ARG66180
anti-MICU1 / CBARA1 antibody
anti-MICU1 / CBARA1 antibody for IHC-Formalin-fixed paraffin-embedded sections,Western blot and Human,Mouse,Rat
Overview
| Product Description | Mouse Monoclonal antibody recognizes MICU1 / CBARA1 |
|---|---|
| Tested Reactivity | Hu, Ms, Rat |
| Tested Application | IHC-P, WB |
| Specificity | The antibody detects endogenous MICU1 protein. |
| Host | Mouse |
| Clonality | Monoclonal |
| Target Name | MICU1 / CBARA1 |
| Antigen Species | Human |
| Immunogen | Recombinant Protein of Human MICU1 / CBARA1. |
| Conjugation | Un-conjugated |
| Alternate Names | MPXPS; allergen Hom s 4; Calcium uptake protein 1, mitochondrial; Atopy-related autoantigen CALC; CBARA1; ara CALC; CALC; Calcium-binding atopy-related autoantigen 1; EFHA3 |
Application Instructions
| Application Suggestion |
|
||||||
|---|---|---|---|---|---|---|---|
| Application Note | IHC-P: Antigen Retrieval: Boil tissue section in Sodium citrate buffer (pH 6.0) for 20 min. * The dilutions indicate recommended starting dilutions and the optimal dilutions or concentrations should be determined by the scientist. |
Properties
| Form | Liquid |
|---|---|
| Purification | Affinity purification with immunogen. |
| Buffer | PBS (pH 7.4), 0.02% Sodium azide and 50% Glycerol. |
| Preservative | 0.02% Sodium azide |
| Stabilizer | 50% Glycerol |
| Concentration | 1 mg/ml |
| Storage Instruction | For continuous use, store undiluted antibody at 2-8°C for up to a week. For long-term storage, aliquot and store at -20°C. Storage in frost free freezers is not recommended. Avoid repeated freeze/thaw cycles. Suggest spin the vial prior to opening. The antibody solution should be gently mixed before use. |
| Note | For laboratory research only, not for drug, diagnostic or other use. |
Bioinformation
| Database Links | |
|---|---|
| Gene Symbol | MICU1 |
| Gene Full Name | mitochondrial calcium uptake 1 |
| Background | This gene encodes an essential regulator of mitochondrial Ca2+ uptake under basal conditions. The encoded protein interacts with the mitochondrial calcium uniporter, a mitochondrial inner membrane Ca2+ channel, and is essential in preventing mitochondrial Ca2+ overload, which can cause excessive production of reactive oxygen species and cell stress. Alternatively spliced transcript variants encoding different isoforms have been described. [provided by RefSeq, Mar 2013] |
| Function | Key regulator of mitochondrial calcium uniporter (MCU) required to increase calcium uptake by MCU when cytoplasmic calcium is high. MICU1 and MICU2 form a disulfide-linked heterodimer that stimulate and inhibit MCU activity, respectively. MICU1 acts as a stimulator of MCU that senses calcium level via its EF-hand domains: enhances MCU opening at high Ca(2+) concentration, allowing a rapid response of mitochondria to Ca(2+) signals generated in the cytoplasm. Regulates glucose-dependent insulin secretion in pancreatic beta-cells by regulating mitochondrial calcium uptake. Induces T-helper 1-mediated autoreactivity, which is accompanied by the release of IFNG. [UniProt] |
| Calculated MW | 54 kDa |
Images (15) Click the Picture to Zoom In
-
ARG66180 anti-MICU1 / CBARA1 antibody IHC-P image
Immunohistochemistry: Paraffin-embedded Human uterus tissue stained with ARG66180 anti-MICU1 / CBARA1 antibody at 1:200 dilution (4°C, overnight). Antigen Retrieval: Boil tissue section in Sodium citrate buffer (pH 6.0) for 20 min.
Negative control was used by secondary antibody only.
-
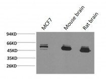
ARG66180 anti-MICU1 / CBARA1 antibody WB image
Western blot: 1) MCF7, 2) Mouse brain, and 3) Rat brain lysates stained with ARG66180 anti-MICU1 / CBARA1 antibody.
-
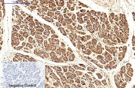
ARG66180 anti-MICU1 / CBARA1 antibody IHC-P image
Immunohistochemistry: Paraffin-embedded Human uterus cancer tissue stained with ARG66180 anti-MICU1 / CBARA1 antibody at 1:200 dilution (4°C, overnight). Antigen Retrieval: Boil tissue section in Sodium citrate buffer (pH 6.0) for 20 min.
Negative control was used by secondary antibody only.
-
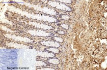
ARG66180 anti-MICU1 / CBARA1 antibody IHC-P image
Immunohistochemistry: Paraffin-embedded Human colon tissue stained with ARG66180 anti-MICU1 / CBARA1 antibody at 1:200 dilution (4°C, overnight). Antigen Retrieval: Boil tissue section in Sodium citrate buffer (pH 6.0) for 20 min.
Negative control was used by secondary antibody only.
