ARG66729
anti-MOB2 / HCCA2 antibody
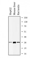
anti-MOB2 / HCCA2 antibody for Western blot and Human,Mouse,Rat
Overview
| Product Description | Rabbit Polyclonal antibody recognizes MOB2 / HCCA2 |
|---|---|
| Tested Reactivity | Hu, Ms, Rat |
| Tested Application | WB |
| Host | Rabbit |
| Clonality | Polyclonal |
| Isotype | IgG |
| Target Name | MOB2 / HCCA2 |
| Antigen Species | Human |
| Immunogen | KLH-conjugated synthetic peptide within the N-terminal region of Human MOB2 / HCCA2. |
| Conjugation | Un-conjugated |
| Alternate Names | MOB kinase activator 2; Mps one binder kinase activator-like 2; HCCA2; Mob2 homolog |
Application Instructions
| Application Suggestion |
|
||||
|---|---|---|---|---|---|
| Application Note | * The dilutions indicate recommended starting dilutions and the optimal dilutions or concentrations should be determined by the scientist. | ||||
| Positive Control | HepG2, Mouse liver and Rat testis | ||||
| Observed Size | ~ 28 kDa |
Properties
| Form | Liquid |
|---|---|
| Purification | Affinity purification with immunogen. |
| Buffer | 0.42% Potassium phosphate (pH 7.3), 0.87% NaCl, 0.01% Sodium azide and 30% Glycerol. |
| Preservative | 0.01% Sodium azide |
| Stabilizer | 30% Glycerol |
| Storage Instruction | For continuous use, store undiluted antibody at 2-8°C for up to a week. For long-term storage, aliquot and store at -20°C. Storage in frost free freezers is not recommended. Avoid repeated freeze/thaw cycles. Suggest spin the vial prior to opening. The antibody solution should be gently mixed before use. |
| Note | For laboratory research only, not for drug, diagnostic or other use. |
Bioinformation
| Database Links | |
|---|---|
| Gene Symbol | MOB2 |
| Gene Full Name | MOB kinase activator 2 |
| Function | Stimulates the autophosphorylation and kinase activity of STK38 and STK38L. [UniProt] |
| Cellular Localization | Nucleus. Cytoplasm, perinuclear region. [UniProt] |
| Calculated MW | 27 kDa |
| PTM | Phosphorylated. [UniProt] |
Images (1) Click the Picture to Zoom In
