names | EC 6.3.2.-; Double minute 2 protein; p53-binding protein Mdm2; hdm2; Oncoprotein Mdm2; HDMX; ACTFS; E3 ubiquitin-protein ligase Mdm2; Hdm2 |
Application Instructions
| Application Suggestion |
|
||||||||
|---|---|---|---|---|---|---|---|---|---|
| Application Note | * The dilutions indicate recommended starting dilutions and the optimal dilutions or concentrations should be determined by the scientist. |
Properties
| Form | Liquid |
|---|---|
| Purification | Antibodies were produced by immunizing rabbits with KLH-conjugated synthetic peptide. Antibodies were purified by affinity-chromatography using epitope-specific peptide. |
| Buffer | PBS (without Mg2+ and Ca2+, pH 7.4), 150mM NaCl, 0.02% Sodium azide and 50% Glycerol. |
| Preservative | 0.02% Sodium azide |
| Stabilizer | 50% Glycerol |
| Concentration | 1 mg/ml |
| Storage Instruction | For continuous use, store undiluted antibody at 2-8°C for up to a week. For long-term storage, aliquot and store at -20°C. Storage in frost free freezers is not recommended. Avoid repeated freeze/thaw cycles. Suggest spin the vial prior to opening. The antibody solution should be gently mixed before use. |
| Note | For laboratory research only, not for drug, diagnostic or other use. |
Bioinformation
| Database Links | |
|---|---|
| Gene Symbol | MDM2 |
| Gene Full Name | MDM2 proto-oncogene, E3 ubiquitin protein ligase |
| Background | This gene is a target gene of the transcription factor tumor protein p53. The encoded protein is a nuclear phosphoprotein that binds and inhibits transactivation by tumor protein p53, as part of an autoregulatory negative feedback loop. Overexpression of this gene can result in excessive inactivation of tumor protein p53, diminishing its tumor suppressor function. This protein has E3 ubiquitin ligase activity, which targets tumor protein p53 for proteasomal degradation. This protein also affects the cell cycle, apoptosis, and tumorigenesis through interactions with other proteins, including retinoblastoma 1 and ribosomal protein L5. More than 40 different alternatively spliced transcript variants have been isolated from both tumor and normal tissues |
| Function | E3 ubiquitin-protein ligase that mediates ubiquitination of p53/TP53, leading to its degradation by the proteasome. Inhibits p53/TP53- and p73/TP73-mediated cell cycle arrest and apoptosis by binding its transcriptional activation domain. Also acts as a ubiquitin ligase E3 toward itself and ARRB1. Permits the nuclear export of p53/TP53. Promotes proteasome-dependent ubiquitin-independent degradation of retinoblastoma RB1 protein. Inhibits DAXX-mediated apoptosis by inducing its ubiquitination and degradation. Component of the TRIM28/KAP1-MDM2-p53/TP53 complex involved in stabilizing p53/TP53. Also component of the TRIM28/KAP1-ERBB4-MDM2 complex which links growth factor and DNA damage response pathways. Mediates ubiquitination and subsequent proteasome degradation of DYRK2 in nucleus. Ubiquitinates IGF1R and SNAI1 and promotes them to proteasomal degradation. [UniProt] |
| Research Area | Cancer antibody; Cell Biology and Cellular Response antibody; Gene Regulation antibody |
| Calculated MW | 55 kDa |
| PTM | Phosphorylation on Ser-166 by SGK1 activates ubiquitination of p53/TP53. Phosphorylated at multiple sites near the RING domain by ATM upon DNA damage; this prevents oligomerization and E3 ligase processivity and impedes constitutive p53/TP53 degradation. Autoubiquitination leads to proteasomal degradation; resulting in p53/TP53 activation it may be regulated by SFN. Also ubiquitinated by TRIM13. Deubiquitinated by USP2 leads to its accumulation and increases deubiquitination and degradation of p53/TP53. Deubiquitinated by USP7 leading to its stabilization. |
Images (4) Click the Picture to Zoom In
-
ARG51392 anti-MDM2 antibody WB image
Western blot: PC-3 stained with ARG51392 anti-MDM2 antibody.
From Jiao Y et al. Nucl Med Biol- (2022), doi: 10.1016/j.nucmedbio.2021.11.003, Fig. 2. A.
-
ARG51392 anti-MDM2 antibody WB image
Western Blot: extracts from HT29, HeLa and 293 cells stained with anti-MDM2 antibody ARG51392.
-
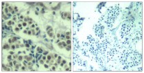
ARG51392 anti-MDM2 antibody IHC-P image
Immunohistochemistry: paraffin-embedded human breast carcinoma tissue stained with anti-MDM2 antibody ARG51392 (left) or the same antibody preincubated with blocking peptide (right).
-
ARG51392 anti-MDM2 antibody ICC/IF image
Immunofluorescence: methanol-fixed HeLa cells stained with anti-MDM2 antibody ARG51392.
Customer's Feedback