-
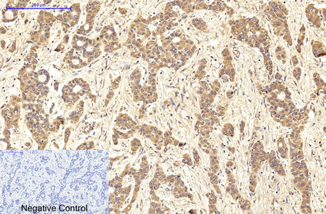
ARG66180 anti-MICU1 / CBARA1 antibody IHC-P image
Immunohistochemistry: Paraffin-embedded Human liver cancer tissue stained with ARG66180 anti-MICU1 / CBARA1 antibody at 1:200 dilution (4°C, overnight). Antigen Retrieval: Boil tissue section in Sodium citrate buffer (pH 6.0) for 20 min.
Negative control was used by secondary antibody only.
-
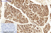
ARG66180 anti-MICU1 / CBARA1 antibody IHC-P image
Immunohistochemistry: Paraffin-embedded Human stomach tissue stained with ARG66180 anti-MICU1 / CBARA1 antibody at 1:200 dilution (4°C, overnight). Antigen Retrieval: Boil tissue section in Sodium citrate buffer (pH 6.0) for 20 min.
Negative control was used by secondary antibody only.
-
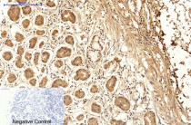
ARG66180 anti-MICU1 / CBARA1 antibody IHC-P image
Immunohistochemistry: Paraffin-embedded Human stomach cancer tissue stained with ARG66180 anti-MICU1 / CBARA1 antibody at 1:200 dilution (4°C, overnight). Antigen Retrieval: Boil tissue section in Sodium citrate buffer (pH 6.0) for 20 min.
Negative control was used by secondary antibody only.
-
ARG66180 anti-MICU1 / CBARA1 antibody IHC-P image
Immunohistochemistry: Paraffin-embedded Rat spinal-cord tissue stained with ARG66180 anti-MICU1 / CBARA1 antibody at 1:200 dilution (4°C, overnight). Antigen Retrieval: Boil tissue section in Sodium citrate buffer (pH 6.0) for 20 min.
Negative control was used by secondary antibody only.
-
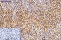
ARG66180 anti-MICU1 / CBARA1 antibody IHC-P image
Immunohistochemistry: Paraffin-embedded Rat brain tissue stained with ARG66180 anti-MICU1 / CBARA1 antibody at 1:200 dilution (4°C, overnight). Antigen Retrieval: Boil tissue section in Sodium citrate buffer (pH 6.0) for 20 min.
Negative control was used by secondary antibody only.
-
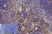
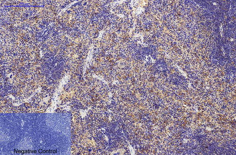
ARG66180 anti-MICU1 / CBARA1 antibody IHC-P image
Immunohistochemistry: Paraffin-embedded Rat spleen tissue stained with ARG66180 anti-MICU1 / CBARA1 antibody at 1:200 dilution (4°C, overnight). Antigen Retrieval: Boil tissue section in Sodium citrate buffer (pH 6.0) for 20 min.
Negative control was used by secondary antibody only.
-
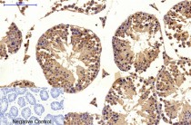
ARG66180 anti-MICU1 / CBARA1 antibody IHC-P image
Immunohistochemistry: Paraffin-embedded Mouse testis tissue stained with ARG66180 anti-MICU1 / CBARA1 antibody at 1:200 dilution (4°C, overnight). Antigen Retrieval: Boil tissue section in Sodium citrate buffer (pH 6.0) for 20 min.
Negative control was used by secondary antibody only.
-
ARG66180 anti-MICU1 / CBARA1 antibody IHC-P image
Immunohistochemistry: Paraffin-embedded Mouse kidney tissue stained with ARG66180 anti-MICU1 / CBARA1 antibody at 1:200 dilution (4°C, overnight). Antigen Retrieval: Boil tissue section in Sodium citrate buffer (pH 6.0) for 20 min.
Negative control was used by secondary antibody only.
-
ARG66180 anti-MICU1 / CBARA1 antibody IHC-P image
Immunohistochemistry: Paraffin-embedded Mouse brain tissue stained with ARG66180 anti-MICU1 / CBARA1 antibody at 1:200 dilution (4°C, overnight). Antigen Retrieval: Boil tissue section in Sodium citrate buffer (pH 6.0) for 20 min.
Negative control was used by secondary antibody only.
-
ARG66180 anti-MICU1 / CBARA1 antibody IHC-P image
Immunohistochemistry: Paraffin-embedded Mouse spleen tissue stained with ARG66180 anti-MICU1 / CBARA1 antibody at 1:200 dilution (4°C, overnight). Antigen Retrieval: Boil tissue section in Sodium citrate buffer (pH 6.0) for 20 min.
Negative control was used by secondary antibody only.
-
ARG66180 anti-MICU1 / CBARA1 antibody IHC-P image
Immunohistochemistry: Paraffin-embedded Human Lung Carcinoma stained with ARG66180 anti-MICU1 / CBARA1 antibody.
