ARG66660
anti-MMP11 antibody
anti-MMP11 antibody for ICC/IF,IHC-Formalin-fixed paraffin-embedded sections,Western blot and Human
Overview
| Product Description | Rabbit Polyclonal antibody recognizes MMP11 |
|---|---|
| Tested Reactivity | Hu |
| Tested Application | ICC/IF, IHC-P, WB |
| Host | Rabbit |
| Clonality | Polyclonal |
| Isotype | IgG |
| Target Name | MMP11 |
| Antigen Species | Human |
| Immunogen | Synthetic peptide within aa. 30-110 of Human MMP11. |
| Conjugation | Un-conjugated |
| Alternate Names | SL-3; STMY3; EC 3.4.24.-; ST3; Matrix metalloproteinase-11; MMP-11; Stromelysin-3 |
Application Instructions
| Application Suggestion |
|
||||||||
|---|---|---|---|---|---|---|---|---|---|
| Application Note | IHC-P: Antigen Retrieval: High-pressure and temperature Tris/EDTA buffer (pH 8.0). * The dilutions indicate recommended starting dilutions and the optimal dilutions or concentrations should be determined by the scientist. |
||||||||
| Observed Size | ~ 65 kDa |
Properties
| Form | Liquid |
|---|---|
| Purification | Affinity purification with immunogen. |
| Buffer | PBS, 0.02% Sodium azide, 50% Glycerol and 0.5% BSA. |
| Preservative | 0.02% Sodium azide |
| Stabilizer | 50% Glycerol and 0.5% BSA |
| Concentration | 1 mg/ml |
| Storage Instruction | For continuous use, store undiluted antibody at 2-8°C for up to a week. For long-term storage, aliquot and store at -20°C. Storage in frost free freezers is not recommended. Avoid repeated freeze/thaw cycles. Suggest spin the vial prior to opening. The antibody solution should be gently mixed before use. |
| Note | For laboratory research only, not for drug, diagnostic or other use. |
Bioinformation
| Database Links | |
|---|---|
| Gene Symbol | MMP11 |
| Gene Full Name | matrix metallopeptidase 11 |
| Background | Proteins of the matrix metalloproteinase (MMP) family are involved in the breakdown of extracellular matrix in normal physiological processes, such as embryonic development, reproduction, and tissue remodeling, as well as in disease processes, such as arthritis and metastasis. Most MMP's are secreted as inactive proproteins which are activated when cleaved by extracellular proteinases. However, the enzyme encoded by this gene is activated intracellularly by furin within the constitutive secretory pathway. Also in contrast to other MMP's, this enzyme cleaves alpha 1-proteinase inhibitor but weakly degrades structural proteins of the extracellular matrix. [provided by RefSeq, Jul 2008] |
| Function | May play an important role in the progression of epithelial malignancies. [UniProt] |
| Cellular Localization | Secreted, extracellular space, extracellular matrix. [UniProt] |
| Calculated MW | 55 kDa |
| PTM | The precursor is cleaved by a furin endopeptidase. [UniProt] |
Images (4) Click the Picture to Zoom In
-
ARG66660 anti-MMP11 antibody ICC/IF image
Immunofluorescence: A549 cells stained with ARG66660 anti-MMP11 antibody. The picture on the right is blocked with the synthetic peptide.
-
ARG66660 anti-MMP11 antibody IHC-P image
Immunohistochemistry: Paraffin-embedded Human lung cancer tissue stained with ARG66660 anti-MMP11 antibody at 1:100 dilution, overnight at 4°C. Antigen Retrieval: High-pressure and temperature Tris/EDTA buffer (pH 8.0). Negative control (right): Antibody was pre-absorbed by immunogen peptide.
-
ARG66660 anti-MMP11 antibody WB image
Western blot: A549 cell lysate stained with ARG66660 anti-MMP11 antibody at 1:500 dilution.
-
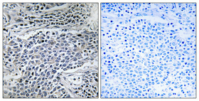
ARG66660 anti-MMP11 antibody IHC-P image
Immunohistochemistry: Paraffin-embedded Human breast carcinoma tissue stained with ARG66660 anti-MMP11 antibody. The picture on the right is blocked with the synthetic peptide.
