ARG59046
anti-MDM4 / MDMX antibody
anti-MDM4 / MDMX antibody for IHC-Formalin-fixed paraffin-embedded sections,Western blot and Human,Mouse
Overview
| Product Description | Rabbit Polyclonal antibody recognizes MDM4 / MDMX |
|---|---|
| Tested Reactivity | Hu, Ms |
| Predict Reactivity | Bov, Hrs, Mk, Rb |
| Tested Application | IHC-P, WB |
| Host | Rabbit |
| Clonality | Polyclonal |
| Isotype | IgG |
| Target Name | MDM4 / MDMX |
| Antigen Species | Human |
| Immunogen | Synthetic peptide corresponding to aa. 35-72 of Human MDMX (KILHAAGAQGEMFTVKEVMHYLGQYIMVKQLYDQQEQH). |
| Conjugation | Un-conjugated |
| Alternate Names | Double minute 4 protein; p53-binding protein Mdm4; MDMX; Protein Mdm4; Mdm2-like p53-binding protein; HDMX; MRP1; Protein Mdmx |
Application Instructions
| Application Suggestion |
|
||||||
|---|---|---|---|---|---|---|---|
| Application Note | IHC-P: Antigen Retrieval: By heat mediation. * The dilutions indicate recommended starting dilutions and the optimal dilutions or concentrations should be determined by the scientist. |
Properties
| Form | Liquid |
|---|---|
| Purification | Affinity purification with immunogen. |
| Buffer | 0.2% Na2HPO4, 0.9% NaCl, 0.05% Sodium azide and 5% BSA. |
| Preservative | 0.05% Sodium azide |
| Stabilizer | 5% BSA |
| Concentration | 0.5 mg/ml |
| Storage Instruction | For continuous use, store undiluted antibody at 2-8°C for up to a week. For long-term storage, aliquot and store at -20°C or below. Storage in frost free freezers is not recommended. Avoid repeated freeze/thaw cycles. Suggest spin the vial prior to opening. The antibody solution should be gently mixed before use. |
| Note | For laboratory research only, not for drug, diagnostic or other use. |
Bioinformation
| Database Links | |
|---|---|
| Gene Symbol | MDM4 |
| Gene Full Name | MDM4, p53 regulator |
