ARG44145
anti-MIA3 / TANGO1 antibody
anti-MIA3 / TANGO1 antibody for Flow cytometry,ICC/IF,IHC-Formalin-fixed paraffin-embedded sections,Western blot and Human
Deafness, Diabetes mellitus, Dwarfism, Intellectual disability
Overview
| Product Description | Rabbit Polyclonal recognizes MIA3 / TANGO1 |
|---|---|
| Tested Reactivity | Hu |
| Tested Application | FACS, ICC/IF, IHC-P, WB |
| Host | Rabbit |
| Clonality | Polyclonal |
| Isotype | IgG |
| Target Name | MIA3 / TANGO1 |
| Antigen Species | Human |
| Immunogen | Human MIA3 / TANGO1 recombinant protein (Position: E54-E1869). |
| Conjugation | Un-conjugated |
| Alternate Names | MIA3; MIA SH3 Domain ER Export Factor 3; TANGO1; TANGO; KIAA0268; UNQ6077; Transport And Golgi Organization Protein 1 Homolog; Melanoma Inhibitory Activity Protein 3; MIA Family Member 3, ER Export Factor; C219-Reactive Peptide; FLJ39207; D320; Melanoma Inhibitory Activity Family, Member 3; Melanoma Inhibitory Activity Family Member 3; Transport And Golgi Organization; C219 Reactive Peptide; ODCD2; ARNT |
Application Instructions
| Application Suggestion |
|
||||||||||
|---|---|---|---|---|---|---|---|---|---|---|---|
| Application Note | The dilutions indicate recommended starting dilutions and the optimal dilutions or concentrations should be determined by the scientist. |
Properties
| Form | Liquid |
|---|---|
| Purification | Affinity purification with immunogen. |
| Buffer | 0.9% NaCl, 0.2% Na2HPO4, 0.05% Sodium azide and 4% Trehalose. |
| Preservative | 0.05% Sodium azide |
| Stabilizer | 4% Trehalose |
| Concentration | 0.5 mg/ml |
| Storage Instruction | For continuous use, store undiluted antibody at 2-8°C for up to a week. For long-term storage, aliquot and store at -20°C or below. Storage in frost free freezers is not recommended. Avoid repeated freeze/thaw cycles. Suggest spin the vial prior to opening. The antibody solution should be gently mixed before use. |
| Note | For laboratory research only, not for drug, diagnostic or other use. |
Bioinformation
| Database Links |
Swiss-port # Q5JRA6 Human Melanoma inhibitory activity protein 3 |
|---|---|
| Gene Symbol | MIA3 |
| Gene Full Name | MIA SH3 Domain ER Export Factor 3 |
| Background | Enables cargo receptor activity. Involved in several processes, including COPII-coated vesicle cargo loading; cell migration involved in sprouting angiogenesis; and regulation of leukocyte migration. Located in endoplasmic reticulum exit site and endoplasmic reticulum membrane. Is integral component of membrane. |
| Function | Plays a role in the transport of cargos that are too large to fit into COPII-coated vesicles and require specific mechanisms to be incorporated into membrane-bound carriers and exported from the endoplasmic reticulum. This protein is required for collagen VII (COL7A1) secretion by loading COL7A1 into transport carriers. It may participate in cargo loading of COL7A1 at endoplasmic reticulum exit sites by binding to COPII coat subunits Sec23/24 and guiding SH3-bound COL7A1 into a growing carrier. Does not play a role in global protein secretion and is apparently specific to COL7A1 cargo loading. However, it may participate in secretion of other proteins in cells that do not secrete COL7A1. It is also specifically required for the secretion of lipoproteins by participating in their export from the endoplasmic reticulum. |
| Cellular Localization | Endoplasmic reticulum, Membrane |
| Research Area | Deafness, Diabetes mellitus, Dwarfism, Intellectual disability |
| Calculated MW | 213 kDa |
| PTM | Glycoprotein, Methylation, Phosphoprotein |
Images (5) Click the Picture to Zoom In
-
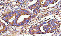
ARG44145 anti-MIA3 / TANGO1 antibody IHC-P image
Immunohistochemistry: Human colorectal adenocarcinoma stained with ARG44145 anti-MIA3 / TANGO1 antibody at 2 μg/ml dilution.
-
ARG44145 anti-MIA3 / TANGO1 antibody ICC/IF image
Immunofluorescence: U2OS stained with ARG44145 anti-MIA3 / TANGO1 antibody at 5 μg/ml dilution.
-
ARG44145 anti-MIA3 / TANGO1 antibody WB image
Western blot: K562 and Hacat stained with ARG44145 anti-MIA3 / TANGO1 antibody at 0.5 μg/ml dilution.
-
ARG44145 anti-MIA3 / TANGO1 antibody FACS image
Flow Cytometry: 293T stained with ARG44145 anti-MIA3 / TANGO1 antibody at 1 µg/10^6 cells dilution.
-
ARG44145 anti-MIA3 / TANGO1 antibody IHC-P image
Immunohistochemistry: Human liver cancer stained with ARG44145 anti-MIA3 / TANGO1 antibody at 2 μg/ml dilution.
