ARG63791
anti-MEPI / SERPINI2 antibody
anti-MEPI / SERPINI2 antibody for IHC-Formalin-fixed paraffin-embedded sections,Western blot and Human
Cell Biology and Cellular Response antibody
Overview
| Product Description | Goat Polyclonal antibody recognizes MEPI / SERPINI2 |
|---|---|
| Tested Reactivity | Hu |
| Predict Reactivity | Ms, Rat, Dog |
| Tested Application | IHC-P, WB |
| Specificity | This antibody is expected to recognise both reported isoforms (NP_006208.1; NP_001012303.1). |
| Host | Goat |
| Clonality | Polyclonal |
| Isotype | IgG |
| Target Name | MEPI / SERPINI2 |
| Antigen Species | Human |
| Immunogen | C-KGDWKQKFRKEDTQ |
| Conjugation | Un-conjugated |
| Alternate Names | TSA2004; Myoepithelium-derived serine protease inhibitor; Peptidase inhibitor 14; Serpin I2; PANCPIN; MEPI; Pancpin; PI-14; Pancreas-specific protein TSA2004; PI14 |
Application Instructions
| Application Suggestion |
|
||||||
|---|---|---|---|---|---|---|---|
| Application Note | IHC-P: Antigen Retrieval: Microwaved tissue section in Citrate buffer (pH 6.0). WB: Recommend incubate at RT for 1h. * The dilutions indicate recommended starting dilutions and the optimal dilutions or concentrations should be determined by the scientist. |
Properties
| Form | Liquid |
|---|---|
| Purification | Purified from goat serum by antigen affinity chromatography. |
| Buffer | Tris saline (pH 7.3), 0.02% Sodium azide and 0.5% BSA. |
| Preservative | 0.02% Sodium azide |
| Stabilizer | 0.5% BSA |
| Concentration | 0.5 mg/ml |
| Storage Instruction | For continuous use, store undiluted antibody at 2-8°C for up to a week. For long-term storage, aliquot and store at -20°C or below. Storage in frost free freezers is not recommended. Avoid repeated freeze/thaw cycles. Suggest spin the vial prior to opening. The antibody solution should be gently mixed before use. |
| Note | For laboratory research only, not for drug, diagnostic or other use. |
Bioinformation
| Database Links | |
|---|---|
| Background | The protein encoded by this gene is a member of the serine protease inhibitor (serpin) superfamily made up of proteins which play central roles in the regulation of a wide variety of physiological processes, including coagulation, fibrinolysis, development, malignancy and inflammation. The gene product may have a role in a growth-control, possibly growth-suppressing pathway and, when impaired, may be involved in pancreatic carcinogenesis. The protein is a member of the plasminogen activator inhibitor-1 family, a subset of the serpin superfamily whose members act as tissue-specific tPA inhibitors. Two alternatively spliced transcript variants encoding distinct protein isoforms have been found for this gene. [provided by RefSeq, Jul 2008] |
| Research Area | Cell Biology and Cellular Response antibody |
| Calculated MW | 46 kDa |
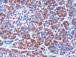
Images (2) Click the Picture to Zoom In
-
ARG63791 anti-MEPI / SERPINI2 antibody WB image
Western Blot: Human Pancreas lysate (35 µg protein in RIPA buffer) stained with ARG63791 anti-MEPI / SERPINI2 antibody at 0.3 µg/ml dilution.
-
ARG63791 anti-MEPI / SERPINI2 antibody IHC-P image
Immunohistochemistry: paraffin embedded Human Pancreas. (Microwaved antigen retrieval with citrate buffer pH 6) stained with ARG63791 anti-MEPI / SERPINI2 antibody at 3 µg/ml dilution followed by HRP-staining
