ARG51543
anti-MEF2A phospho (Thr312) antibody
anti-MEF2A phospho (Thr312) antibody for ICC/IF,IHC-Formalin-fixed paraffin-embedded sections,Western blot and Human,Mouse,Rat
Cell Biology and Cellular Response antibody; Gene Regulation antibody; Neuroscience antibody
Overview
| Product Description | Rabbit Polyclonal antibody recognizes MEF2A phospho (Thr312) |
|---|---|
| Tested Reactivity | Hu, Ms, Rat |
| Tested Application | ICC/IF, IHC-P, WB |
| Host | Rabbit |
| Clonality | Polyclonal |
| Isotype | IgG |
| Target Name | MEF2A |
| Antigen Species | Human |
| Immunogen | Peptide sequence around phosphorylation site of threonine 312 (L-A-T(p)-P-V) derived from Human MEF2A. |
| Conjugation | Un-conjugated |
| Alternate Names | RSRFC4; RSRFC9; ADCAD1; mef2; Myocyte-specific enhancer factor 2A; Serum response factor-like protein 1 |
Application Instructions
| Application Suggestion |
|
||||||||
|---|---|---|---|---|---|---|---|---|---|
| Application Note | * The dilutions indicate recommended starting dilutions and the optimal dilutions or concentrations should be determined by the scientist. |
Properties
| Form | Liquid |
|---|---|
| Purification | Antibodies were produced by immunizing rabbits with KLH-conjugated synthetic phosphopeptide. Antibodies were purified by affinity-chromatography using epitope-specific phosphopeptide. In addition, non-phospho specific antibodies were removed by chromatogramphy using non-phosphopeptide. |
| Buffer | PBS (without Mg2+ and Ca2+, pH 7.4), 150mM NaCl, 0.02% Sodium azide and 50% Glycerol. |
| Preservative | 0.02% Sodium azide |
| Stabilizer | 50% Glycerol |
| Concentration | 1 mg/ml |
| Storage Instruction | For continuous use, store undiluted antibody at 2-8°C for up to a week. For long-term storage, aliquot and store at -20°C. Storage in frost free freezers is not recommended. Avoid repeated freeze/thaw cycles. Suggest spin the vial prior to opening. The antibody solution should be gently mixed before use. |
| Note | For laboratory research only, not for drug, diagnostic or other use. |
Bioinformation
| Database Links | |
|---|---|
| Gene Symbol | MEF2A |
| Gene Full Name | myocyte enhancer factor 2A |
| Background | The process of differentiation from mesodermal precursor cells to myoblasts has led to the discovery of a variety of tissue-specific factors that regulate muscle gene expression. The myogenic basic helix-loop-helix proteins, including myoD (MIM 159970), myogenin (MIM 159980), MYF5 (MIM 159990), and MRF4 (MIM 159991) are one class of identified factors. A second family of DNA binding regulatory proteins is the myocyte-specific enhancer factor-2 (MEF2) family. Each of these proteins binds to the MEF2 target DNA sequence present in the regulatory regions of many, if not all, muscle-specific genes. The MEF2 genes are members of the MADS gene family (named for the yeast mating type-specific transcription factor MCM1, the plant homeotic genes 'agamous' and 'deficiens' and the human serum response factor SRF (MIM 600589)), a family that also includes several homeotic genes and other transcription factors, all of which share a conserved DNA-binding domain |
| Function | Transcriptional activator which binds specifically to the MEF2 element, 5'-YTA[AT](4)TAR-3', found in numerous muscle-specific genes. Also involved in the activation of numerous growth factor- and stress-induced genes. Mediates cellular functions not only in skeletal and cardiac muscle development, but also in neuronal differentiation and survival. Plays diverse roles in the control of cell growth, survival and apoptosis via p38 MAPK signaling in muscle-specific and/or growth factor-related transcription. In cerebellar granule neurons, phosphorylated and sumoylated MEF2A represses transcription of NUR77 promoting synaptic differentiation. Associates with chromatin to the ZNF16 promoter. [UniProt] |
| Research Area | Cell Biology and Cellular Response antibody; Gene Regulation antibody; Neuroscience antibody |
| Calculated MW | 55 kDa |
| PTM | Constitutive phosphorylation on Ser-408 promotes Lys-403 sumoylation thus preventing acetylation at this site. Dephosphorylation on Ser-408 by PPP3CA upon neuron depolarization promotes a switch from sumoylation to acetylation on residue Lys-403 leading to inhibition of dendrite claw differentiation. Phosphorylation on Thr-312 and Thr-319 are the main sites involved in p38 MAPK signaling and activate transcription. Phosphorylated on these sites by MAPK14/p38alpha and MAPK11/p38beta, but not by MAPK13/p38delta nor by MAPK12/p38gamma. Phosphorylation on Ser-408 by CDK5 induced by neurotoxicity inhibits MEF2A transcriptional activation leading to apoptosis of cortical neurons. Phosphorylation on Thr-312, Thr-319 and Ser-355 can be induced by EGF. Sumoylation on Lys-403 is enhanced by PIAS1 and represses transcriptional activity. Phosphorylation on Ser-408 is required for sumoylation. Has no effect on nuclear location nor on DNA binding. Sumoylated with SUMO1 and, to a lesser extent with SUMO2 and SUMO3. PIASx facilitates sumoylation in postsynaptic dendrites in the cerebellar cortex and promotes their morphogenesis (By similarity). Acetylation on Lys-403 activates transcriptional activity. Acetylated by p300 on several sites in diffentiating myocytes. Acetylation on Lys-4 increases DNA binding and transactivation (By similarity). Hyperacetylation by p300 leads to enhanced cardiac myocyte growth and heart failure. Proteolytically cleaved in cerebellar granule neurons on several sites by caspase 3 and caspase 7 following neurotoxicity. Preferentially cleaves the CDK5-mediated hyperphosphorylated form which leads to neuron apoptosis and transcriptional inactivation. |
Images (3) Click the Picture to Zoom In
-
ARG51543 anti-MEF2A phospho (Thr312) antibody WB image
Western blot: Extracts from C2C12 cells, treated with Anisomycin or calf intestinal phosphatase (CIP), stained with ARG51543 anti-MEF2A phospho (Thr312) antibody.
-
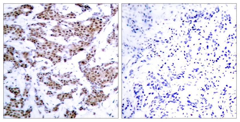
ARG51543 anti-MEF2A phospho (Thr312) antibody IHC-P image
Immunohistochemistry: Paraffin-embedded Human breast carcinoma tissue stained with ARG51543 anti-MEF2A phospho (Thr312) antibody (left) or the same antibody preincubated with blocking peptide (right).
-
ARG51543 anti-MEF2A phospho (Thr312) antibody ICC/IF image
Immunofluorescence: methanol-fixed HeLa cells stained with ARG51543 anti-MEF2A phospho (Thr312) antibody.
