ARG42177
anti-MOB2 / HCCA2 antibody
anti-MOB2 / HCCA2 antibody for IHC-Formalin-fixed paraffin-embedded sections,Western blot and Human
Overview
| Product Description | Goat Polyclonal antibody recognizes MOB2 / HCCA2 |
|---|---|
| Tested Reactivity | Hu |
| Predict Reactivity | Ms, Rat, Cow, Dog |
| Tested Application | IHC-P, WB |
| Host | Goat |
| Clonality | Polyclonal |
| Isotype | IgG |
| Target Name | MOB2 / HCCA2 |
| Antigen Species | Human |
| Immunogen | Synthetic peptide around the internal region of Human MOB2 / HCCA2. (DERGKKVKCTAPQ) (NP_001165694.1; NP_443731.2) |
| Conjugation | Un-conjugated |
| Alternate Names | MOB kinase activator 2; Mps one binder kinase activator-like 2; HCCA2; Mob2 homolog |
Application Instructions
| Application Suggestion |
|
||||||
|---|---|---|---|---|---|---|---|
| Application Note | WB: Recommend incubate at RT for 1h. IHC-P: Antigen Retrieval: Steam tissue section in Citrate buffer (pH 6.0). * The dilutions indicate recommended starting dilutions and the optimal dilutions or concentrations should be determined by the scientist. |
||||||
| Observed Size | ~ 32 kDa |
Properties
| Form | Liquid |
|---|---|
| Purification | Affinity purified |
| Buffer | Tris saline (pH 7.3), 0.02% Sodium azide and 0.5% BSA. |
| Preservative | 0.02% Sodium azide |
| Stabilizer | 0.5% BSA |
| Concentration | 0.5 mg/ml |
| Storage Instruction | For continuous use, store undiluted antibody at 2-8°C for up to a week. For long-term storage, aliquot and store at -20°C or below. Storage in frost free freezers is not recommended. Avoid repeated freeze/thaw cycles. Suggest spin the vial prior to opening. The antibody solution should be gently mixed before use. |
| Note | For laboratory research only, not for drug, diagnostic or other use. |
Bioinformation
| Database Links | |
|---|---|
| Gene Symbol | MOB2 |
| Gene Full Name | MOB kinase activator 2 |
| Function | Stimulates the autophosphorylation and kinase activity of STK38 and STK38L. [UniProt] |
| Cellular Localization | Nucleus. Cytoplasm, perinuclear region. [UniProt] |
| Calculated MW | 27 kDa |
| PTM | Phosphorylated. [UniProt] |
Images (2) Click the Picture to Zoom In
-
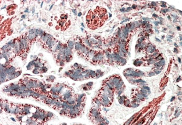
ARG42177 anti-MOB2 / HCCA2 antibody IHC-P image
Immunohistochemistry: Paraffin-embedded Human lung tissue. Antigen Retrieval: Steam tissue section in Citrate buffer (pH 6.0). The tissue section was stained with ARG42177 anti-MOB2 / HCCA2 antibody at 5 µg/ml dilution followed by AP-staining.
-
ARG42177 anti-MOB2 / HCCA2 antibody WB image
Western blot: 35 µg of Jurkat cell lysate (in RIPA buffer) stained with ARG42177 anti-MOB2 / HCCA2 antibody at 0.02 µg/ml dilution and incubated at RT for 1 hour.
