ARG43260
anti-MEX3A antibody
anti-MEX3A antibody for IHC-Formalin-fixed paraffin-embedded sections,Western blot and Human
Overview
| Product Description | Rabbit Polyclonal antibody recognizes MEX3A |
|---|---|
| Tested Reactivity | Hu |
| Predict Reactivity | Ms, Rat |
| Tested Application | IHC-P, WB |
| Host | Rabbit |
| Clonality | Polyclonal |
| Isotype | IgG |
| Target Name | MEX3A |
| Antigen Species | Human |
| Immunogen | A 14-amino acid synthetic peptide within aa. 420-470 of Human MEX3A. |
| Conjugation | Un-conjugated |
| Alternate Names | RING finger and KH domain-containing protein 4; RKHD4; RNA-binding protein MEX3A; MEX-3A |
Application Instructions
| Application Suggestion |
|
||||||
|---|---|---|---|---|---|---|---|
| Application Note | * The dilutions indicate recommended starting dilutions and the optimal dilutions or concentrations should be determined by the scientist. | ||||||
| Positive Control | SK-N-SH | ||||||
| Observed Size | ~ 65 kDa |
Properties
| Form | Liquid |
|---|---|
| Purification | Affinity purification with immunogen. |
| Buffer | PBS and 0.02% Sodium azide. |
| Preservative | 0.02% Sodium azide |
| Storage Instruction | For continuous use, store undiluted antibody at 2-8°C for up to a week. For long-term storage, aliquot and store at -20°C or below. Storage in frost free freezers is not recommended. Avoid repeated freeze/thaw cycles. Suggest spin the vial prior to opening. The antibody solution should be gently mixed before use. |
| Note | For laboratory research only, not for drug, diagnostic or other use. |
Bioinformation
| Database Links | |
|---|---|
| Gene Symbol | MEX3A |
| Gene Full Name | mex-3 RNA binding family member A |
| Function | RNA binding protein, may be involved in post-transcriptional regulatory mechanisms. [UniProt] |
| Cellular Localization | Cytoplasm. Nucleus. Cytoplasm, P-body. Note=Predominantly expressed in the cytoplasm and shuttles between the cytoplasm and the nucleus through the CRM1 export pathway. [UniProt] |
| Calculated MW | 54 kDa |
| PTM | Phosphorylated. [UniProt] |
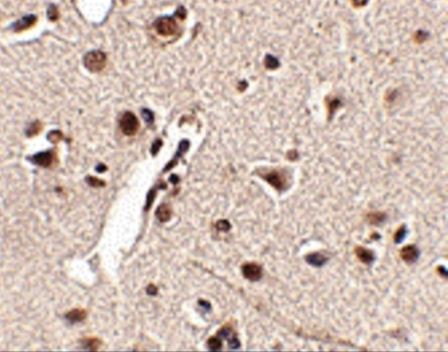
Images (3) Click the Picture to Zoom In
-
ARG43260 anti-MEX3A antibody IHC-P image
Immunohistochemistry: Paraffin-embedded Human brain tissue stained with ARG43260 anti-MEX3A antibody at 20 µg/ml dilution.
-
ARG43260 anti-MEX3A antibody WB image
Western blot: SK-N-SH cell lysate stained with ARG43260 anti-MEX3A antibody at 1 µg/ml dilution in the absence (left) and the presence of blocking peptide (right).
-
ARG43260 anti-MEX3A antibody IHC-P image
Immunohistochemistry: Paraffin-embedded Human brain tissue stained with ARG43260 anti-MEX3A antibody at 2.5 µg/ml dilution.
