ARG43139
anti-MNT antibody
anti-MNT antibody for Flow cytometry,ICC/IF,IHC-Formalin-fixed paraffin-embedded sections,Western blot and Human
Overview
| Product Description | Rabbit Polyclonal antibody recognizes MNT |
|---|---|
| Tested Reactivity | Hu |
| Tested Application | FACS, ICC/IF, IHC-P, WB |
| Host | Rabbit |
| Clonality | Polyclonal |
| Isotype | IgG |
| Target Name | MNT |
| Antigen Species | Human |
| Immunogen | Recombinant protein corresponding to H381-N564 of Human MNT. |
| Conjugation | Un-conjugated |
| Alternate Names | Class D basic helix-loop-helix protein 3; MAD6; bHLHd3; Protein ROX; ROX; MXD6; Myc antagonist MNT; Max-binding protein MNT |
Application Instructions
| Application Suggestion |
|
||||||||||
|---|---|---|---|---|---|---|---|---|---|---|---|
| Application Note | IHC-P: Antigen Retrieval: Heat mediation was performed in EDTA buffer (pH 8.0). * The dilutions indicate recommended starting dilutions and the optimal dilutions or concentrations should be determined by the scientist. |
||||||||||
| Observed Size | ~ 67 kDa |
Properties
| Form | Liquid |
|---|---|
| Purification | Immunogen affinity purified. |
| Buffer | 0.2% Na2HPO4, 0.9% NaCl, 0.05% Sodium azide and 4% Trehalose. |
| Preservative | 0.05% Sodium azide |
| Stabilizer | 4% Trehalose |
| Concentration | 0.5 mg/ml |
| Storage Instruction | For continuous use, store undiluted antibody at 2-8°C for up to a week. For long-term storage, aliquot and store at -20°C or below. Storage in frost free freezers is not recommended. Avoid repeated freeze/thaw cycles. Suggest spin the vial prior to opening. The antibody solution should be gently mixed before use. |
| Note | For laboratory research only, not for drug, diagnostic or other use. |
Bioinformation
| Database Links | |
|---|---|
| Gene Symbol | MNT |
| Gene Full Name | MAX network transcriptional repressor |
| Background | The Myc/Max/Mad network comprises a group of transcription factors that co-interact to regulate gene-specific transcriptional activation or repression. This gene encodes a protein member of the Myc/Max/Mad network. This protein has a basic-Helix-Loop-Helix-zipper domain (bHLHzip) with which it binds the canonical DNA sequence CANNTG, known as the E box, following heterodimerization with Max proteins. This protein is likely a transcriptional repressor and an antagonist of Myc-dependent transcriptional activation and cell growth. This protein represses transcription by binding to DNA binding proteins at its N-terminal Sin3-interaction domain. [provided by RefSeq, Jul 2008] |
| Function | Binds DNA as a heterodimer with MAX and represses transcription. Binds to the canonical E box sequence 5'-CACGTG-3' and, with higher affinity, to 5'-CACGCG-3'. [UniProt] |
| Cellular Localization | Nucleus. [UniProt] |
| Calculated MW | 62 kDa |
Images (5) Click the Picture to Zoom In
-
ARG43139 anti-MNT antibody ICC/IF image
Immunofluorescence: A549 cells were blocked with 10% goat serum and then stained with ARG43139 anti-MNT antibody (green) at 2 µg/ml dilution, overnight at 4°C. DAPI (blue) for nuclear staining.
-
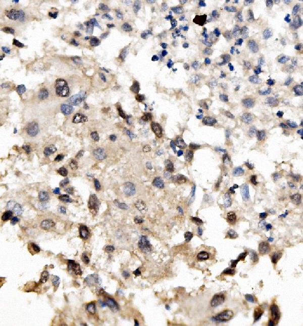
ARG43139 anti-MNT antibody IHC-P image
Immunohistochemistry: Paraffin-embedded Human liver cancer tissue. Antigen Retrieval: Heat mediation was performed in EDTA buffer (pH 8.0). The tissue section was blocked with 10% goat serum. The tissue section was then stained with ARG43139 anti-MNT antibody at 1 µg/ml dilution, overnight at 4°C.
-
ARG43139 anti-MNT antibody WB image
Western blot: 50 µg of sample under reducing conditions. HeLa, Raji, A549, HEK293, K562, PC-3 and Caco-2 whole cell lysates stained with ARG43139 anti-MNT antibody at 0.5 µg/ml dilution, overnight at 4°C.
-
ARG43139 anti-MNT antibody FACS image
Flow Cytometry: A431 cells were blocked with 10% normal goat serum and then stained with ARG43139 anti-MNT antibody (blue) at 1 µg/10^6 cells for 30 min at 20°C, followed by incubation with DyLight®488 labelled secondary antibody. Isotype control antibody (green) was rabbit IgG (1 µg/10^6 cells) used under the same conditions. Unlabelled sample (red) was also used as a control.
-
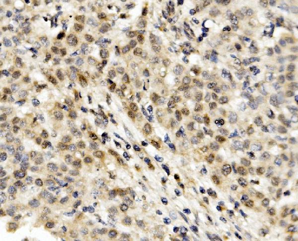
ARG43139 anti-MNT antibody IHC-P image
Immunohistochemistry: Paraffin-embedded Human liver cancer tissue. Antigen Retrieval: Heat mediation was performed in EDTA buffer (pH 8.0). The tissue section was blocked with 10% goat serum. The tissue section was then stained with ARG43139 anti-MNT antibody at 1 µg/ml dilution, overnight at 4°C.