| Background | This gene encodes a nuclear protein that contains a p53 binding domain at the N-terminus and a RING finger domain at the C-terminus, and shows structural similarity to p53-binding protein MDM2. Both proteins bind the p53 tumor suppressor protein and inhibit its activity, and have been shown to be overexpressed in a variety of human cancers. However, unlike MDM2 which degrades p53, this protein inhibits p53 by binding its transcriptional activation domain. This protein also interacts with MDM2 protein via the RING finger domain, and inhibits the latter's degradation. So this protein can reverse MDM2-targeted degradation of p53, while maintaining suppression of p53 transactivation and apoptotic functions. Alternatively spliced transcript variants encoding different isoforms have been noted for this gene. [provided by RefSeq, Feb 2011] |
| Function | Inhibits p53/TP53- and TP73/p73-mediated cell cycle arrest and apoptosis by binding its transcriptional activation domain. Inhibits degradation of MDM2. Can reverse MDM2-targeted degradation of TP53 while maintaining suppression of TP53 transactivation and apoptotic functions. [UniProt] |
| Cellular Localization | Nucleus. [UniProt] |
| Calculated MW | 55 kDa |
| PTM | Phosphorylated. Phosphorylation at Ser-367 promotes interaction with YWHAG and subsequent ubiquitination and degradation. Phosphorylation at Ser-342 also induces ubiquitination and degradation but to a lower extent. Ubiquitinated and degraded by MDM2. Deubiquitination by USP2 on the other hand stabilizes the MDM4 protein. [UniProt] |
Images (2) Click the Picture to Zoom In
-
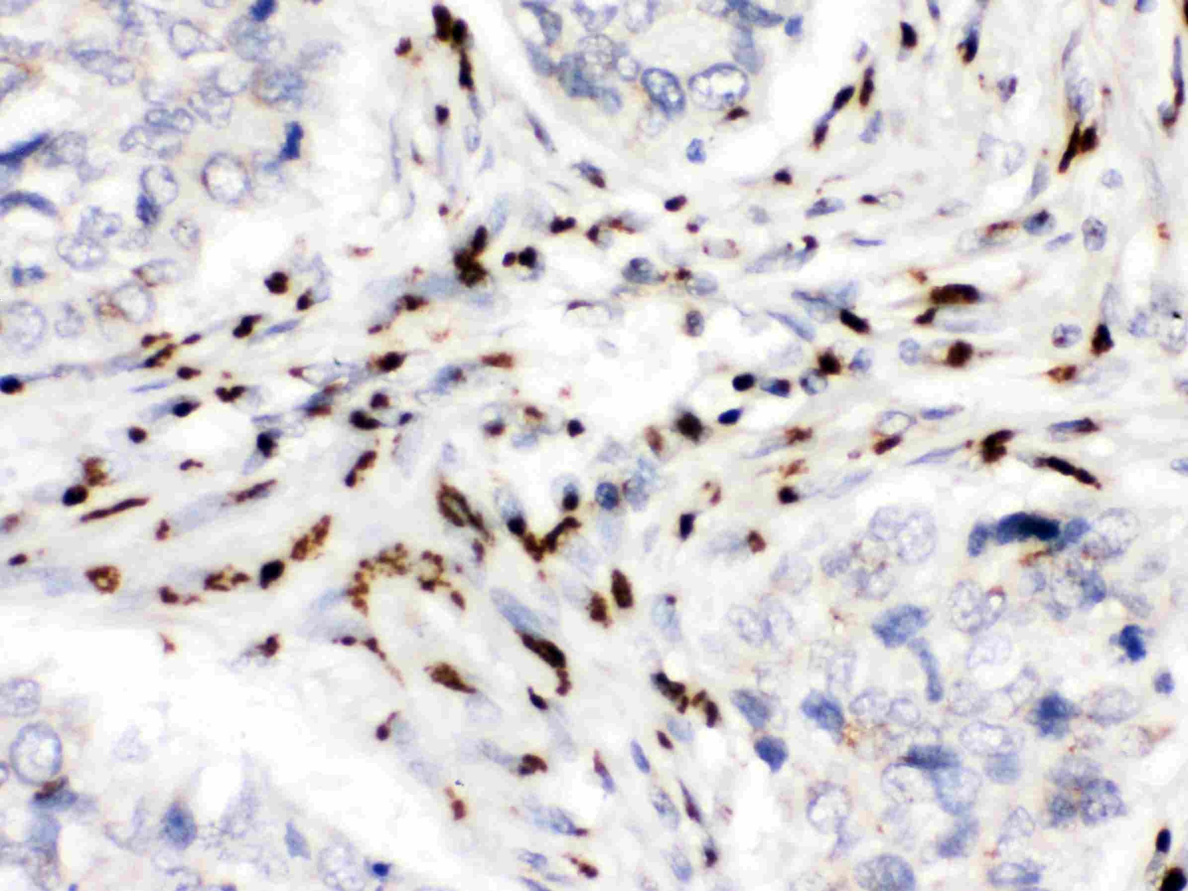
ARG59046 anti-MDM4 / MDMX antibody IHC-P image
Immunohistochemistry: Paraffin-embedded Human lung cancer tissue stained with ARG59046 anti-MDM4 / MDMX antibody at 1 µg/ml dilution.
-
ARG59046 anti-MDM4 / MDMX antibody WB image
Western blot: Mouse testis and 22RV1 lysates stained with ARG59046 anti-MDM4 / MDMX antibody at 0.5 µg/ml dilution.
