ARG56229
anti-MOSC1 antibody
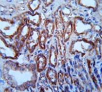
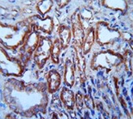
anti-MOSC1 antibody for IHC-Formalin-fixed paraffin-embedded sections,Western blot and Human
Overview
| Product Description | Rabbit Polyclonal antibody recognizes MOSC1 |
|---|---|
| Tested Reactivity | Hu |
| Tested Application | IHC-P, WB |
| Host | Rabbit |
| Clonality | Polyclonal |
| Isotype | IgG |
| Target Name | MOSC1 |
| Antigen Species | Human |
| Immunogen | KLH-conjugated synthetic peptide corresponding to aa. 175-204 (Center) of Human MOSC1. |
| Conjugation | Un-conjugated |
| Alternate Names | Mitochondrial amidoxime-reducing component 1; EC 1.-.-.-; MOSC domain-containing protein 1; MOSC1; Molybdenum cofactor sulfurase C-terminal domain-containing protein 1; Moco sulfurase C-terminal domain-containing protein 1; mARC1 |
Application Instructions
| Application Suggestion |
|
||||||
|---|---|---|---|---|---|---|---|
| Application Note | * The dilutions indicate recommended starting dilutions and the optimal dilutions or concentrations should be determined by the scientist. | ||||||
| Positive Control | HepG2 |
Properties
| Form | Liquid |
|---|---|
| Purification | Purification with Protein A and immunogen peptide. |
| Buffer | PBS and 0.09% (W/V) Sodium azide. |
| Preservative | 0.09% (W/V) Sodium azide. |
| Storage Instruction | For continuous use, store undiluted antibody at 2-8°C for up to a week. For long-term storage, aliquot and store at -20°C. Storage in frost free freezers is not recommended. Avoid repeated freeze/thaw cycles. Suggest spin the vial prior to opening. The antibody solution should be gently mixed before use. |
| Note | For laboratory research only, not for drug, diagnostic or other use. |
Bioinformation
| Database Links |
Swiss-port # Q5VT66 Human Mitochondrial amidoxime-reducing component 1 |
|---|---|
| Gene Symbol | 42064 |
| Gene Full Name | mitochondrial amidoxime reducing component 1 |
| Function | As a component of an N-hydroxylated prodrug-converting complex required to reduce N-hydroxylated prodrugs, such as benzamidoxime. Also able to reduce N(omega)-hydroxy-L-arginine (NOHA) and N(omega)-hydroxy-N(delta)-methyl-L-arginine (NHAM) into L-arginine and N(delta)-methyl-L-arginine, respectively. [UniProt] |
| Cellular Localization | Mitochondrion outer membrane; Single-pass type II membrane protein. Note=Mitochondrial import is mediated by AA 1-40 and requires ATP |
| Calculated MW | 37 kDa |
Images (2) Click the Picture to Zoom In
