ARG41636
anti-MMP13 antibody
anti-MMP13 antibody for IHC-Formalin-fixed paraffin-embedded sections and Mouse,Rat
Overview
| Product Description | Rabbit Polyclonal antibody recognizes MMP13 |
|---|---|
| Tested Reactivity | Ms, Rat |
| Tested Application | IHC-P |
| Host | Rabbit |
| Clonality | Polyclonal |
| Isotype | IgG |
| Target Name | MMP13 |
| Antigen Species | Rat |
| Immunogen | Recombinant protein corresponding to Y99-H335 of Rat MMP13. |
| Conjugation | Un-conjugated |
| Alternate Names | MMP13; Matrix Metallopeptidase 13; Collagenase 3; CLG3; Matrix Metalloproteinase 13 (Collagenase 3); MMP-13; Matrix Metalloproteinase-13; EC 3.4.24.35; EC 3.4.24.22; EC 3.4.24.24; EC 3.4.24.65; EC 3.4.24.; EC 3.4.24.7; EC 3.4.24; MANDP1; MDST |
Application Instructions
| Application Suggestion |
|
||||
|---|---|---|---|---|---|
| Application Note | IHC-P: Antigen Retrieval: Heat mediation was performed in Citrate buffer (pH 6.0, epitope retrieval solution) for 20 min. * The dilutions indicate recommended starting dilutions and the optimal dilutions or concentrations should be determined by the scientist. |
||||
| Observed Size | ~ 60 kDa |
Properties
| Form | Liquid |
|---|---|
| Purification | Affinity purification with immunogen. |
| Buffer | 0.2% Na2HPO4, 0.9% NaCl, 0.05% Sodium azide and 4% Trehalose. |
| Preservative | 0.05% Sodium azide |
| Stabilizer | 4% Trehalose |
| Concentration | 0.5 mg/ml |
| Storage Instruction | For continuous use, store undiluted antibody at 2-8°C for up to a week. For long-term storage, aliquot and store at -20°C or below. Storage in frost free freezers is not recommended. Avoid repeated freeze/thaw cycles. Suggest spin the vial prior to opening. The antibody solution should be gently mixed before use. |
| Note | For laboratory research only, not for drug, diagnostic or other use. |
Bioinformation
| Database Links | |
|---|---|
| Gene Symbol | MMP13 |
| Gene Full Name | matrix metallopeptidase 13 |
| Background | This gene encodes a member of the peptidase M10 family of matrix metalloproteinases (MMPs). Proteins in this family are involved in the breakdown of extracellular matrix in normal physiological processes, such as embryonic development, reproduction, and tissue remodeling, as well as in disease processes, such as arthritis and metastasis. The encoded preproprotein is proteolytically processed to generate the mature protease. This protease cleaves type II collagen more efficiently than types I and III. It may be involved in articular cartilage turnover and cartilage pathophysiology associated with osteoarthritis. Mutations in this gene are associated with metaphyseal anadysplasia. This gene is part of a cluster of MMP genes on chromosome 11. [provided by RefSeq, Jan 2016] |
| Function | Plays a role in the degradation of extracellular matrix proteins including fibrillar collagen, fibronectin, TNC and ACAN. Cleaves triple helical collagens, including type I, type II and type III collagen, but has the highest activity with soluble type II collagen. Can also degrade collagen type IV, type XIV and type X. May also function by activating or degrading key regulatory proteins, such as TGFB1 and CCN2. Plays a role in wound healing, tissue remodeling, cartilage degradation, bone development, bone mineralization and ossification. Required for normal embryonic bone development and ossification. Plays a role in the healing of bone fractures via endochondral ossification. Plays a role in wound healing, probably by a mechanism that involves proteolytic activation of TGFB1 and degradation of CCN2. Plays a role in keratinocyte migration during wound healing. May play a role in cell migration and in tumor cell invasion. [UniProt] |
| Cellular Localization | Extracellular matrix, Secreted. [UniProt] |
| Calculated MW | 54 kDa |
| PTM | Disulfide bond, Glycoprotein, Phosphoprotein, Zymogen. [UniProt] |
Images (4) Click the Picture to Zoom In
-
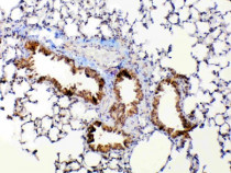
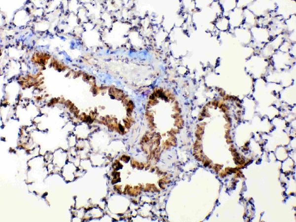
ARG41636 anti-MMP13 antibody IHC-P image
Immunohistochemistry: Paraffin-embedded Mouse lung tissue. Antigen Retrieval: Heat mediation was performed in Citrate buffer (pH 6.0, epitope retrieval solution) for 20 min. The tissue section was blocked with 10% goat serum. The tissue section was then stained with ARG41636 anti-MMP13 antibody at 1 µg/ml dilution, overnight at 4°C.
-
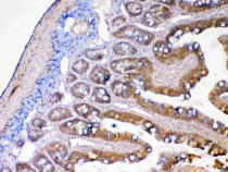
ARG41636 anti-MMP13 antibody IHC-P image
Immunohistochemistry: Paraffin-embedded Mouse small intestine tissue. Antigen Retrieval: Heat mediation was performed in Citrate buffer (pH 6.0, epitope retrieval solution) for 20 min. The tissue section was blocked with 10% goat serum. The tissue section was then stained with ARG41636 anti-MMP13 antibody at 1 µg/ml dilution, overnight at 4°C.
-
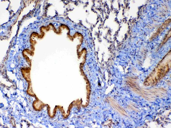
ARG41636 anti-MMP13 antibody IHC-P image
Immunohistochemistry: Paraffin-embedded Rat lung tissue. Antigen Retrieval: Heat mediation was performed in Citrate buffer (pH 6.0, epitope retrieval solution) for 20 min. The tissue section was blocked with 10% goat serum. The tissue section was then stained with ARG41636 anti-MMP13 antibody at 1 µg/ml dilution, overnight at 4°C.
-
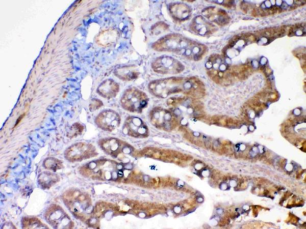
ARG41636 anti-MMP13 antibody IHC-P image
Immunohistochemistry: Paraffin-embedded Rat small intestine tissue. Antigen Retrieval: Heat mediation was performed in Citrate buffer (pH 6.0, epitope retrieval solution) for 20 min. The tissue section was blocked with 10% goat serum. The tissue section was then stained with ARG41636 anti-MMP13 antibody at 1 µg/ml dilution, overnight at 4°C.
