ARG65817
anti-MEOX2 antibody
anti-MEOX2 antibody for IHC-Formalin-fixed paraffin-embedded sections,Western blot and Human
Overview
| Product Description | Rabbit Polyclonal antibody recognizes MEOX2 |
|---|---|
| Tested Reactivity | Hu |
| Predict Reactivity | Ms, Rat, Pig |
| Tested Application | IHC-P, WB |
| Specificity | Recognizes endogenous levels of MEOX2 protein. |
| Host | Rabbit |
| Clonality | Polyclonal |
| Isotype | IgG |
| Target Name | MEOX2 |
| Antigen Species | Human |
| Immunogen | KLH-conjugated synthetic peptide around the center region of Human MEOX2. |
| Conjugation | Un-conjugated |
| Alternate Names | Mesenchyme homeobox 2; Homeobox protein MOX-2; Growth arrest-specific homeobox; MOX2; GAX |
Application Instructions
| Application Suggestion |
|
||||||
|---|---|---|---|---|---|---|---|
| Application Note | IHC-P: Antigen Retrieval: Sodium citrate buffer (10mM, pH 6.0), Boiling bathing for 20 min. * The dilutions indicate recommended starting dilutions and the optimal dilutions or concentrations should be determined by the scientist. |
Properties
| Form | Liquid |
|---|---|
| Purification | Affinity purification with immunogen. |
| Buffer | Liquid (pH 7.3), 0.42% Potassium phosphate, 0.87% NaCl, 0.01% Sodium azide and 30% Glycerol. |
| Preservative | 0.01% Sodium azide |
| Stabilizer | 30% Glycerol |
| Storage Instruction | For continuous use, store undiluted antibody at 2-8°C for up to a week. For long-term storage, aliquot and store at -20°C. Storage in frost free freezers is not recommended. Avoid repeated freeze/thaw cycles. Suggest spin the vial prior to opening. The antibody solution should be gently mixed before use. |
| Note | For laboratory research only, not for drug, diagnostic or other use. |
Bioinformation
| Database Links | |
|---|---|
| Gene Symbol | MEOX2 |
| Gene Full Name | mesenchyme homeobox 2 |
| Background | This gene encodes a member of a subfamily of non-clustered, diverged, antennapedia-like homeobox-containing genes. The encoded protein may play a role in the regulation of vertebrate limb myogenesis. Mutations in the related mouse protein may be associated with craniofacial and/or skeletal abnormalities, in addition to neurovascular dysfunction observed in Alzheimer's disease. [provided by RefSeq, Jul 2008] |
| Function | Mesodermal transcription factor that plays a key role in somitogenesis and is required for sclerotome development (By similarity). Activates expression of CDKN1A and CDKN2A in endothelial cells, acting as a regulator of vascular cell proliferation. While it activates CDKN1A in a DNA-dependent manner, it activates CDKN2A in a DNA-independent manner. May have a regulatory role when quiescent vascular smooth muscle cells reenter the cell cycle. [UniProt] |
| Calculated MW | 34 kDa |
Images (2) Click the Picture to Zoom In
-
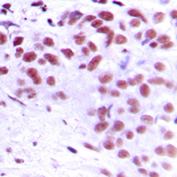
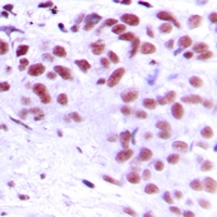
ARG65817 anti-MEOX2 antibody IHC-P image
Immunohistochemistry: Formalin-fixed and paraffin-embedded Human breast cancer tissue section. Antigen retrieval: Sodium citrate buffer (10mM, pH 6.0), Boiling bathing for 20 min. The section was stained with ARG65817 anti-MEOX2 antibody at RT and detected using an HRP conjugated compact polymer system. DAB was used as the chromogen. The section was then counterstained with haematoxylin and mounted with DPX.
-
ARG65817 anti-MEOX2 antibody WB image
Western blot: HeLa whole cell lysates stained with ARG65817 anti-MEOX2 antibody.
