ARG43104
anti-METTL14 antibody
anti-METTL14 antibody for Flow cytometry,ICC/IF,IHC-Formalin-fixed paraffin-embedded sections,Western blot and Human
Overview
| Product Description | Rabbit Polyclonal antibody recognizes METTL14 |
|---|---|
| Tested Reactivity | Hu |
| Tested Application | FACS, ICC/IF, IHC-P, WB |
| Host | Rabbit |
| Clonality | Polyclonal |
| Isotype | IgG |
| Target Name | METTL14 |
| Antigen Species | Human |
| Immunogen | Recombinant protein corresponding to Q12-D350 of Human METTL14. |
| Conjugation | Un-conjugated |
| Alternate Names | N6-adenosine-methyltransferase subunit METTL14; EC 2.1.1.62; Methyltransferase-like protein 14 |
Application Instructions
| Application Suggestion |
|
||||||||||
|---|---|---|---|---|---|---|---|---|---|---|---|
| Application Note | IHC-P: Antigen Retrieval: Heat mediation was performed in EDTA buffer (pH 8.0). * The dilutions indicate recommended starting dilutions and the optimal dilutions or concentrations should be determined by the scientist. |
||||||||||
| Positive Control | A549, Raji and A431 | ||||||||||
| Observed Size | ~ 63 kDa |
Properties
| Form | Liquid |
|---|---|
| Purification | Affinity purification with immunogen. |
| Buffer | 0.2% Na2HPO4, 0.9% NaCl, 0.05% Sodium azide and 4% Trehalose. |
| Preservative | 0.05% Sodium azide |
| Stabilizer | 4% Trehalose |
| Concentration | 0.5 mg/ml |
| Storage Instruction | For continuous use, store undiluted antibody at 2-8°C for up to a week. For long-term storage, aliquot and store at -20°C or below. Storage in frost free freezers is not recommended. Avoid repeated freeze/thaw cycles. Suggest spin the vial prior to opening. The antibody solution should be gently mixed before use. |
| Note | For laboratory research only, not for drug, diagnostic or other use. |
Bioinformation
| Database Links |
Swiss-port # Q9HCE5 Human N6-adenosine-methyltransferase subunit METTL14 |
|---|---|
| Gene Symbol | METTL14 |
| Gene Full Name | methyltransferase like 14 |
| Function | The METTL3-METTL14 heterodimer forms a N6-methyltransferase complex that methylates adenosine residues at the N(6) position of some mRNAs and regulates the circadian clock, differentiation of embryonic stem cells and cortical neurogenesis (PubMed:24316715, PubMed:24407421, PubMed:25719671, PubMed:29348140, PubMed:27373337, PubMed:27281194). In the heterodimer formed with METTL3, METTL14 constitutes the RNA-binding scaffold that recognizes the substrate rather than the catalytic core (PubMed:27627798, PubMed:27373337, PubMed:27281194, PubMed:29348140). N6-methyladenosine (m6A), which takes place at the 5'-[AG]GAC-3' consensus sites of some mRNAs, plays a role in mRNA stability and processing (PubMed:24316715, PubMed:24407421, PubMed:25719671). M6A acts as a key regulator of mRNA stability by promoting mRNA destabilization and degradation (By similarity). In embryonic stem cells (ESCs), m6A methylation of mRNAs encoding key naive pluripotency-promoting transcripts results in transcript destabilization (By similarity). M6A regulates spermatogonial differentiation and meiosis and is essential for male fertility and spermatogenesis (By similarity). M6A also regulates cortical neurogenesis: m6A methylation of transcripts related to transcription factors, neural stem cells, the cell cycle and neuronal differentiation during brain development promotes their destabilization and decay, promoting differentiation of radial glial cells (By similarity). [UniProt] |
| Cellular Localization | Nucleus. [UniProt] |
| Calculated MW | 52 kDa |
| PTM | Phosphorylation at Ser-399 is important for interaction with METTL3: phosphorylated Ser-399 forms a salt bridge with 'Arg-471' of METTL3. [UniProt] |
Images (4) Click the Picture to Zoom In
-
ARG43104 anti-METTL14 antibody ICC/IF image
Immunofluorescence: A431 cells were blocked with 10% goat serum and then stained with ARG43104 anti-METTL14 antibody (green) at 5 µg/ml dilution, overnight at 4°C. DAPI (blue) for nuclear staining.
-
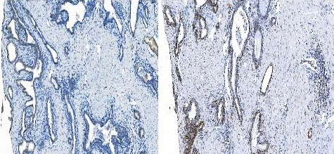
ARG43104 anti-METTL14 antibody IHC-P image
Immunohistochemistry: Paraffin-embedded Human breast cancer tissue. Antigen Retrieval: Heat mediation was performed in EDTA buffer (pH 8.0). The tissue section was blocked with 10% goat serum. The tissue section was then stained with ARG43104 anti-METTL14 antibody at 2 µg/ml dilution, overnight at 4°C. Left: Negative control.
-
ARG43104 anti-METTL14 antibody WB image
Western blot: 50 µg of sample under reducing conditions. A549, Raji and A431 whole cell lysates stained with ARG43104 anti-METTL14 antibody at 0.5 µg/ml dilution, overnight at 4°C.
-
ARG43104 anti-METTL14 antibody FACS image
Flow Cytometry: THP-1 cells were blocked with 10% normal goat serum and then stained with ARG43104 anti-METTL14 antibody (blue) at 1 µg/10^6 cells for 30 min at 20°C, followed by incubation with DyLight®488 labelled secondary antibody. Isotype control antibody (green) was rabbit IgG (1 µg/10^6 cells) used under the same conditions. Unlabelled sample (red) was also used as a control.
